中老年口腔-国内专业的口腔服务平台

Image 1 Image 2 Image 3 Image 4 Image 5
牙齿的掉牙顺序是什么样的(牙齿的掉牙顺序是什么样的呢)

牙齿的掉牙顺序是什么样的(牙齿的掉牙顺序是什么样的呢)

清歌婉 71 牙齿,的,掉牙,顺序,是,什么样,呢,脱落

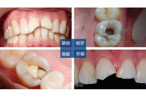
修复牙齿缺损的药(修复牙齿缺损的药有哪些)

修复牙齿缺损的药(修复牙齿缺损的药有哪些)

深情埋葬 92 修复,牙齿,缺损,的,药,有,哪些,成年,人的

戴牙套之后牙龈萎缩怎么办呢(戴牙套之后牙龈萎缩怎么办呢吃什么药)

戴牙套之后牙龈萎缩怎么办呢(戴牙套之后牙龈萎缩怎么办呢吃什么药)

难瘦 99 戴牙套,之后,牙龈,萎缩,怎么办,呢,呢吃,什么

拔复杂智齿挂什么科(拔复杂智齿挂什么科室的号)

拔复杂智齿挂什么科(拔复杂智齿挂什么科室的号)

湿吻成性 57 拔,复杂,智齿,挂,什么,科,科室,的,号,阻生

上颌智齿和下颌智齿哪个好拔一点(上颌智齿和下颌智齿哪个好拔一点)

上颌智齿和下颌智齿哪个好拔一点(上颌智齿和下颌智齿哪个好拔一点)

Blossom(花丛) 88 上颌,智齿,和,下颌,哪个,好拔,一点,在,平时

牙缺了一块要补吗怎么补(牙缺了一块要补吗怎么补的)

牙缺了一块要补吗怎么补(牙缺了一块要补吗怎么补的)

看清人心 149 牙缺,了,一块,要,补吗,怎么,补,的,牙齿

修牙文案(修牙文案短句干净治愈)

修牙文案(修牙文案短句干净治愈)

故人依旧 56 修牙,文案,短句,干净,治愈,在,竞争,激烈,的

三岁孩子牙齿钙化啥时候能好啊(三岁孩子牙齿钙化啥时候能好啊)

三岁孩子牙齿钙化啥时候能好啊(三岁孩子牙齿钙化啥时候能好啊)

人言可畏 77 三岁,孩子,牙齿,钙化,啥,时候,能,好啊

六岁掉牙齿长的黄怎么回事(六岁掉牙齿长的黄怎么回事儿)

六岁掉牙齿长的黄怎么回事(六岁掉牙齿长的黄怎么回事儿)

雨落心尘 83 六岁,掉,牙齿,长的,黄,怎么回事,黄怎么,怎么

切角缺损的处理方法(切角缺损修复)

切角缺损的处理方法(切角缺损修复)

当情歌老了~~ 116 切角,缺损,的,处理,方法,修复,牙齿

牙龈萎缩后期会怎么样吗(牙龈萎缩后期会怎么样吗)

牙龈萎缩后期会怎么样吗(牙龈萎缩后期会怎么样吗)

成熟稳重男生网名 94 牙龈,萎缩,后,期会,怎么样,吗,这个

拔智齿几天才能恢复正常喝酒了(拔智齿几天才能恢复正常喝酒了怎么办)

拔智齿几天才能恢复正常喝酒了(拔智齿几天才能恢复正常喝酒了怎么办)

无声胜喧言 139 拔,智齿,几天,才能,恢复,正常,喝酒,了,怎么办

拔牙去私人诊所还是去大医院好(拔牙去私人诊所还是去大医院好一点)

拔牙去私人诊所还是去大医院好(拔牙去私人诊所还是去大医院好一点)

闹剧结束 89 拔牙,去,私人,诊所,还是,去大,医院,好,一点