中老年口腔-国内专业的口腔服务平台

Image 1 Image 2 Image 3 Image 4 Image 5
修牙机器(修牙机器多少钱)

修牙机器(修牙机器多少钱)

七月芳香 67 修牙,机器,多,少钱,美丽,的,笑容,是,各位

牙齿松动一般多久能掉(牙齿松动一般多久能掉完)

牙齿松动一般多久能掉(牙齿松动一般多久能掉完)

懒虫 60 牙齿,松动,一般,多久,能掉,完,不,牢固

宝宝牙齿钙化是缺钙吗怎么补钙片(宝宝牙齿钙化是缺钙吗怎么补钙片好)

宝宝牙齿钙化是缺钙吗怎么补钙片(宝宝牙齿钙化是缺钙吗怎么补钙片好)

你还好吗 80 宝宝,牙齿,钙化,是,缺钙,吗,怎么,补,钙片,好

成人牙齿自动脱落(成人牙齿自动脱落不补可以吗)

成人牙齿自动脱落(成人牙齿自动脱落不补可以吗)

幽梦化蝶 66 成人,牙齿,自动,脱落,不补,可以,吗,尽管

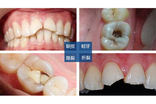
牙齿缺损一小块痛,吃什么药好的快些呢(牙齿缺损一小块痛,吃什么药好的快些呢

牙齿缺损一小块痛,吃什么药好的快些呢(牙齿缺损一小块痛,吃什么药好的快些呢

森林牧歌 103 牙齿,缺损,一,小块,痛,吃,什么,药,好的,快些

牙周病导致的牙龈萎缩牙齿脱落怎么办(牙周病引起的牙龈萎缩还能复原吗)

牙周病导致的牙龈萎缩牙齿脱落怎么办(牙周病引起的牙龈萎缩还能复原吗)

默忘那些伤 91 牙周病,导致,的,牙龈,萎缩,牙齿,脱落,怎么办

拔没长出来的智齿多少钱一颗(拔没长出来的智齿多少钱一颗公立医院)

拔没长出来的智齿多少钱一颗(拔没长出来的智齿多少钱一颗公立医院)

乱了思绪 125 拔没,长,出来,的,智齿,多,少钱,一颗,公立

南京拔智齿多少钱一颗最新消息(南京拔智齿大概多少钱)

南京拔智齿多少钱一颗最新消息(南京拔智齿大概多少钱)

月拢纱 96 南京,拔,智齿,多,少钱,一颗,最新消息,大概

补牙 流体树脂(补牙流体树脂)

补牙 流体树脂(补牙流体树脂)

叔叫下小白 81 补牙,流体,树脂,当,微笑,中透,露出,的,是

牙齿被撞松动怎么治最好的办法是吃什么药好的快(牙齿被撞松动有什么办法恢

牙齿被撞松动怎么治最好的办法是吃什么药好的快(牙齿被撞松动有什么办法恢

南城旧少年 89 牙齿,被,撞,松动,怎么,治最,好的,办法,是,吃

牙齿白色钙化(牙齿白色钙化怎么补救)

牙齿白色钙化(牙齿白色钙化怎么补救)

且闻故琴 80 牙齿,白色,钙化,怎么,补救,这一

正常人掉牙年龄(正常人掉牙年龄是多少岁)

正常人掉牙年龄(正常人掉牙年龄是多少岁)

半页童话 89 正常人,掉牙,年龄,是,多少,岁,小时候,我,总是

牙齿 缺损(牙齿缺损是什么原因引起的)

牙齿 缺损(牙齿缺损是什么原因引起的)

千里故人稀 60 牙齿,缺损,是什么,原因,引起,的,缺失,是

老年性牙龈萎缩的原因(老年性牙龈萎缩的原因是什么)

老年性牙龈萎缩的原因(老年性牙龈萎缩的原因是什么)

芣苢惜凉 128 老年性,牙龈,萎缩,的,原因,是什么