在口腔医学领域中,拔牙是一个常见而又关键的治疗方式。当牙齿问题影响到患者的口腔健康和生活品质时,专家们基本上不得不采用拔牙这一措施,以解除患者的疼痛和不适。那么两颗大牙拔了还能装假牙吗?下面中老年口腔的小编就带大家一块去了解一下

我拔了两颗大牙,是去年拔得,听说安假牙
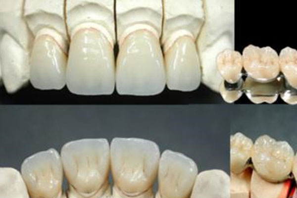
两颗大牙拔掉后还可以装假牙。
因为假牙是通过固定在剩余天然牙齿上的支架来支撑和固定人工牙冠或其他部件,以达到替代缺失牙齿的目的。虽然大牙的功能主要是切割食物,但其位置和结构与其他牙齿有所不同,因此需要专门设计和制作相应的假牙来模拟其功能和外观。
如果患者口腔内存在较多残根、龋坏或炎症等问题,则可能需要先进行相应治疗再安装假牙。
对于缺牙的患者,在考虑安装假牙前应咨询专业牙医进行全面评估,并注意保持良好的口腔卫生习惯,以促进愈合和减少感染风险。
垂直阻生齿容易拔吗
垂直阻生的牙齿并不一定容易拔,阻生齿的拔除在口腔科,尤其是牙槽外科中是相对困难的操作。它的拔除不仅仅是看垂直或横行乃至倒置,还有许多方面的原因,比如牙根的数目、牙根的大小,还有最重要的是牙长出的高度,比如垂直阻生的牙齿,牙冠大部分露在视线以内,这个牙齿相对好拔,但是如果垂直阻生的牙齿完全埋伏在骨内,有时比横行阻生的智齿更加难拔,因为横行阻生相对的埋伏深度有可能还没有垂直阻生那么深,相应的损伤神经的几率也要小。
两颗大牙拔了还能装假牙吗
两颗大牙拔掉后还可以装假牙。
因为假牙是通过固定在剩余天然牙齿上的支架来支撑和固定人工牙冠或其他部件,以达到替代缺失牙齿的目的。虽然大牙的功能主要是切割食物,但其位置和结构与其他牙齿有所不同,因此需要专门设计和制作相应的假牙来模拟其功能和外观。
如果患者口腔内存在较多残根、龋坏或炎症等问题,则可能需要先进行相应治疗再安装假牙。
对于缺牙的患者,在考虑安装假牙前应咨询专业牙医进行全面评估,并注意保持良好的口腔卫生习惯,以促进愈合和减少感染风险。
牙疼的时候能不能拔牙
牙疼的时候能不能拔牙,与具体情况有关。1.乳牙牙根完全吸收,仅剩牙冠与牙龈相连,明显松动的牙冠会刺激牙龈肿胀、渗血。可以应用丁卡因等进行表面麻醉,拔除乳牙。2.埋伏阻生的牙齿接近邻牙或挤压神经时,可产生疼痛,能够在麻醉下切开牙龈、磨除骨质,拔除牙齿。3.牙冠发生大面积龋损,引起急性牙髓炎发作时,炎症局限在牙齿内部,可以拔除患牙,解除疼痛。4.发生外伤,牙根折裂,产生尖锐疼痛时,可以直接拔牙后进行即刻种植手术。5.牙齿反复感染,周围软组织红肿或形成脓包时,最好控制炎症后再拔牙,以免造成感染扩散,产生不良后果。
两颗大牙拔了还能装假牙吗
两颗大牙拔掉后还可以装假牙。
因为假牙是通过固定在剩余天然牙齿上的支架来支撑和固定人工牙冠或其他部件,以达到替代缺失牙齿的目的。虽然大牙的功能主要是切割食物,但其位置和结构与其他牙齿有所不同,因此需要专门设计和制作相应的假牙来模拟其功能和外观。
如果患者口腔内存在较多残根、龋坏或炎症等问题,则可能需要先进行相应治疗再安装假牙。
对于缺牙的患者,在考虑安装假牙前应咨询专业牙医进行全面评估,并注意保持良好的口腔卫生习惯,以促进愈合和减少感染风险。
同时,拔牙可能会导致牙槽骨的损伤。这是因拔牙流程中,牙槽骨可能会受到破坏,影响面部结构和美观。拔牙修复相对维护口腔卫生也是十分关键的。有时会的牙齿问题可能会导致口腔卫生情形恶化,增多牙龈疾病和牙周病的可能性。通过拔掉问题牙齿,可以减少细菌滋生的环境,增加口腔整体的卫生水平。有关阅读:拔牙后要多久才能恢复好
通过阅读以上内容,想必大家都对两颗大牙拔了还能装假牙吗有了一定的了解,相对一些牙齿畸形,如牙齿拥挤、咬合不正等,可以通过正畸医治来改善,降低拔牙。更多拔牙问题请访问下方在线咨询。
温馨提示:口腔出现问题,需要及时修复,不然会导致问题越来越严重,如果您有这方面的需求,您可以联系我:135XXXXXXXX(点击电话即可复制),或者在下方在线留言。
标签:吗(28203)在(16707)口腔医学(330)大牙(1120)拔了(863)还能(1340)假牙(7319)两颗(437)装(364)