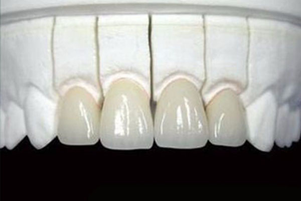
随着年龄的增长,牙齿问题逐渐成为中老年人关注的重点。补牙作为修复牙齿的重要手段,选择合适的树脂材料至关重要。市面上树脂材料种类繁多,但并非所有材料都适合中老年人的需求。中老年口腔作为专注于中老年牙齿健康的品牌,提供高效、耐用的树脂材料解决方案,帮助您轻松解决牙齿问题,恢复健康笑容。

树脂材料寿命短,如何选择更耐用的材料?
中老年人牙齿修复需求较高,树脂材料的寿命直接影响到补牙的效果和后续维护成本。传统树脂材料容易出现老化、脱落等问题,尤其是在咀嚼频繁的区域。中老年口腔采用的树脂材料经过特殊工艺处理,具有更高的耐磨性和抗老化能力,能够有效延长使用寿命,减少频繁修复的麻烦。
补牙过程舒适度如何?
中老年人对补牙过程的舒适度要求较高,尤其是对于牙龈敏感或牙齿敏感的患者。中老年口腔的树脂材料不仅性能优越,还具有良好的生物相容性,能够减少对牙龈的刺激,让补牙过程更加舒适。同时,我们的材料固化速度快,减少患者的等待时间,提升整体体验。
树脂材料能用多久?
树脂材料的使用寿命因材料质量和使用环境而异。中老年口腔的树脂材料经过严格测试,正常使用情况下可以达到5年以上,甚至更久。我们建议定期检查牙齿,确保材料状态良好。
如何选择适合的树脂材料?
选择树脂材料时,应综合考虑材料的耐磨性、抗老化能力和生物相容性。中老年口腔提供多种树脂材料,根据您的牙齿状况和需求,专业医生会为您推荐最适合的材料,确保补牙效果和舒适度。
如果您是中老年缺牙患者或牙齿缺失人员,中老年口腔的树脂材料将是您的理想选择。我们不仅提供高质量的产品,还注重服务细节,让您的补牙过程更加轻松愉快。欢迎在评论区留言,分享您的牙齿健康经验,或咨询更多关于树脂材料的问题!
温馨提示:口腔出现问题,需要及时修复,不然会导致问题越来越严重,如果您有这方面的需求,您可以联系我:135XXXXXXXX(点击电话即可复制),或者在下方在线留言。
标签:树脂(4583)口腔(18176)最好(3578)补牙(5048)哪种(1281)材料(1830)专家(1363)中老年(15264)
下一篇:没有了