保护牙齿健康是我们每个人的责任。然而,有时候即使我们特别注意口腔卫生,仍然可能会患上根尖炎。那么化脓性根尖周炎的临床表现不包括?以下中老年口腔小编带各位详细了解一下

急性化脓性根尖周炎的治疗方法
化脓性脑膜炎又称脑膜炎,是由于化脓性细菌所致的脑及脊髓表面受累,常与化脓性脑炎或脑脓肿同时存在,化脓性脑膜炎属于一类严重的颅内感染,儿童时期最常见。化脓性脑膜炎系由各种化脓菌感染引起的脑膜炎症。其中脑膜炎双球菌引起者最多见,与化脑预后有关的因素是:患儿年龄,感染细菌种类,病情轻重,治疗早晚,有无并发症及细菌对抗生素的敏感性等。婴幼童抵抗力差,早期诊断较困难故预后差。新生儿化脑病死率可达65%-75%,特别是宫内感染肠道细菌预后极差。
难治性根尖周炎封药效果如何
难治性根尖周炎的封药效果,一般情况下不太理想,顾名思义,难治性一定是前面已经治疗好几次,试了很多方法,但是仍然达不到理想的效果。针对这种情况,有下面两种方法:
1、首先加大封药力度,例如使用消炎力更加强劲的药物,然后封更加持久的时间,必要的时候,可以在药物内增加少量的激素,来增加抗感染的能力。经过一系列的消炎控制感染后,一般情况难治性根尖周炎,都可以得到比较好的控制;
2、如果还是出现再次感染,感染难控制的时候,还可以考虑根尖手术,通过手术治疗把感染消除。
如果上述方法均未见效,只能考虑拔除患牙,拔牙是最坏的结果,是不得已而为之的最后一步。
化脓性颌骨骨髓炎的治疗不包括?
化脓性脑膜炎又称脑膜炎,是由于化脓性细菌所致的脑及脊髓表面受累,常与化脓性脑炎或脑脓肿同时存在,化脓性脑膜炎属于一类严重的颅内感染,儿童时期最常见。化脓性脑膜炎系由各种化脓菌感染引起的脑膜炎症。其中脑膜炎双球菌引起者最多见,与化脑预后有关的因素是:患儿年龄,感染细菌种类,病情轻重,治疗早晚,有无并发症及细菌对抗生素的敏感性等。婴幼童抵抗力差,早期诊断较困难故预后差。新生儿化脑病死率可达65%-75%,特别是宫内感染肠道细菌预后极差。
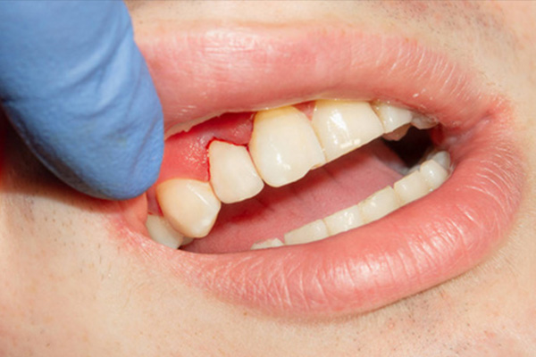
根尖周炎的症状有哪些
根尖周炎通常会出现咬合痛、牙龈肿痛以及自发痛等症状,甚至还会出现乏力、发热现象,根尖周炎有可能是细菌感染引起的,但也不排除是慢性咬合创伤造成的。可以去正规医院口腔科进行相关检查,明确病情轻重,在专业医生的指导下采取针对性治疗措施,在配合医生治疗过程中,一定要保持饮食清淡营养,同时应养成饭后用温水漱口的习惯。
新生儿化脓性脑膜炎的临床表现不包括?
化脓性脑膜炎又称脑膜炎,是由于化脓性细菌所致的脑及脊髓表面受累,常与化脓性脑炎或脑脓肿同时存在,化脓性脑膜炎属于一类严重的颅内感染,儿童时期最常见。化脓性脑膜炎系由各种化脓菌感染引起的脑膜炎症。其中脑膜炎双球菌引起者最多见,与化脑预后有关的因素是:患儿年龄,感染细菌种类,病情轻重,治疗早晚,有无并发症及细菌对抗生素的敏感性等。婴幼童抵抗力差,早期诊断较困难故预后差。新生儿化脑病死率可达65%-75%,特别是宫内感染肠道细菌预后极差。
炎症的长期存在可能会影响全身健康,例如引发低热、乏力等全身症状。根尖炎解决相对于维护口腔美观同样重要。根尖炎可能使得牙齿变色、变形等问题,影响顾客的面部美观。通过解决,可以恢复牙齿的自然而然色泽和形态,使顾客具备更加美丽的笑容。看了本文的人还看了:6龄牙根尖几岁闭合
通过上文,想必大家都对化脓性根尖周炎的临床表现不包括有了一定的了解,相比有牙齿问题的患者,如蛀牙、牙髓炎等,应立即实行解决,避开病情进而变化。根管解决是解决根尖炎的进一步方式其一。更多根尖炎治疗问题请访问下方在线咨询。
温馨提示:口腔出现问题,需要及时修复,不然会导致问题越来越严重,如果您有这方面的需求,您可以联系我:135XXXXXXXX(点击电话即可复制),或者在下方在线留言。
标签:的(43573)性(441)化脓(277)根尖(2310)不包括(281)临床表现(257)周炎(582)保护(120)