活动假牙的钢托材质是很多人关心的问题,尤其是中老年缺牙患者。钢托作为活动假牙的重要支撑部分,直接关系到假牙的舒适度和使用寿命。那么,活动假牙的钢托到底是什么材质?有没有危害呢?今天我们就来详细解答这个问题,帮助您选择适合自己的假牙解决方案。

活动假牙钢托的材质有哪些?
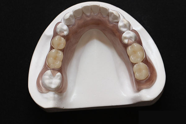
活动假牙的钢托通常采用不锈钢、钴铬合金或钛合金等材质。这些材料具有良好的耐腐蚀性和强度,能够承受日常咀嚼的压力。其中,不锈钢是最常见的选择,因为它经济实惠且易于加工。然而,不锈钢可能会对部分人造成轻微的不适感。钴铬合金则是一种更高级的材料,具有更好的生物相容性和强度,适合对假牙要求较高的患者。钛合金是最轻便的材质,适合长时间佩戴,尤其适合中老年患者。
钢托材质对健康有没有危害?
钢托材质本身并不会对健康造成危害,但材质的选择需要根据个人的口腔状况和需求来决定。例如,如果您对金属过敏,选择不锈钢可能会引起不适。而钴铬合金和钛合金则具有更好的生物相容性,适合大多数患者。中老年口腔品牌采用的钢托材质经过严格筛选和加工,确保安全性和舒适性,您可以放心使用。
活动假牙钢托材质会影响咀嚼吗?
活动假牙钢托的材质不会直接影响咀嚼功能,但材质的强度和耐腐蚀性会影响假牙的使用寿命。中老年口腔品牌采用的钴铬合金和钛合金钢托,具有更高的强度和耐腐蚀性,能够更好地支持假牙的咀嚼功能,让您吃得更放心。
钢托材质适合长期佩戴吗?
钢托材质适合长期佩戴,尤其是钴铬合金和钛合金材质。这些材料不仅耐腐蚀,还具有良好的生物相容性,能够减少口腔刺激。中老年口腔品牌提供定制化服务,根据您的口腔状况选择最适合的钢托材质,确保长期佩戴的舒适性和安全性。
如果您是中老年缺牙患者,选择一款合适的活动假牙至关重要。中老年口腔品牌专注于中老年患者的口腔健康,提供高效、舒适的假牙解决方案。欢迎留言或咨询,了解更多关于活动假牙钢托材质的信息,让我们一起守护您的口腔健康!
温馨提示:口腔出现问题,需要及时修复,不然会导致问题越来越严重,如果您有这方面的需求,您可以联系我:135XXXXXXXX(点击电话即可复制),或者在下方在线留言。
标签:活动(3338)吗(29698)假牙(8371)材质(812)安全(626)揭秘(983)钢托(54)无害(9)
上一篇:缺一颗牙戴活动假牙好还是固定的?中老年口腔为您科学解析选择难题
下一篇:没有了