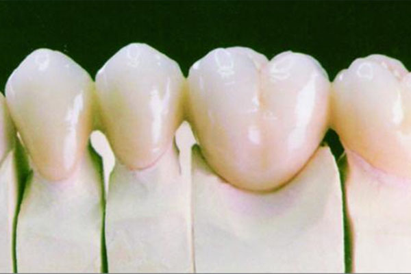
义齿的安和维护要一定的专业知识和技巧。在选择义齿时,各位应该选择正规的口腔机构和专业的医生进行咨询和诊治。而且,在安义齿后,各位还要注意口腔的清洁和保养,以保证义齿的使用疗效和使用年限。那么假牙操作过程?下面小编就带大家了解一下

【无痛可视人流手术怎么操作过程?】
北京药流操作过程-重点为您推荐北京口碑最好的妇科医院。1、北京十里河医院,2、首都医科大学北京朝阳医院,3、北京同仁医院,4、北京大学人民医院,5,北京第三人民医院。一般需要在挂号室排队挂号妇科,根据自身的症状,选择是妇科专家号,还是妇科普通号。挂号后到具体楼层找对应的医生看病,将症状向就诊医生描述。建议您放松些,不要太紧张,不会有疼痛感觉的。
拔牙是生活中最常见的一种口腔治疗方式,毕竟有些牙齿留不得,为了口腔的健康,只能拔了。但是,拔了之后,总是有一个位置是空缺的,难免会有些不习惯,还会担心会影响其他牙齿。那么,拔牙后要种植牙吗?
1、智齿
智齿拔除后,是不需要种牙的。
2、大牙
大牙的主要功能是咀嚼,如果大牙缺失了,就意味着口腔丧失部分的咀嚼功能,如果缺牙的位置两侧还有牙齿,那么两侧的牙齿就会向空隙的方向倾斜,对咬的牙齿也还会伸长,最后会导致咬合错乱,咀嚼功能就会进一步受到影响,对后期种牙会有一定影响。如果拔除的是最里面的大牙,必须也只能采取种牙的方式进行修复。
如果缺牙的空隙两侧还有牙齿,可以考虑使用烤瓷牙的方式进行修复,价格也相对会比种植牙要便宜一些,但是效果肯定不如种植牙来的好,而且装烤瓷牙还要讲前后的好牙磨小,对好的牙齿会产生一定的损伤。
综上所述,如果牙齿缺失不及时进行修复或填补的话,长期下来牙槽骨没有受到咀嚼的刺激,就会导致牙槽骨吸收,久而久之,就会影响后期种植修复,影响口腔的整体健康。
北京药流手术怎么操作过程图片
北京药流操作过程-重点为您推荐北京口碑最好的妇科医院。1、北京十里河医院,2、首都医科大学北京朝阳医院,3、北京同仁医院,4、北京大学人民医院,5,北京第三人民医院。一般需要在挂号室排队挂号妇科,根据自身的症状,选择是妇科专家号,还是妇科普通号。挂号后到具体楼层找对应的医生看病,将症状向就诊医生描述。建议您放松些,不要太紧张,不会有疼痛感觉的。
大牙种植牙费用是多少?
门牙缺失以后选择种植牙是口腔科常见的修补牙齿的方式,医生需要根据牙槽骨的整体情况给患者需要制定合适的植牙方案。 种植牙的价格包括种植体、修复基台、手术费用和烤瓷冠费用。一般做一颗种植牙的价格在5000到12000元人民币左右,其中包括种植体、基台和手术费用,具体费用需要跟当地医院沟通,差别主要在种植牙材料方面。选择好的种植牙牙冠很重要,但是患者自身的保养更重要,所以患者在做完种植牙后一定要细心呵护自己的牙齿,才能让种植牙的寿命更长久。
北京药流操作过程
北京药流操作过程-重点为您推荐北京口碑最好的妇科医院。1、北京十里河医院,2、首都医科大学北京朝阳医院,3、北京同仁医院,4、北京大学人民医院,5,北京第三人民医院。一般需要在挂号室排队挂号妇科,根据自身的症状,选择是妇科专家号,还是妇科普通号。挂号后到具体楼层找对应的医生看病,将症状向就诊医生描述。建议您放松些,不要太紧张,不会有疼痛感觉的。
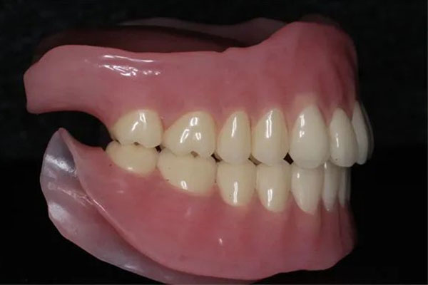
不戴假牙有很大的可能对身体健康造成间接影响。口腔健康与全身健康息息相关,缺少牙齿可能与心血管疾病、糖尿病等系统性疾病存在潜在联系。假牙也是预防牙齿进一步脱落的关键。当牙齿缺失时,邻牙可能会因为失去支撑而逐渐松动。假牙的安装可以有效支撑邻牙,防止其进一步脱落。相关阅读:假牙大概需要多少钱
浏览完本文内容,想必各位都对假牙操作过程有了一定的了解,马上处理口腔问题是预防修牙的要点。要是有牙齿疼痛、牙龈出血或其它口腔不适,应尽快咨询牙医。早期治疗可以避免问题的恶化,节省未来可能需要的更复杂的治疗程序。更多假牙修复问题请咨询下方在线客服。
温馨提示:口腔出现问题,需要及时修复,不然会导致问题越来越严重,如果您有这方面的需求,您可以联系我:135XXXXXXXX(点击电话即可复制),或者在下方在线留言。
标签:的(44291)假牙(7793)义齿(6878)安(361)和(8064)过程(752)操作(161)要(3563)维护(253)图片(12719)