义齿的诞生,是医学科技和人性关怀的结合,为丧失牙齿的患者带来了重获自信、重新展现笑容的希望。它的发展历程见证了医学技术的不断突破和人类对美好生活的向往。那么假牙易掉怎么处理干净?接下来中老年口腔的小编就带您一同去了解一下

老人牙掉光了还能装假牙吗
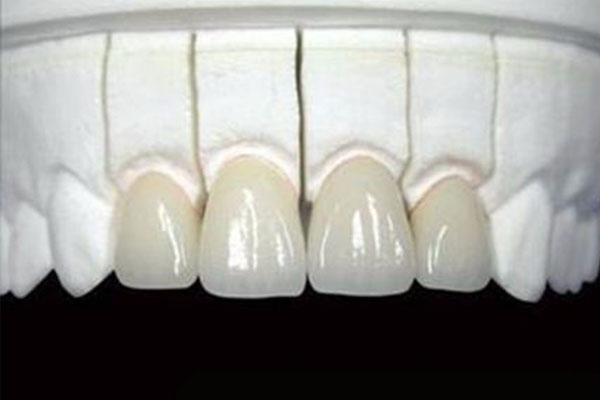
可能是假牙基托过度伸展或者边缘封闭不牢.可以去修补.
即刻种植牙好吗?
即刻种植牙常规来说有自己的优点,即刻种植有自己的适应症,有些人是适合的,有些情况下是不适合的,它的优点,第一个,它能够缩短疗程,因为在拔下来当天就可以种植,大约三个月左右的疗程。第二个,它能够保存牙槽骨的宽度和高度,预防牙槽骨的萎缩。第三个,前牙美学区,它能够保持牙龈的形态更加完美,修复以后,牙龈和人工牙更加匹配和逼真。但有些情况下,不能做即刻种植,比如牙槽骨缺失、种植区有感染,这都是不能做即刻种植的。
医生我没戴假牙啊.口臭能否治好?你上次的提议我差不多都做到了,我感觉胃消化不良且易上火,药没少吃但还是不好,很抑郁啊.
可能是假牙基托过度伸展或者边缘封闭不牢.可以去修补.
种植牙一颗大概多少钱
种植牙的费用包括种植体。修复基台,手术费和上部牙冠的费用,目前口腔科的种植材料加工手术费用约6000左右。牙冠中等的在4000左右。所以一起需要1万左右。如果患者,颌骨条件不好,首先要进行膜引导骨组织再生术。指利用屏障膜特性。阻止来自周围软组织的成纤维细胞。让骨面处的成骨细胞有足够的时间进行增殖,最终达到骨组织再生。定向修复的目的费用,一般在2到3000左右。
假牙易掉
可能是假牙基托过度伸展或者边缘封闭不牢.可以去修补.
影响发音牙齿相比发音担着重要的作用。没有义齿的支撑,舌头可能很难再正确地放置在口腔中,导致发音不准确,影响交流。假牙在恢复口腔功能中演绎着举足轻重的角色。缺少的牙齿会会使咬合实力降低,影响食物的消化和吸收。而假牙的出现,就和给口腔带来了新生,它能够帮助我们恢复一般的咬合功能,让我们能够尽情感受美食带来的乐趣。并且,假牙还能够改善说话,使语言交流更为清晰流畅,提升我们的生活品质。猜你喜欢:假牙哪种最便宜好用又好看
阅读完上文,想必您都对假牙易掉怎么处理干净有了一定的了解,养成良好的口腔卫生习惯,如饭后漱口、防止长时间张口呼吸等,有利于减少口腔细菌滋生,预防牙齿问题。有关假牙修复问题,请点击下方在线客服询问。
温馨提示:口腔出现问题,需要及时修复,不然会导致问题越来越严重,如果您有这方面的需求,您可以联系我:135XXXXXXXX(点击电话即可复制),或者在下方在线留言。
标签:的(44291)假牙(7793)义齿(6878)怎么(17829)易掉(117)处理(1160)干净(412)图片(12719)诞生(27)