假牙的设计和制造是一个复杂的流程,它要牙医和技术人员的专业技能来确保每副假牙都能满足顾客特定的需求和期望。那么假牙对做手术有什么影响?以下中老年口腔小编带各位详细了解一下

做手术为什么要取下假牙
做手术前取下假牙是为了减少麻醉风险、避免手术部位影响、确保感染控制、防止假牙移位以及避免因假牙固定方式差异导致的手术难度增加。
1.麻醉风险
由于全麻药物可能引起呕吐、呛咳等反应,导致假牙松动甚至被吸入气管,造成窒息。因此,在进行全身麻醉前应将假牙取出以降低风险。
2.手术部位影响
某些口腔手术需要对软硬组织进行全面评估和处理,假牙的存在会影响医生的操作视野和触感判断。例如种植体植入术中,假牙可能会干扰骨质测量和切削过程。
3.感染控制
假牙材料如金属或塑料可成为细菌附着和繁殖的温床,增加术后感染的风险。为了避免这种情况发生,在手术前通常建议患者提前摘掉假牙一段时间以便彻底清洁消毒。
4.假牙移位
假牙在口腔内移动可能导致其压迫周围软组织或阻碍手术器械操作,进而影响手术效果和安全性。为防止此类事件发生,在手术前需告知医生佩戴有活动性假牙的情况,必要时可考虑使用专业粘合剂暂时固定。
5.假牙固定方式差异
不同类型的假牙采用不同的固定方式,如磁铁吸附、挂钩连接等,在手术过程中这些固定方式可能影响手术操作的安全性和准确性。因此,在手术前应告知医生假牙的具体类型及其固定方式,以便采取相应的预防措施。
此外,建议定期复查以监测假牙位置是否稳定。在手术后恢复期间,应避免咀嚼过硬的食物,以免损坏新生的软硬组织。
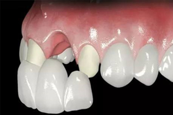
人工种植牙一颗多少钱
在牙齿缺失之后,一般有三种方法来修复缺牙。这三种方法分别是活动义齿修复、烤瓷桥修复和种植牙修复。其中,种植牙修复具有外形逼真,没有不适感,咀嚼功能恢复好,并且不磨损自己牙齿的优点,是缺牙修复的第一选择。修复种植牙一般是在拔除牙齿之后3个月,将纯钛的种植体植入到牙槽骨内,4-6个月以后,纯钛的种植体与牙槽骨会结合在一起,此时将牙冠与牙根连在一起,就可以恢复咀嚼功能。种植牙的价格,在不同的地区,不同的医院,以及选择不同的种植系统,差别还是比较大的。一般价格在1-2万元之间。
做手术为什么要取下假牙
做手术前取下假牙是为了减少麻醉风险、避免手术部位影响、确保感染控制、防止假牙移位以及避免因假牙固定方式差异导致的手术难度增加。
1.麻醉风险
由于全麻药物可能引起呕吐、呛咳等反应,导致假牙松动甚至被吸入气管,造成窒息。因此,在进行全身麻醉前应将假牙取出以降低风险。
2.手术部位影响
某些口腔手术需要对软硬组织进行全面评估和处理,假牙的存在会影响医生的操作视野和触感判断。例如种植体植入术中,假牙可能会干扰骨质测量和切削过程。
3.感染控制
假牙材料如金属或塑料可成为细菌附着和繁殖的温床,增加术后感染的风险。为了避免这种情况发生,在手术前通常建议患者提前摘掉假牙一段时间以便彻底清洁消毒。
4.假牙移位
假牙在口腔内移动可能导致其压迫周围软组织或阻碍手术器械操作,进而影响手术效果和安全性。为防止此类事件发生,在手术前需告知医生佩戴有活动性假牙的情况,必要时可考虑使用专业粘合剂暂时固定。
5.假牙固定方式差异
不同类型的假牙采用不同的固定方式,如磁铁吸附、挂钩连接等,在手术过程中这些固定方式可能影响手术操作的安全性和准确性。因此,在手术前应告知医生假牙的具体类型及其固定方式,以便采取相应的预防措施。
此外,建议定期复查以监测假牙位置是否稳定。在手术后恢复期间,应避免咀嚼过硬的食物,以免损坏新生的软硬组织。
种植牙危害有什么
做种植牙常见的危害有伤口裂开、下唇麻木、牙龈增生、感染、窦腔黏膜穿通等。种植牙是目前常见的一种修复牙齿的方法,能够有效修复缺失的牙齿,从而让牙齿恢复整齐美观。不过这种手术对医生要求比较高,需要选择技术精湛的医生来操作,如果医生技术不过关,就容易出现危害。为了保证手术效果和安全,建议选择医生时一定要慎重。
做手术为什么要取下假牙
做手术前取下假牙是为了减少麻醉风险、避免手术部位影响、确保感染控制、防止假牙移位以及避免因假牙固定方式差异导致的手术难度增加。
1.麻醉风险
由于全麻药物可能引起呕吐、呛咳等反应,导致假牙松动甚至被吸入气管,造成窒息。因此,在进行全身麻醉前应将假牙取出以降低风险。
2.手术部位影响
某些口腔手术需要对软硬组织进行全面评估和处理,假牙的存在会影响医生的操作视野和触感判断。例如种植体植入术中,假牙可能会干扰骨质测量和切削过程。
3.感染控制
假牙材料如金属或塑料可成为细菌附着和繁殖的温床,增加术后感染的风险。为了避免这种情况发生,在手术前通常建议患者提前摘掉假牙一段时间以便彻底清洁消毒。
4.假牙移位
假牙在口腔内移动可能导致其压迫周围软组织或阻碍手术器械操作,进而影响手术效果和安全性。为防止此类事件发生,在手术前需告知医生佩戴有活动性假牙的情况,必要时可考虑使用专业粘合剂暂时固定。
5.假牙固定方式差异
不同类型的假牙采用不同的固定方式,如磁铁吸附、挂钩连接等,在手术过程中这些固定方式可能影响手术操作的安全性和准确性。因此,在手术前应告知医生假牙的具体类型及其固定方式,以便采取相应的预防措施。
此外,建议定期复查以监测假牙位置是否稳定。在手术后恢复期间,应避免咀嚼过硬的食物,以免损坏新生的软硬组织。
不戴义齿有可能影响自信心和交际实力。缺牙会影响面部美观和形象,使人形成自卑、焦虑等负面情绪。这不但影响个人的自信心,有可能影响交际和职业变化。义齿有利于保持脸部外观。牙齿是支撑脸部结构的重要组成部分,缺少牙齿会会使脸部凹陷,影响外貌。义齿可以填补缺少的部分,使脸部看上去更加饱满和自然。猜你喜欢:假牙套在真牙上有臭味怎么办 相关阅读:中老年缺牙患者的福音:假牙材质哪个最好?中老年口腔为您推荐最适合您的选择
看完上文,想必大家都对假牙对做手术有什么影响有了一定的了解,减少过于使用牙齿,是预防修牙的重要方面。不要用牙齿咬硬物,以免牙齿受损。并且,减少长时间用一边牙齿咬合,以免引起牙齿磨损不均。更多假牙修复问题请点击下方在线咨询。
温馨提示:口腔出现问题,需要及时修复,不然会导致问题越来越严重,如果您有这方面的需求,您可以联系我:135XXXXXXXX(点击电话即可复制),或者在下方在线留言。
标签:的(43573)什么(19569)手术(3577)影响(1657)有(12775)做(4069)假牙(7319)嘛(564)对(2238)