伴随着生活水平的增加和医疗技术的进步,义齿已经不再是口腔问题的标志,而是一种修复美观、重建自信的现代化解决方式,受到越来越多人的青睐。那么假牙寿命一般几年正常?下面中老年口腔的小编就带各位一块去了解一下

假牙的寿命
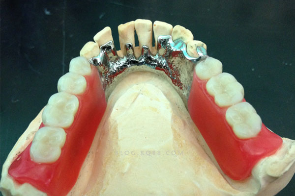
固定假牙一般是指固定义齿,其使用寿命与患者日常使用情况、饮食习惯、个人口腔卫生、牙齿情况等因素有关。
种牙好还是镶牙好
种牙比镶牙好,种牙是在缺失牙处的牙槽骨制备洞形后放入植体,形成骨愈合再修复牙冠。种牙后颌骨容纳植体,能够保留骨量,防止发生萎缩和吸收,并能减少对邻牙的损伤,提高咀嚼效率和舒适度。
镶牙包括活动义齿修复和固定义齿修复,活动义齿的固位力较差,异物感较强,容易发生食物残渣嵌塞,引起龋坏和口腔异味。
固定义齿修复需要对缺牙两侧的邻牙进行牙体预备,破坏了牙齿结构的完整性,容易造成牙齿敏感,甚至出现牙髓炎等症状。
假牙的寿命有多长
固定假牙一般是指固定义齿,其使用寿命与患者日常使用情况、饮食习惯、个人口腔卫生、牙齿情况等因素有关。
种植牙齿的后遗症有哪些
种植牙齿的后遗症有很多。可能会形成肿胀、疼痛、淤血以及淤青等后遗症,而且由于患者的饮食习惯以及生活习惯等有所不同,所以牙齿具体的受力方式也会不同,如若长期性使用种植牙可能会发生牙冠折断或者是种植体其它部件折断等严重症状。所以患者在种植牙成功之后一定要做好护理工作,这样不仅能延长种植牙的寿命,还能避免其他症状出现。
固定假牙使用寿命与什么有关
固定假牙一般是指固定义齿,其使用寿命与患者日常使用情况、饮食习惯、个人口腔卫生、牙齿情况等因素有关。
影响发音牙齿对于发音起着重要的作用。没有假牙的支撑,舌头可能无法正确地放置在口腔中,导致发音不准确,影响交流。假牙对于那些失去部分或全部牙齿的人来讲是至关重要的。它们可以恢复咀嚼能力,使人们能够享受各种食物,从而得到均衡的营养。您可能还想了解:假牙哪个国家的好 有关阅读:换一颗假牙需要多少钱?中老年口腔为您高效解决牙齿缺失问题
浏览完本文内容,想必大家都对假牙寿命一般几年正常有了一定的了解,老人由于牙齿磨损、牙龈收缩等问题,更容易显现牙齿问题。所以,老人需要更加留意口腔健康,按时实行检查和清洁。有关假牙修复问题,请访问下方在线客服询问。
温馨提示:口腔出现问题,需要及时修复,不然会导致问题越来越严重,如果您有这方面的需求,您可以联系我:135XXXXXXXX(点击电话即可复制),或者在下方在线留言。
标签:多久(6565)假牙(7319)随着(4071)伴(2558)一般(3771)正常(5188)几年(588)寿命(797)