义齿,这种看似简单的口腔修复工具,背后却蕴含着复杂的科学原理和技术。从用料的选择到制作技术的精细程度,每一个环节都关乎着义齿的舒服度和耐用性。惟有经过专业医师的精确设计和制作,义齿才可以成为真正贴合顾客需求的口腔修复工具。那么假牙是怎么做的?接下来中老年口腔的小编就带各位一块去了解一下

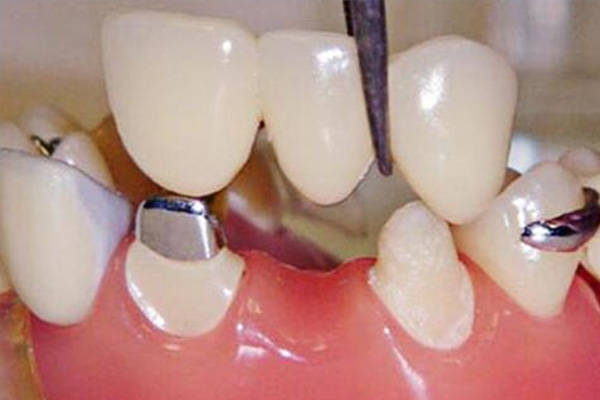
第七牙拔了怎么做假牙
第七牙拔了可以通过种植牙齿、固定桥、可摘局部义齿、隐形义齿、种植牙齿等方式进行修复。
吃饭会不会容易损坏义齿
因为做种植牙它种植的目的是为了固定全口义齿,所以也跟患者自己选择的材料有关系,因为毕竟做种植的全口的固定,它费用会比较贵,做的材料是烤瓷的,相对来说它就不容易磨耗。如果种的牙比较少,种2棵,上面做的还是塑料牙,相对磨耗就会比较厉害,3-5年到医院来复诊一下或者是重新做活动义齿或者是稍微调改一下。
有假牙怎么做热玛吉
第七牙拔了可以通过种植牙齿、固定桥、可摘局部义齿、隐形义齿、种植牙齿等方式进行修复。
种植牙需要多长时间呢
一般手术大约半小时就可以完成,但是患者需要一段时间的准备和手术前后的磨合。术前一个月,患者需要做好手术准备,主要要求病人改变生活习惯,术后6个月内保持良好状态,有利于术后恢复。牙科植入并不需要很长时间,但需要很长的时间准备和磨合。
第七牙拔了怎么做假牙
第七牙拔了可以通过种植牙齿、固定桥、可摘局部义齿、隐形义齿、种植牙齿等方式进行修复。
长期不戴义齿还可能对口腔内的软组织导致伤害。缺少牙齿处的锐利边缘可能划伤口腔粘膜,引发疼痛和炎症。相比老年人来说,假牙的关键性更加突出。伴随着年龄的增长,牙齿磨损和脱落的情形越来越普遍。假牙可以帮助老年人恢复咬合和说话功能,改善口腔健康情况,提高他们的生活质量。
浏览本文,想必大家都对假牙是怎么做的有了一定的了解,牙线、漱口水等协助清洁工具,也是预防修牙的好帮手。牙线可以清除牙间隙中的食物残渣和牙菌斑,漱口水可以进而清洁口腔,减少细菌滋生。更多假牙修复问题请访问下方在线咨询。
温馨提示:口腔出现问题,需要及时修复,不然会导致问题越来越严重,如果您有这方面的需求,您可以联系我:135XXXXXXXX(点击电话即可复制),或者在下方在线留言。
标签:的(43702)义齿(6679)这种(922)做(4077)看似(311)简单(288)假牙(7336)是(17992)怎么(17680)
下一篇:没有了