在选择假牙时,口腔患者要考虑自己的口腔健康状态、需求和预算。不一样的假牙材质和设计有不一样的优缺点,口腔患者要和医师一块选择最合适自己的假牙。那么假牙牙套一般戴几年?接下来中老年口腔的小编就带您一起去了解一下

假牙可以戴牙套吗
假牙患者可能需要先移除假牙才能进行牙套矫正。
牙套矫正,又称正畸治疗,主要适用于牙齿排列不齐、咬合关系不良或者面部骨骼发育问题的患者。其目的是通过逐渐调整牙齿位置,改善咀嚼功能,提升口腔健康,并优化面部美观。然而,对于已经佩戴假牙的患者,情况可能会有所不同。假牙的存在可能会影响矫正器的安装和牙齿的移动。如果假牙是固定的,可能需要先移除再进行矫正;如果是活动假牙,可能需要在矫正过程中特别调整。此外,患者的口腔健康状况、年龄以及骨质密度也是决定是否适合进行矫正的重要因素。
患者在考虑进行牙套矫正前,应咨询专业的口腔医生进行全面评估,并根据医生建议选择最适合自己的治疗方案。同时保持良好的口腔卫生习惯也至关重要。
种植牙痛苦吗
多数人认为种植牙较痛苦,因此惧怕做种植牙,事实并非如此。若仅为种植牙且不需要植骨,痛苦程度与单纯拔牙类似,可能会有适量肿胀和疼痛,但多数患者均可忍受。拔牙后牙窝无法缝合,种植牙术后伤口可以缝合,其感染及出血的风险相对较小。若痛感较强列,可在手术当天服用止疼药物,第2天即可停药。
具体用药请结合临床,由医生面诊指导为准。
拔牙后牙龈肿痛可以戴假牙套吗
假牙患者可能需要先移除假牙才能进行牙套矫正。
牙套矫正,又称正畸治疗,主要适用于牙齿排列不齐、咬合关系不良或者面部骨骼发育问题的患者。其目的是通过逐渐调整牙齿位置,改善咀嚼功能,提升口腔健康,并优化面部美观。然而,对于已经佩戴假牙的患者,情况可能会有所不同。假牙的存在可能会影响矫正器的安装和牙齿的移动。如果假牙是固定的,可能需要先移除再进行矫正;如果是活动假牙,可能需要在矫正过程中特别调整。此外,患者的口腔健康状况、年龄以及骨质密度也是决定是否适合进行矫正的重要因素。
患者在考虑进行牙套矫正前,应咨询专业的口腔医生进行全面评估,并根据医生建议选择最适合自己的治疗方案。同时保持良好的口腔卫生习惯也至关重要。
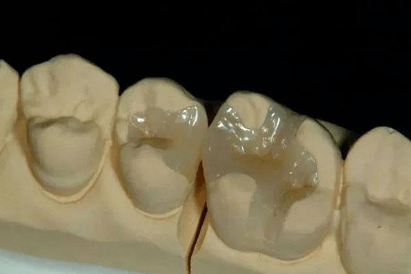
镶烤瓷牙要多少钱
现在烤瓷牙大概在1000-5000元一颗,现在的整形医院比较多,烤瓷牙的材料也是有区别的,自己可以去医院选择,看自己想去做多少钱的,为了手术的安全,建议一定要去当地有资质的医院就诊,这样可以避免手术的失败和术后的后遗症。
术后在饮食方面要注意不要吃有粘性的食物,可以多吃一些容易咀嚼的东西,这样的话可以令牙齿矫正效果更加理想。这期间出现牙齿松动以及出血等现象,要及时去医院让医生来处理。
有假牙的可以戴牙套矫正牙齿吗
假牙患者可能需要先移除假牙才能进行牙套矫正。
牙套矫正,又称正畸治疗,主要适用于牙齿排列不齐、咬合关系不良或者面部骨骼发育问题的患者。其目的是通过逐渐调整牙齿位置,改善咀嚼功能,提升口腔健康,并优化面部美观。然而,对于已经佩戴假牙的患者,情况可能会有所不同。假牙的存在可能会影响矫正器的安装和牙齿的移动。如果假牙是固定的,可能需要先移除再进行矫正;如果是活动假牙,可能需要在矫正过程中特别调整。此外,患者的口腔健康状况、年龄以及骨质密度也是决定是否适合进行矫正的重要因素。
患者在考虑进行牙套矫正前,应咨询专业的口腔医生进行全面评估,并根据医生建议选择最适合自己的治疗方案。同时保持良好的口腔卫生习惯也至关重要。
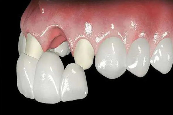
不戴义齿很有可能会使颌骨的摄取和萎缩。牙齿的有能刺激颌骨的正常生长和保持骨密度。缺少的牙齿会会使颌骨的摄取和萎缩,进一步加剧脸部外表的改变。良好的口腔健康相对于整体健康至关关键。义齿可以保持口腔的清洁和卫生,减少细菌滋生和口腔问题的几率,因此降低全身性疾病的发生几率。
看完上文,想必大家都对假牙牙套一般戴几年有了一定的了解,预防修牙的重要性不言而喻,它不仅能够避免疼痛和不适,还能节省大量的时间和金钱。定期的口腔检查可以帮助早期发现牙齿问题,比如龋齿、牙龈炎等,从而及时进行治疗,防止病情恶化。有关假牙修复问题,请打开下方在线客服询问。
温馨提示:口腔出现问题,需要及时修复,不然会导致问题越来越严重,如果您有这方面的需求,您可以联系我:135XXXXXXXX(点击电话即可复制),或者在下方在线留言。
标签:假(215)一般(3786)在(16768)牙牙(619)合适(744)戴(404)套(532)几年(592)戴几年(4)
上一篇:假牙有几种材质效果和价格怎样能用多久(假牙有几种材质?效果和价格怎样)
下一篇:没有了