跟传统的金属瓷牙相比较,全瓷牙不含任何金属成分,所以相对部分对金属过敏的顾客而言,是一个更安全的选择。那么安装一个烤瓷牙需要多少钱呢?下面中老年口腔的小编就带大家一起去了解一下

10年前因门牙外突,对牙齿进行了大部分磨除,然后安装了烤瓷牙,现在,觉得不太美观,想更换,可以吗,四颗牙大概需要多少钱,最好能在北京和保定之间的医院更换
安装烤瓷牙的价格一般在500元到1万元不等,具体的价格也需要根据烤瓷牙的材料以及当地的消费水平来判断。
烤瓷牙崩了能修复吗
烤瓷牙如果只是一个切角或者表面有稍微的少量崩瓷,它其实是不影响功能的,可以不管,就把它抛光一下继续使用就可以了。如果是门牙做了烤瓷牙,崩瓷可能会影响美观,这样子可能需要把它拆下来再重新做,因为烤瓷是在几百度甚至上千度的高温下,把瓷烤到金属上面去的,所以在体外没办法进行修复。
安装烤瓷牙多少钱一颗?
安装烤瓷牙的价格一般在500元到1万元不等,具体的价格也需要根据烤瓷牙的材料以及当地的消费水平来判断。
烤瓷牙里面的牙会不会腐烂
做过烤瓷牙的患者,在之后也要进行牙齿的定期修复,以及对口腔的卫生的维护,保持口腔间清洁,保持口腔健康,烤瓷牙里面的牙齿是有可能继续腐烂的。
烤瓷牙和牙齿之间有缝隙,如果出现了细菌感染,或者是食物残渣掉落在里面,会出现腐烂然后进一步引起感染,希望患者是能够引起重视,在平时多注意口腔的清洁。
安装烤瓷牙多少钱一颗?
安装烤瓷牙的价格一般在500元到1万元不等,具体的价格也需要根据烤瓷牙的材料以及当地的消费水平来判断。
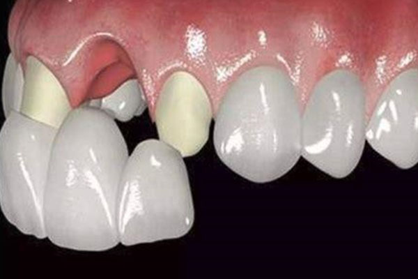
牙齿不修复会影响脸部形态,使脸部丧失支撑,出现凹陷或皱纹。相对于牙齿缺少的情况,烤瓷牙可以作为一种固定修复方式,提供稳定的咀嚼支持。有关阅读:全瓷牙跟烤瓷牙那个好些
浏览本文,想必各位都对安装一个烤瓷牙需要多少钱呢有了一定的了解,口腔矫正不只是改善牙齿排列,还能预防因牙齿歪斜导致的其余口腔问题。通过矫正诊治,可以减少牙齿磨损和牙周病的可能。有关烤瓷牙修复问题,请访问下方在线客服询问。
温馨提示:口腔出现问题,需要及时修复,不然会导致问题越来越严重,如果您有这方面的需求,您可以联系我:135XXXXXXXX(点击电话即可复制),或者在下方在线留言。
标签:少钱(22344)呢(12993)要多(4361)一个(3737)烤瓷(5869)视频(6055)跟(418)安装(672)牙需(192)