和其它牙齿修复办法相比较,烤瓷牙的保护性更完美,不会伤害周边健康的牙齿组织,所以是一种相对来说靠谱和可靠的牙齿修复选择。那么安全瓷牙好还是烤瓷牙好?下面小编就带大家了解一下

什么材质的烤瓷牙好
拔牙后一个月一般没有办法装烤瓷牙 。因为烤瓷牙是基于有牙根的情况下,在牙根上面进行烤瓷修复。如果牙齿已经拔除,只能种植修复。先种植人工的牙根,等牙根长稳定以后再进行牙根上面的烤瓷修复或者全瓷修复。如果不进行种植修复,缺失的牙齿前后都有邻牙,并且邻牙情况也比较稳定。可以通过其他修复方法,即固定修复。这种情况一般需要将前后的牙齿磨小以后做烤瓷桥,从而修复缺失的牙齿。
带着烤瓷牙做核磁的后果
烤瓷牙可以分为全瓷冠或者是贵金属的烤瓷冠,全瓷冠不含金属,贵金属一般是金钯或者金箔烤瓷冠,贵金属和全瓷冠的烤瓷牙在做核磁的时候对成像没有干扰。用碱金属,比如钴铬或者钛合金、镍铬合金,在成像的时候因为其含有金属,对做核磁会有一定的干扰,但不会出现牙齿金属在口腔内发热、爆炸或者折断现象。
做核磁的时候,也就是头颈部的核磁,强度在2.0以下的时候,可能因为金属会产生伪影,对医生判片可能会产生一定的干扰。如果烤瓷牙较少,可能干扰比较小,部分患者做了全金属冠或者是烤瓷冠长桥,可能影响会较大,部分地方可能需要拆除冠桥以后,再进行核磁检查。
烤瓷牙拆除很痛苦吗
拔牙后一个月一般没有办法装烤瓷牙 。因为烤瓷牙是基于有牙根的情况下,在牙根上面进行烤瓷修复。如果牙齿已经拔除,只能种植修复。先种植人工的牙根,等牙根长稳定以后再进行牙根上面的烤瓷修复或者全瓷修复。如果不进行种植修复,缺失的牙齿前后都有邻牙,并且邻牙情况也比较稳定。可以通过其他修复方法,即固定修复。这种情况一般需要将前后的牙齿磨小以后做烤瓷桥,从而修复缺失的牙齿。
做烤瓷牙可以改善龅牙吗
正常情况下,做烤瓷牙是不会改善龅牙的。因为烤瓷牙可以将牙齿变得干净整齐,起到美观的作用,与改善龅牙没有关系,所以,做烤瓷牙是不会改善龅牙的。龅牙可以通过正颌外科手术等方式进行治疗。建议患者做烤瓷牙时,选择正规的医院,以减小风险。在日常生活中,建议患者注意口腔卫生,用正确的呼吸方式进行呼吸,按时刷牙,定期复查。
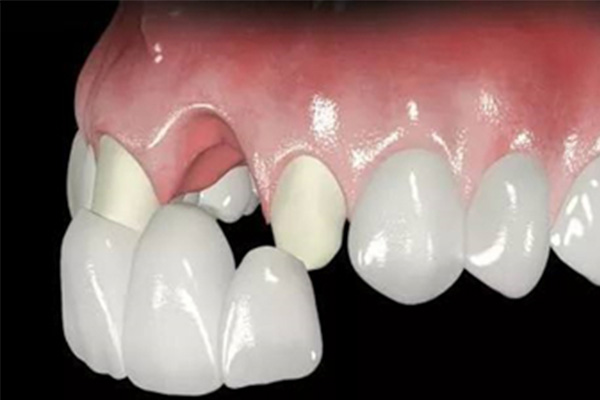
拔牙后一个月可以装烤瓷牙吗
拔牙后一个月一般没有办法装烤瓷牙 。因为烤瓷牙是基于有牙根的情况下,在牙根上面进行烤瓷修复。如果牙齿已经拔除,只能种植修复。先种植人工的牙根,等牙根长稳定以后再进行牙根上面的烤瓷修复或者全瓷修复。如果不进行种植修复,缺失的牙齿前后都有邻牙,并且邻牙情况也比较稳定。可以通过其他修复方法,即固定修复。这种情况一般需要将前后的牙齿磨小以后做烤瓷桥,从而修复缺失的牙齿。
不修复的牙齿可能会使得颞下颌关节紊乱,引起疼痛和不适。修复后的牙齿可以改善发音问题,使说话更加清晰。您可能还想了解:哈尔滨镶一颗烤瓷牙多少钱啊
阅读完上文,想必您都对安全瓷牙好还是烤瓷牙好有了一定的了解,口腔健康跟全身健康密切相关。一点全身性疾病,如糖尿病、心血管疾病等,也会影响口腔健康。所以,在预防修牙的而且,也要留心全身健康。更多烤瓷牙修复问题请访问下方在线咨询。
温馨提示:口腔出现问题,需要及时修复,不然会导致问题越来越严重,如果您有这方面的需求,您可以联系我:135XXXXXXXX(点击电话即可复制),或者在下方在线留言。
标签:瓷牙(1637)还是(3310)好(8476)一点(4203)和(7902)烤瓷(5869)牙好(570)安全(541)其它(29)