烤瓷牙的制造步骤通常包括牙齿预备、印模制取、烤瓷牙制造和黏结等步骤,需要经过专业的牙医操作。那么安一个烤瓷牙要多少钱?接下来就带各位了解一下

安一口烤瓷牙需要多少钱
安烤瓷牙的价格因个体差异而异,一般在1000元至3000元之间,价格差异可能由牙齿数量、损伤程度等病理因素引起。
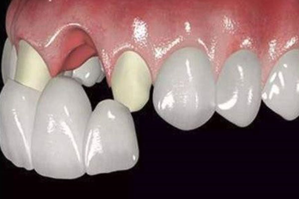
安烤瓷牙是一种常见的牙齿修复方式,通过将人工材料制成的牙冠固定于受损或缺失的天然牙体上,以恢复其形态和功能。如果只是简单的单颗牙齿缺损或者轻微的龋齿,此时只需要对患处进行局部麻醉后直接将患处磨除,并且不需要去除太多的健康组织,因此价格相对较低。如果患者存在多颗牙齿缺失或伴有严重的口腔疾病,例如牙周病或颌骨坏死,在治疗过程中需要额外的诊断和手术步骤,导致成本增加。此外,复杂的病例可能需要更长的治疗时间和更多的修复材料,这也可能导致费用上升。
选择合适的医疗机构时,应考虑价格透明度及术后效果,确保获得性价比高的服务。同时定期维护并遵循医嘱是保持长期口腔健康的必要措施。
牙釉质发育不良怎么办
牙釉质是人体骨骼中最坚硬的部分,色泽乳白,对牙的意义重大,尤其是起到了保护的作用,一旦受损,连带牙都会被损坏。那么牙釉质发育不良多发在幼儿期。就这个发育不良的问题而言,我们到底该怎么办呢?请看分析如下。
1、在婴儿时期,患有某种全身性的疾病,比如发高烧,小儿荨麻疹等疾病,都有可能导致牙齿出现畸形。这样的情况需要根据发育不良的程度进行治疗。轻者可以通过某些含氟的牙膏刷牙进行表面修复牙釉质;重者则可以考虑是否换牙,市面上出现的烤瓷牙修复。
2、缺少某些微量元素也会造成牙釉质的发育不良。这个可以通过后期进行补充微量元素,从而达到修复牙釉质的效果。简单来说,这个还是比较好控制的,只要家长留心并督促,这样的症状是可以痊愈的。
3、牙齿本身出现了问题。牙胚从根底部的坏死从而影响了上层牙釉质的形成,这样的局部因素影响还有就是乳牙的根尖组织出现严重污染,导致了牙釉质的发育不良。这就提醒我们在用牙的同时也要保护好自己的牙齿。
安一口烤瓷牙需要多少钱
安烤瓷牙的价格因个体差异而异,一般在1000元至3000元之间,价格差异可能由牙齿数量、损伤程度等病理因素引起。
安烤瓷牙是一种常见的牙齿修复方式,通过将人工材料制成的牙冠固定于受损或缺失的天然牙体上,以恢复其形态和功能。如果只是简单的单颗牙齿缺损或者轻微的龋齿,此时只需要对患处进行局部麻醉后直接将患处磨除,并且不需要去除太多的健康组织,因此价格相对较低。如果患者存在多颗牙齿缺失或伴有严重的口腔疾病,例如牙周病或颌骨坏死,在治疗过程中需要额外的诊断和手术步骤,导致成本增加。此外,复杂的病例可能需要更长的治疗时间和更多的修复材料,这也可能导致费用上升。
选择合适的医疗机构时,应考虑价格透明度及术后效果,确保获得性价比高的服务。同时定期维护并遵循医嘱是保持长期口腔健康的必要措施。
烤瓷牙几年换一次
烤瓷牙几年换一次?
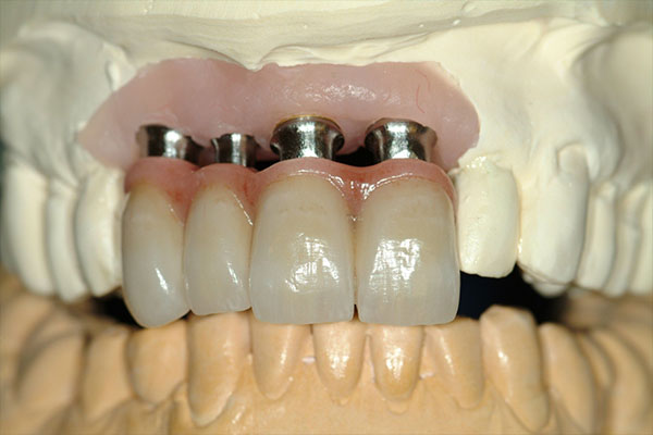
烤瓷牙几年换一次和患者的咀嚼习惯,还有烤瓷牙材质,医生的技术水平等因素有关。如果我们遇上技术水平高,备牙固位好,边缘比较密合,没有发生牙龈炎,牙周炎,患者经常咬软的东西,没有咬硬东西的习惯,用了材质是瑞典全瓷牙,那么用的时间就比较长。
如果医生的技术水平差。备牙固位差,容易脱落,或者是边缘不密合容易引起牙龈炎,牙周炎。还有患者经常咬硬的东西,还有用的材料是普通的金属烤瓷牙,那么用的时间就比较短。
所以烤瓷牙,建议到比较好的医院,使用比较好的材料进行修复。平时不要咬太硬的东西,以免出现崩瓷,脱落这种情况。
安烤瓷牙多少钱
安烤瓷牙的价格因个体差异而异,一般在1000元至3000元之间,价格差异可能由牙齿数量、损伤程度等病理因素引起。
安烤瓷牙是一种常见的牙齿修复方式,通过将人工材料制成的牙冠固定于受损或缺失的天然牙体上,以恢复其形态和功能。如果只是简单的单颗牙齿缺损或者轻微的龋齿,此时只需要对患处进行局部麻醉后直接将患处磨除,并且不需要去除太多的健康组织,因此价格相对较低。如果患者存在多颗牙齿缺失或伴有严重的口腔疾病,例如牙周病或颌骨坏死,在治疗过程中需要额外的诊断和手术步骤,导致成本增加。此外,复杂的病例可能需要更长的治疗时间和更多的修复材料,这也可能导致费用上升。
选择合适的医疗机构时,应考虑价格透明度及术后效果,确保获得性价比高的服务。同时定期维护并遵循医嘱是保持长期口腔健康的必要措施。
牙齿不修复可能造成临牙移位。缺牙的位置要是长时间不修复,临牙可能会因丧失支撑而移位,进而破坏整个口腔的咬合关系,影响口腔健康和功能。烤瓷牙修复适用于多种植牙齿问题,包括破损、缺失、或多或少会着色或畸形等。它的适用范围广泛,能够满足不相同顾客的差异化需求。有关推荐:后槽牙做烤瓷牙可以用多长时间
看完上文,想必大家都对安一个烤瓷牙要多少钱有了一定的了解,孕妇在孕期也需要注意预防修牙。因为孕期激素经验的变化,孕妇更容易显现口腔问题。因此,孕妇应保持良好的口腔卫生习惯,隔一段时间就实行口腔检测。更多烤瓷牙修复问题请进入下方在线咨询。
温馨提示:口腔出现问题,需要及时修复,不然会导致问题越来越严重,如果您有这方面的需求,您可以联系我:135XXXXXXXX(点击电话即可复制),或者在下方在线留言。
标签:的(44291)少钱(22853)费用(3642)牙(32526)要多(4407)安(361)烤瓷(6113)一个(3798)