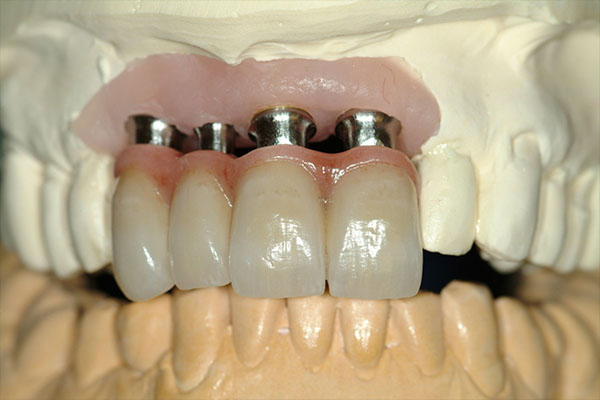
全瓷牙的使用期限大概为10年左右,但这也取决于口腔患者的口腔卫生习惯和使用情况。要是口腔患者可以认真保养全瓷牙,其使用寿命可能会更长。那么全瓷牙照片?接下来小编就带各位一块去了解一下

双眼皮全切刚做好的照片
你好,你的情况一般做全瓷牙65%左右能使用20年以上,不过这还得因人而异。为了更久的使用全瓷牙术后的护理也是非常关键的。术后在进食的时候尽量要缓慢,而且在术后不宜吃过硬的食物,做全瓷牙后平时应该保持口腔卫生,定期做洁牙方面的护理。
烤瓷牙的危害
烤瓷牙修复,也就是说咱们说的全冠修复,是对咱们牙体组织缺损的修复的一种方式。谈不上对口腔卫生有什么危害,如果真的有危害,咱们也不可能这么广泛的应用在这个临床上。
戴了全冠修复体以后,咱们还是要注意修复体周围的这些牙齿牙周组织的清洁,避免严重的破坏。有些人可能从网上查了某些全冠修复体内的特定的元素,可能相对人体来说是有害的,但是全冠修复体,首先总体的量比较少,另外它也都是处在比较完整的修复形态之内的,真正能游离到口腔内进入人体,造成人体损伤的,基本上可以说是微乎其微。
全冠修复体在临床上的应用,往短了说也有几十年的历史了,这么长期的观察下来,并没有观察到全冠修复体会对咱全身的健康造成某些特定的危害。所以在需要对这牙体组织进行修复的这种情况下,我们还是可以放心的使用全冠修复体,然后达到一个恢复咀嚼功能,恢复美观的效果。
烤瓷牙照片
你好,你的情况一般做全瓷牙65%左右能使用20年以上,不过这还得因人而异。为了更久的使用全瓷牙术后的护理也是非常关键的。术后在进食的时候尽量要缓慢,而且在术后不宜吃过硬的食物,做全瓷牙后平时应该保持口腔卫生,定期做洁牙方面的护理。
烤瓷牙跟全瓷牙有什么区别
烤瓷牙和全瓷牙在美观程度,对牙齿的磨损程度和对牙龈的损伤程度各有不同。烤瓷牙中含有部分金属成分,在透明度和美观上较差一些。全瓷牙中不含金属成分,所用制作的材料要好,所以要比烤瓷牙在透明度和美观效果上要更好。烤瓷牙因为其中含有金属成分,硬度相对较大,对牙质有一定的损伤,使用时间久了有可能会造成牙龈发炎,而全瓷牙所用的材料与牙质相似度较高,不仅比较耐用,还不会对牙质造成损伤。
全瓷牙照片
你好,你的情况一般做全瓷牙65%左右能使用20年以上,不过这还得因人而异。为了更久的使用全瓷牙术后的护理也是非常关键的。术后在进食的时候尽量要缓慢,而且在术后不宜吃过硬的食物,做全瓷牙后平时应该保持口腔卫生,定期做洁牙方面的护理。
假牙能够保持面部轮廓的完好性。不戴假牙会使面部肌肉逐渐收缩,面部塌陷,影响个人形象。相对于注重外貌的人而言,这相信是一种打击,可能造成自卑心理。相对那些对金属过敏的顾客来说,全瓷牙修复是一个理想的选择。因为它不含任何金属成分,所以不会引发过敏反应,这相对过敏体质的顾客来说是一个关键的思考根源。有关推荐:全瓷牙寿命有多长啊
浏览完本文内容,想必各位都对全瓷牙照片有了一定的了解,定期口腔检查是预防修牙的必要措施。通过口腔检查,可以及时看到和根治牙齿问题,如蛀牙、牙周病等,避免问题恶化要更复杂的修复医治。有关全瓷牙修复问题,请点击下方在线客服了解。
温馨提示:口腔出现问题,需要及时修复,不然会导致问题越来越严重,如果您有这方面的需求,您可以联系我:135XXXXXXXX(点击电话即可复制),或者在下方在线留言。
标签:的(44291)大概(2210)牙(32526)全瓷(8440)使用(1022)照片(307)期限(16)图(403)