全瓷牙,一种不含任何金属成分的高端牙齿修复选项,因其卓越的美学效果和优异的生物相容性而受到愈来愈多口腔患者的钟爱。那么全瓷牙打磨后怎么抛光?下面中老年口腔的小编就带各位一同去了解一下

全瓷牙冠可以打磨吗
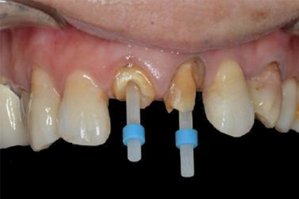
全瓷牙冠打磨完成后需要进行抛光以提高舒适度和美观性,并预防细菌滋生。
抛光可以去除残留的材料微粒和细微的凹凸不平,使全瓷牙冠与邻牙及牙龈之间的接触更加光滑、均匀,从而减少食物嵌塞和菌斑堆积的风险。此外,光滑的表面也有助于减少牙龈刺激和炎症的发生。
如果患者对抛光过程或抛光剂过敏,则无需进行抛光。另外,对于患有严重牙周病或其他口腔疾病的患者,应在专业医生指导下决定是否进行抛光。
需要注意的是,在进行全瓷牙冠修复后,应定期回访口腔科进行复查和维护,以确保牙齿健康和长期使用效果。同时还要保持良好的口腔卫生习惯,避免咬硬物,以延长全瓷牙冠的使用寿命。
装了烤瓷牙牙龈红肿怎么办
患者装烤瓷牙后牙龈出现红肿,建议尽早复诊,到正规医院口腔科或口腔医院口腔修复科及牙周病科,找专业医生进行检查。明确牙龈红肿病因后给予相应治疗,常见如下:
1、牙龈炎:由于烤瓷牙边缘的牙龈出现炎症,如果仅为牙龈炎,可进行局部冠周冲洗、上药,使用双氧水、生理盐水交替冲洗红肿发炎的牙龈,再进行碘甘油涂抹。对于较重牙龈红肿,需要给予全身抗感染及对症支持治疗,如口服消炎药物;
2、长期堆积食物:如果由于烤瓷牙的边缘密封不严密,长期堆积食物导致。可能需要将烤瓷牙进行拆除,将边缘再次进行瓷的堆积,堆积后与龈缘形成密合状态,无食物嵌塞可尽量避免牙龈红肿的情况。如果进行堆瓷后仍无法解决密封问题,可能需将烤瓷牙重新进行制作,与龈缘形成密合状态,既不压迫牙龈的同时又可防止食物堆积,防止继发龋,可将牙龈红肿问题得以较好解决。
烤瓷牙能不能打磨抛光
全瓷牙冠打磨完成后需要进行抛光以提高舒适度和美观性,并预防细菌滋生。
抛光可以去除残留的材料微粒和细微的凹凸不平,使全瓷牙冠与邻牙及牙龈之间的接触更加光滑、均匀,从而减少食物嵌塞和菌斑堆积的风险。此外,光滑的表面也有助于减少牙龈刺激和炎症的发生。
如果患者对抛光过程或抛光剂过敏,则无需进行抛光。另外,对于患有严重牙周病或其他口腔疾病的患者,应在专业医生指导下决定是否进行抛光。
需要注意的是,在进行全瓷牙冠修复后,应定期回访口腔科进行复查和维护,以确保牙齿健康和长期使用效果。同时还要保持良好的口腔卫生习惯,避免咬硬物,以延长全瓷牙冠的使用寿命。
烤瓷牙可以用电动牙刷吗
烤瓷牙是可以用电动牙刷的。使用电动牙刷一般不会影响到身体健康,而且也不会导致牙齿材质受到影响,不会出现断裂或者是缺失等现象,可以正常使用电动牙刷来刷牙。但是一定要使用相对比较好的电动牙刷。安装了烤瓷牙后要多注意口腔卫生,不要吃过多坚硬的食物,比如碧根果、核桃等,以免对口腔组织造成不利的影响。
全瓷牙冠打磨完需要抛光吗
全瓷牙冠打磨完成后需要进行抛光以提高舒适度和美观性,并预防细菌滋生。
抛光可以去除残留的材料微粒和细微的凹凸不平,使全瓷牙冠与邻牙及牙龈之间的接触更加光滑、均匀,从而减少食物嵌塞和菌斑堆积的风险。此外,光滑的表面也有助于减少牙龈刺激和炎症的发生。
如果患者对抛光过程或抛光剂过敏,则无需进行抛光。另外,对于患有严重牙周病或其他口腔疾病的患者,应在专业医生指导下决定是否进行抛光。
需要注意的是,在进行全瓷牙冠修复后,应定期回访口腔科进行复查和维护,以确保牙齿健康和长期使用效果。同时还要保持良好的口腔卫生习惯,避免咬硬物,以延长全瓷牙冠的使用寿命。
从深远来看,不佩戴假牙可能会使得颌骨萎缩。牙齿的咬合压力有利于维持颌骨的密度和形态,丧失这种刺激,骨头可能会慢慢退化。全瓷牙修复还具备预防口腔问题的作用。通过修复缺失或损坏的牙齿,全瓷牙能够防止牙齿进而受损或掉落,使得下降患口腔问题的可能性。相关推荐:全瓷牙多久适应可以随便吃饭了
看完上文,想必各位都对全瓷牙打磨后怎么抛光有了一定的了解,正确的刷牙技巧也很重要。使用软毛牙刷,以45度角轻轻刷拭牙齿和牙龈边缘,避免用力过猛造成牙龈受损。有关全瓷牙修复问题,请打开下方在线客服咨询。
温馨提示:口腔出现问题,需要及时修复,不然会导致问题越来越严重,如果您有这方面的需求,您可以联系我:135XXXXXXXX(点击电话即可复制),或者在下方在线留言。
标签:的(44291)牙(32526)后(7887)全瓷(8440)怎么(17829)一种(2389)抛光(285)打磨(83)