全瓷牙是一种新型的牙齿修复材料,它具备良好的生物相容性和美学疗效,可以为患者带来更为自然的牙齿外观。那么全瓷牙爱尔创和威兰德哪个好?下面中老年口腔的小编就带各位一同去了解一下

威兰德全瓷牙质保卡有保证吗
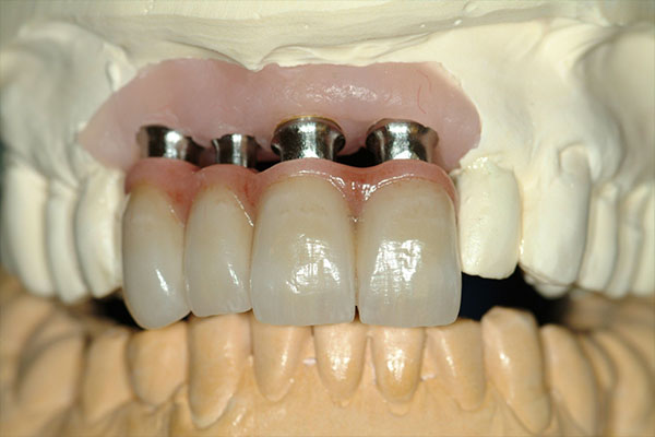
爱尔创全瓷牙与威兰德全瓷牙在效果上大致相当,但具体的选择还需考虑个人口腔状况及医生建议。
爱尔创全瓷牙是一种由高分子陶瓷材料制成的修复体,用于替代缺失或损坏的牙齿;威兰德是另一种常见的全瓷牙材料,具有相似的作用机制。全瓷牙是一种以恢复咀嚼功能为主要目的的修复方式,适用于因龋齿、外伤等原因导致的牙齿缺损或缺失。两种材料均采用无金属内冠,能够减少对周围组织的刺激,同时提供自然逼真的外观。其效果主要取决于医生的经验和技术水平以及患者的个体差异。
在接受全瓷牙修复时,应确保口腔卫生,避免食物残渣滞留,以免引起继发感染。建议定期进行口腔检查和清洁,如刷牙后漱口、使用牙线等,以维护口腔健康。
怀孕期间烤瓷牙掉怎么办
怀孕期间烤瓷牙掉,应该到口腔科就诊,由口腔医生进行专业的检查和治疗。如果没有出现牙痛、肿胀,掉了的冠与牙体组织密合,没有出现食物嵌塞等情况,可以给予简单的消毒和粘固。如果经过检查,患者自身存在口腔科的操作禁忌,就要暂缓进行治疗。如果给孕妇进行了粘接的治疗之后,在后续的生活以及进食过程中要防止冠的脱落造成不必要的伤害。如果孕妇存在妇产科的其他疾病,可以观察剩余牙体组织,给予仔细的清洁保护。经过一定的牙齿护理,可以等到妊娠结束之后,再进行诊疗和处理。
水晶美全瓷牙和威兰德全瓷牙的区别
爱尔创全瓷牙与威兰德全瓷牙在效果上大致相当,但具体的选择还需考虑个人口腔状况及医生建议。
爱尔创全瓷牙是一种由高分子陶瓷材料制成的修复体,用于替代缺失或损坏的牙齿;威兰德是另一种常见的全瓷牙材料,具有相似的作用机制。全瓷牙是一种以恢复咀嚼功能为主要目的的修复方式,适用于因龋齿、外伤等原因导致的牙齿缺损或缺失。两种材料均采用无金属内冠,能够减少对周围组织的刺激,同时提供自然逼真的外观。其效果主要取决于医生的经验和技术水平以及患者的个体差异。
在接受全瓷牙修复时,应确保口腔卫生,避免食物残渣滞留,以免引起继发感染。建议定期进行口腔检查和清洁,如刷牙后漱口、使用牙线等,以维护口腔健康。
烤瓷牙能补瓷吗
烤瓷牙能一般来说是可以补瓷的。需要到牙科医院进行检查假牙的损坏情况,但是在补瓷的过程中会影响到假牙的美观,看起来不好看,这个补瓷的过程需要返回假牙的厂家进行修补,在修复的过程中进行假牙补瓷固定是有一定难度。
平时在佩戴假牙的同时要注意口腔卫生,能够避免口腔炎症的发生,如果佩戴的是活动假牙,每天吃完饭之后都要进行给假牙冲洗。
爱尔创全瓷牙和威兰德相比怎么样
爱尔创全瓷牙与威兰德全瓷牙在效果上大致相当,但具体的选择还需考虑个人口腔状况及医生建议。
爱尔创全瓷牙是一种由高分子陶瓷材料制成的修复体,用于替代缺失或损坏的牙齿;威兰德是另一种常见的全瓷牙材料,具有相似的作用机制。全瓷牙是一种以恢复咀嚼功能为主要目的的修复方式,适用于因龋齿、外伤等原因导致的牙齿缺损或缺失。两种材料均采用无金属内冠,能够减少对周围组织的刺激,同时提供自然逼真的外观。其效果主要取决于医生的经验和技术水平以及患者的个体差异。
在接受全瓷牙修复时,应确保口腔卫生,避免食物残渣滞留,以免引起继发感染。建议定期进行口腔检查和清洁,如刷牙后漱口、使用牙线等,以维护口腔健康。
不戴假牙有很大的可能影响个人的自信心和社交实力。牙齿缺失会给人带来自卑感和焦虑情绪,影响个人的自信心和社交实力。长期不戴假牙可能会使社交障碍和心理问题的加重,影响个人的生活品质和幸福感。全瓷牙修复还有助于预防口腔问题的进而恶化。通过立即修复损坏的牙齿,全瓷牙能够防止牙齿问题的进而变化,如龋齿、牙周病等。这有助于保持口腔的健康状态,减少口腔问题的发生。有关阅读:全瓷牙多久能好啊多少钱
浏览完本文内容,想必大家都对全瓷牙爱尔创和威兰德哪个好有了一定的了解,教育小孩子有关于牙齿保健的知识是十分重要的。通过故事、游戏和互动活动,让孩子理解牙齿保健的重要性,从而培养他们自我护理的能力。有关全瓷牙修复问题,请进入下方在线客服了解。
温馨提示:口腔出现问题,需要及时修复,不然会导致问题越来越严重,如果您有这方面的需求,您可以联系我:135XXXXXXXX(点击电话即可复制),或者在下方在线留言。
标签:哪个(3114)好(8476)一点(4203)和(7902)全瓷(8180)威(76)兰德(81)牙爱(4)尔创(6)