全瓷牙作为口腔医学领域的一种重要创新,以其仿生学原理和协调的美学疗效,为口腔患者带来了全新的口腔修复体验,让他们具备更为自然而然、美丽的笑容。那么全瓷牙拆下来难不难?接下来中老年口腔的小编就带大家一起去了解一下

全瓷牙冠怎么能完整的拆下来
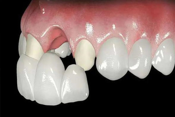
全瓷牙可以在医生指导下随时拆除,并且还可以继续使用。
全瓷牙是一种生物相容性较好的修复体,不会导致牙龈发黑,因此无需担心其对口腔健康的影响。
如果患者在安装全瓷牙的过程中出现不适或疼痛,可以及时就医咨询专业医师是否需要将全瓷牙拆卸后再行治疗。
在佩戴全瓷牙期间,应特别注意保持良好的口腔卫生习惯,避免咬硬物,以延长全瓷牙的使用寿命。若发现有松动、脱落等情况应及时复诊处理。
烤瓷牙里面的真牙疼怎么办?
如果烤瓷牙里面的天然牙出现了疼痛,可以到正规医院的口腔科或者大型医院的口腔修复科将烤瓷冠取下来,然后对里面的天然牙进行检查,看是否已经出现了龋坏,龋坏的深度是否已经达到了牙髓腔,而引起了牙髓炎,也可以拍摄牙的根尖片,看看龋洞的位置、深度,是否和牙髓腔相通,根尖区是否有密度减低区。如果仅仅是龋坏,就需要进行龋病的治疗,也就是用牙钻去除龋洞内的腐败坏死组织,然后用充填材料进行充填。如果已经达到了牙髓腔引起的牙髓炎,需要进行开髓引流术,将牙髓腔内的炎性渗出物引流出来,疼痛就会缓解或者消失,如果已经出现了急性的根尖周围炎,也需要进行开髓引流术,将根尖周围的炎性渗出物,通过牙齿引流到口腔当中,疼痛也会缓解或者消失。
门牙做全瓷牙好后悔可以拆下来不带吗
全瓷牙可以在医生指导下随时拆除,并且还可以继续使用。
全瓷牙是一种生物相容性较好的修复体,不会导致牙龈发黑,因此无需担心其对口腔健康的影响。
如果患者在安装全瓷牙的过程中出现不适或疼痛,可以及时就医咨询专业医师是否需要将全瓷牙拆卸后再行治疗。
在佩戴全瓷牙期间,应特别注意保持良好的口腔卫生习惯,避免咬硬物,以延长全瓷牙的使用寿命。若发现有松动、脱落等情况应及时复诊处理。
烤瓷牙一颗多少钱
烤瓷牙是一种修复牙齿缺失或损坏的方法,价格因地区、医院、材料等因素而异。一般情况下,烤瓷牙的价格在几百到几千元不等。
烤瓷牙是一种固定修复体,通过将牙齿表面磨去一部分,然后将烤瓷牙粘固在牙齿上,以恢复牙齿的外观和功能。烤瓷牙的材料有很多种,如金属烤瓷牙、全瓷牙等。不同的材料价格不同,一般全瓷牙的价格相对较高,但美观度和生物相容性较好。
如果有牙齿缺失或损坏的情况,建议及时就医,医生会根据具体情况制定治疗方案。在治疗过程中,需要注意口腔卫生,避免食用过硬、过黏的食物,以免影响治疗效果。
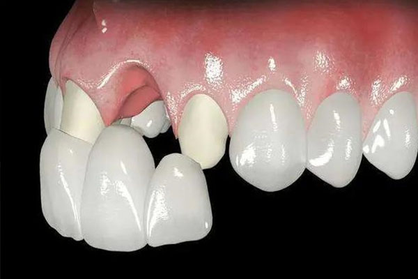
全瓷牙拆下来还能用吗
全瓷牙可以在医生指导下随时拆除,并且还可以继续使用。
全瓷牙是一种生物相容性较好的修复体,不会导致牙龈发黑,因此无需担心其对口腔健康的影响。
如果患者在安装全瓷牙的过程中出现不适或疼痛,可以及时就医咨询专业医师是否需要将全瓷牙拆卸后再行治疗。
在佩戴全瓷牙期间,应特别注意保持良好的口腔卫生习惯,避免咬硬物,以延长全瓷牙的使用寿命。若发现有松动、脱落等情况应及时复诊处理。
缺少牙齿还将使得剩余牙齿更一不留神就积累食物残渣和细菌斑,加大了蛀牙和牙周病的发生概率。全瓷牙修复在差异化医治方面也有显著亮点。专家可以根据口腔患者的详细需求和口腔情形,量身定制最符合的全瓷牙修复方法,实现差异化的医治疗效。猜你喜欢:全瓷牙多少钱一颗价格表2024
浏览本文,想必大家都对全瓷牙拆下来难不难有了一定的了解,保持良好的生活习惯,如充足的睡眠和适量的运动,也对牙齿健康有益。压力管理和情绪调节同样重要,由于长期的压力和焦虑可能造成牙齿磨损和牙周病。有关全瓷牙修复问题,请打开下方在线客服了解。
温馨提示:口腔出现问题,需要及时修复,不然会导致问题越来越严重,如果您有这方面的需求,您可以联系我:135XXXXXXXX(点击电话即可复制),或者在下方在线留言。
标签:牙(32526)全瓷(8440)下来(510)难(53)作为(944)不难(9)牙拆(1)不难看(1)