当寻求一种既能恢复咬合功能又不影响笑容美观的牙科处理方式时,全瓷牙由于用料的透光性和自然而然色彩,成为了一个受欢迎的选择。那么全瓷牙建议做吗?接下来小编就带各位一起去了解一下

牙医建议做全瓷牙套,说带金属牙套影响核
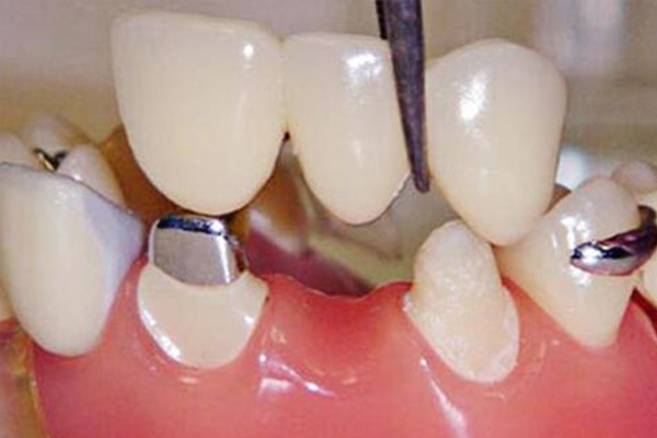
门牙的修复方式需要谨慎考虑,通常不建议直接做全瓷牙,因为门牙的结构比较脆弱,容易受到外力冲击而破裂。如果患者存在牙齿结构脆弱、牙龈炎、牙周病、龋齿、牙髓炎等疾病,直接做全瓷牙可能会加重病情,甚至引起感染。因此,建议在专业医生的指导下,根据具体病因选择合适的治疗方案,如树脂填充、根管治疗等。
1.牙齿结构脆弱
由于全瓷牙的材料硬度较低,在受到外力作用时容易发生崩裂,导致牙齿受损。如果患者存在牙齿结构脆弱的问题,则不建议进行全瓷冠修复,以免加重牙齿损伤。
2.牙龈炎
牙龈炎是由于牙菌斑和牙石刺激引起的牙龈组织炎症,会导致牙龈红肿、出血等症状。若此时使用全瓷牙可能会对炎症部位造成摩擦和压迫,引起疼痛和感染扩散。对于患有牙龈炎的患者,应先接受专业的牙周治疗,待炎症消退后再考虑是否需要进行全瓷牙修复。
3.牙周病
牙周病是由牙菌斑生物膜引起的牙周支持组织的慢性感染性疾病,可导致牙龈红肿、出血、咀嚼困难等不适症状。若此时安装全瓷牙可能会影响口腔卫生的清洁程度,从而加重病情的发展。针对患有牙周病的患者,可以遵医嘱采用超声波洁治术、龈下刮治术等方式清除牙结石和菌斑,控制病情后进行全瓷牙修复。
4.龋齿
龋齿是一种由细菌引起的牙齿硬组织腐败性疾病,可能导致牙齿敏感、疼痛等问题。安装全瓷牙可能会增加牙齿负担,加剧龋齿的症状。对于龋齿的患者,可以在医生指导下通过填充术的方式进行处理,如复合树脂充填术、玻璃离子体充填术等,当龋坏组织得到控制后,再考虑是否适合进行全瓷牙修复。
5.牙髓炎
牙髓炎是指发生在牙髓组织的炎症性病变,通常表现为剧烈的牙痛,夜间痛等特点。如果患者存在牙髓炎的情况,此时进行全瓷牙可能会对患处产生一定的压力,诱发或者加重疼痛感。对于牙髓炎的患者,可在医生的操作下进行根管治疗,待炎症消除后,再考虑是否适合进行全瓷牙修复。
除了以上提及的原因之外,还应注意是否存在咬合功能紊乱等情况。必要时,建议患者及时就医,配合医生完善X线检查、CT检查等,以确定是否适合进行全瓷牙修复。
烤瓷牙能用电动牙刷吗
烤瓷牙是可以使用电动牙刷的,在正确使用的情况下不会影响了烤瓷牙的寿命。不过,使用电动牙刷刷牙前需要检查刷毛,不可以使用太硬的刷头,以免损伤牙龈组织。烤瓷牙需要定时更换电动牙刷的刷头,一般是3个月左右更换一次,这是因为电动牙刷的种类比较多,功率往往不一样,工作模式也比较多,需要根据自己的具体情况来选择适合自己的模式。同时,不建议使用工作强度太高的模式,否则有可能会因为震动频率过高以及震动力量过大,而影响了牙齿的健康。
全瓷牙为什么不建议做
门牙的修复方式需要谨慎考虑,通常不建议直接做全瓷牙,因为门牙的结构比较脆弱,容易受到外力冲击而破裂。如果患者存在牙齿结构脆弱、牙龈炎、牙周病、龋齿、牙髓炎等疾病,直接做全瓷牙可能会加重病情,甚至引起感染。因此,建议在专业医生的指导下,根据具体病因选择合适的治疗方案,如树脂填充、根管治疗等。
1.牙齿结构脆弱
由于全瓷牙的材料硬度较低,在受到外力作用时容易发生崩裂,导致牙齿受损。如果患者存在牙齿结构脆弱的问题,则不建议进行全瓷冠修复,以免加重牙齿损伤。
2.牙龈炎
牙龈炎是由于牙菌斑和牙石刺激引起的牙龈组织炎症,会导致牙龈红肿、出血等症状。若此时使用全瓷牙可能会对炎症部位造成摩擦和压迫,引起疼痛和感染扩散。对于患有牙龈炎的患者,应先接受专业的牙周治疗,待炎症消退后再考虑是否需要进行全瓷牙修复。
3.牙周病
牙周病是由牙菌斑生物膜引起的牙周支持组织的慢性感染性疾病,可导致牙龈红肿、出血、咀嚼困难等不适症状。若此时安装全瓷牙可能会影响口腔卫生的清洁程度,从而加重病情的发展。针对患有牙周病的患者,可以遵医嘱采用超声波洁治术、龈下刮治术等方式清除牙结石和菌斑,控制病情后进行全瓷牙修复。
4.龋齿
龋齿是一种由细菌引起的牙齿硬组织腐败性疾病,可能导致牙齿敏感、疼痛等问题。安装全瓷牙可能会增加牙齿负担,加剧龋齿的症状。对于龋齿的患者,可以在医生指导下通过填充术的方式进行处理,如复合树脂充填术、玻璃离子体充填术等,当龋坏组织得到控制后,再考虑是否适合进行全瓷牙修复。
5.牙髓炎
牙髓炎是指发生在牙髓组织的炎症性病变,通常表现为剧烈的牙痛,夜间痛等特点。如果患者存在牙髓炎的情况,此时进行全瓷牙可能会对患处产生一定的压力,诱发或者加重疼痛感。对于牙髓炎的患者,可在医生的操作下进行根管治疗,待炎症消除后,再考虑是否适合进行全瓷牙修复。
除了以上提及的原因之外,还应注意是否存在咬合功能紊乱等情况。必要时,建议患者及时就医,配合医生完善X线检查、CT检查等,以确定是否适合进行全瓷牙修复。
全瓷烤瓷牙的寿命是几年
全瓷烤瓷牙的使用寿命在十几到二十几年左右。其使用寿命的长短主要受全瓷牙的使用方法、平时是否注意口腔卫生、基牙的基本情况等因素的影响。如果平时使用烤瓷牙咀嚼硬东西、平时不注意口腔卫生、基牙受到损伤出现松动等情况都会影响全瓷烤瓷牙的使用寿命。为了提高全瓷烤瓷牙的使用寿命,平时避免使用全瓷烤瓷牙咀嚼硬东西,要早晚刷牙注意口腔卫生。
门牙为什么不建议做全瓷牙
门牙的修复方式需要谨慎考虑,通常不建议直接做全瓷牙,因为门牙的结构比较脆弱,容易受到外力冲击而破裂。如果患者存在牙齿结构脆弱、牙龈炎、牙周病、龋齿、牙髓炎等疾病,直接做全瓷牙可能会加重病情,甚至引起感染。因此,建议在专业医生的指导下,根据具体病因选择合适的治疗方案,如树脂填充、根管治疗等。
1.牙齿结构脆弱
由于全瓷牙的材料硬度较低,在受到外力作用时容易发生崩裂,导致牙齿受损。如果患者存在牙齿结构脆弱的问题,则不建议进行全瓷冠修复,以免加重牙齿损伤。
2.牙龈炎
牙龈炎是由于牙菌斑和牙石刺激引起的牙龈组织炎症,会导致牙龈红肿、出血等症状。若此时使用全瓷牙可能会对炎症部位造成摩擦和压迫,引起疼痛和感染扩散。对于患有牙龈炎的患者,应先接受专业的牙周治疗,待炎症消退后再考虑是否需要进行全瓷牙修复。
3.牙周病
牙周病是由牙菌斑生物膜引起的牙周支持组织的慢性感染性疾病,可导致牙龈红肿、出血、咀嚼困难等不适症状。若此时安装全瓷牙可能会影响口腔卫生的清洁程度,从而加重病情的发展。针对患有牙周病的患者,可以遵医嘱采用超声波洁治术、龈下刮治术等方式清除牙结石和菌斑,控制病情后进行全瓷牙修复。
4.龋齿
龋齿是一种由细菌引起的牙齿硬组织腐败性疾病,可能导致牙齿敏感、疼痛等问题。安装全瓷牙可能会增加牙齿负担,加剧龋齿的症状。对于龋齿的患者,可以在医生指导下通过填充术的方式进行处理,如复合树脂充填术、玻璃离子体充填术等,当龋坏组织得到控制后,再考虑是否适合进行全瓷牙修复。
5.牙髓炎
牙髓炎是指发生在牙髓组织的炎症性病变,通常表现为剧烈的牙痛,夜间痛等特点。如果患者存在牙髓炎的情况,此时进行全瓷牙可能会对患处产生一定的压力,诱发或者加重疼痛感。对于牙髓炎的患者,可在医生的操作下进行根管治疗,待炎症消除后,再考虑是否适合进行全瓷牙修复。
除了以上提及的原因之外,还应注意是否存在咬合功能紊乱等情况。必要时,建议患者及时就医,配合医生完善X线检查、CT检查等,以确定是否适合进行全瓷牙修复。
不戴假牙还可能影响自信心。缺少牙齿会影响面部美观,使人形成自卑心理,不敢与人交流,影响交际和职业变化。全瓷牙修复在能力恢复方面有着显著的优势。它使用高强度陶瓷材质制成,具备出色的耐磨性和抗压性,能够恢复口腔患者正常的咀嚼能力。无论是啃咬坚硬的食物还是实行日常口腔活动,全瓷牙常常能提供稳定可靠的支持。相关推荐:全瓷牙套怎么用
浏览完本文内容,想必各位都对全瓷牙建议做吗有了一定的了解,使用牙线和漱口水是预防修牙的辅助手段。牙线能够清除牙缝中的食物残渣和牙菌斑,漱口水则可以杀灭口腔中的细菌,减少口腔疾病的发生。有关全瓷牙修复问题,请进入下方在线客服了解。
温馨提示:口腔出现问题,需要及时修复,不然会导致问题越来越严重,如果您有这方面的需求,您可以联系我:135XXXXXXXX(点击电话即可复制),或者在下方在线留言。
标签:牙(31902)当(5442)一种(2381)全瓷(8180)寻求(68)建议(389)做吗(32)好嘛(40)既能(8)