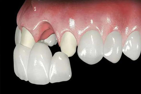
全瓷牙的颜色、形状和大小可以根据患者的个人需求和偏好进行定制,以实现更完美的美学效果和能力。那么全瓷牙能磨薄一点吗?接下来中老年口腔的小编就带各位一同去了解一下

全瓷牙厚了可以磨薄吗?
对于患者想磨牙齿,也要根据上下颌的咬合关系,并不能随意的磨除的,全瓷牙,可以进行磨除的,并不会有什么不利的影响,但是一定要遵循咬合关系的设计上。建议患者及时去正规的口腔门诊咨询,平时注意饮食清淡,不要吃坚硬食物,不要吃辣椒油炸食物。保持口腔卫生。
种植牙和烤瓷牙还是有很大的不同的。
首先说种植牙,种植牙在一般情况下,通常是在牙齿拔除以后连跟头拔除,然后做的一种修复方法,它是从牙根到牙冠,整体上完全都是人工牙。
但是烤瓷牙它的牙根还有部分的牙冠还是天然牙,只是在牙冠的外边做一个套,将天然的牙齿给包裹住。
一般来说,烤瓷牙是分陈两层的,其中里面一层是金属的,外面一层才是烤瓷,是在高温下的环境下烧接上去的。
全瓷牙做的门牙太凸了可以磨薄吗
对于患者想磨牙齿,也要根据上下颌的咬合关系,并不能随意的磨除的,全瓷牙,可以进行磨除的,并不会有什么不利的影响,但是一定要遵循咬合关系的设计上。建议患者及时去正规的口腔门诊咨询,平时注意饮食清淡,不要吃坚硬食物,不要吃辣椒油炸食物。保持口腔卫生。
烤瓷牙能做核磁共振吗
烤瓷牙是否可以做核磁共振,要取决于烤瓷牙的材料。烤瓷牙分为两种,一种烤瓷牙是全瓷的,另一种是金属烤瓷牙。如果是金属烤瓷牙是不能够做核磁共振的,会对核磁共振的结果造成一定的影响。但是如果是全烤瓷的,这种情况下可以进行核磁共振的检查。做烤瓷牙可以去正规的口腔科就诊,在医生的指导下选取烤瓷牙的材料,做完以后要注意口腔卫生。
全瓷牙可以磨薄吗
对于患者想磨牙齿,也要根据上下颌的咬合关系,并不能随意的磨除的,全瓷牙,可以进行磨除的,并不会有什么不利的影响,但是一定要遵循咬合关系的设计上。建议患者及时去正规的口腔门诊咨询,平时注意饮食清淡,不要吃坚硬食物,不要吃辣椒油炸食物。保持口腔卫生。
不戴假牙还可能影响内心健康。缺牙可能使人造成自卑、焦虑等负面情绪,影响内心健康和人际交往。长时间的心理压力还可能对身体健康造成不良影响。相对于那些对金属过敏的患者而言,全瓷牙修复提供了一种靠谱的选择。由于全瓷牙完全由陶瓷材质制成,不含任何金属成分,所以能够有效避免金属过敏引起的不适。
通过阅读以上内容,想必各位都对全瓷牙能磨薄一点吗有了一定的了解,养成良好的咀嚼习惯有利于预防修牙。减少用牙齿咬硬物或开瓶盖等不当行为,以免牙齿受到伤害。并且,用餐时要细嚼慢咽,减轻牙齿的负担。更多全瓷牙修复问题请点击下方在线咨询。
温馨提示:口腔出现问题,需要及时修复,不然会导致问题越来越严重,如果您有这方面的需求,您可以联系我:135XXXXXXXX(点击电话即可复制),或者在下方在线留言。
标签:牙(31991)吗(28287)全瓷(8202)少钱(22406)吗多(4439)一点(4218)牙能(288)磨薄(9)
下一篇:没有了