随着年龄的增长,牙齿问题逐渐成为中老年人关注的焦点。尤其是全口牙齿缺失或严重损坏的情况,不仅影响日常生活,还可能让笑容失去自信。那么,全口全瓷牙真的能让人重新拥有漂亮的笑容吗?答案是肯定的!全口全瓷牙以其自然的外观和舒适的佩戴体验,成为中老年缺牙患者的理想选择。中老年口腔作为专注于中老年牙齿健康的品牌,提供高效、专业的全口全瓷牙解决方案,帮助您轻松恢复自信笑容。

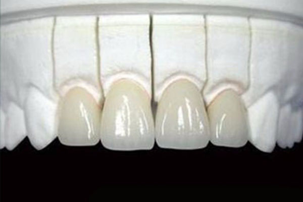
全口全瓷牙的材料优势:自然美观,舒适耐用
全口全瓷牙采用高品质陶瓷材料,颜色和光泽与天然牙齿极为相似,能够完美融入您的口腔环境。无论是日常饮食还是社交场合,全瓷牙都能让您自信展现笑容。此外,全瓷牙的耐磨性和抗腐蚀性也非常出色,使用寿命长,是中老年患者的理想选择。
适合人群:中老年缺牙患者的福音
全口全瓷牙特别适合牙齿缺失较多或全口牙齿损坏的中老年患者。中老年口腔的专业团队会根据您的口腔状况和需求,量身定制适合的全瓷牙方案。无论是追求美观还是注重功能,全瓷牙都能满足您的需求,让您重新拥有健康、美丽的牙齿。
全口全瓷牙真的适合中老年人吗?
是的,全口全瓷牙非常适合中老年人。由于其材料轻薄且与天然牙齿颜色相近,全瓷牙能够为中老年患者提供自然美观的外观。同时,全瓷牙的舒适度和耐用性也得到了广泛认可,是中老年缺牙患者的理想选择。
全口全瓷牙会不会容易损坏?
全口全瓷牙采用高品质陶瓷材料,具有很好的耐磨性和抗腐蚀性。只要按照医生的建议正确佩戴和护理,全瓷牙的使用寿命可以非常长。中老年口腔的专业团队也会为您提供详细的护理指导,确保您的全瓷牙长期使用无虞。
如果您正在为全口牙齿问题困扰,不妨考虑中老年口腔的全口全瓷牙解决方案。我们专注于中老年牙齿健康,提供高效、专业的服务,帮助您重新拥有自信的笑容。欢迎在评论区留言,分享您的牙齿健康故事,或者直接联系中老年口腔,了解更多详情!
温馨提示:口腔出现问题,需要及时修复,不然会导致问题越来越严重,如果您有这方面的需求,您可以联系我:135XXXXXXXX(点击电话即可复制),或者在下方在线留言。
标签:口腔(13488)修复(3674)让(928)全口(769)笑(43)缺牙(697)中老年(9608)批量(1515)变瓷(1)
上一篇:揭秘陶瓷牙套效果:适合中老年人的牙齿修复方案,中老年口腔为您解答
下一篇:没有了