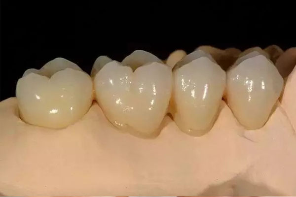
随着年龄的增长,牙齿问题逐渐成为中老年人关注的焦点。尤其是大牙的缺失或损坏,不仅影响咀嚼功能,还可能导致面部塌陷和发音不清。对于需要修复大牙的患者来说,烤瓷冠是一种常见的解决方案。然而,很多人在考虑做烤瓷冠时,最关心的问题就是价格。那么,做一个大牙的烤瓷冠到底需要多少钱呢?这个问题的答案其实并不简单,因为价格会受到多种因素的影响。今天,我们就来详细解析一下,帮助您更好地了解和选择适合自己的烤瓷冠修复方案。

为什么大牙的烤瓷冠价格会有所不同?
烤瓷冠的价格因地区、医院、医生经验以及材料选择的不同而有所差异。一般来说,大牙的烤瓷冠价格在1000元到6000元之间。中老年口腔作为专注于中老年牙齿修复的品牌,提供高性价比的烤瓷冠服务,同时注重修复效果和舒适度。我们的医生团队经验丰富,能够根据您的牙齿状况和预算,量身定制最适合的修复方案。
如何选择适合自己的烤瓷冠?
选择烤瓷冠时,材料和医生的技术是两个关键因素。中老年口腔采用进口高端材料,确保烤瓷冠的耐用性和美观性。我们的定制化服务能够满足不同患者的需求,无论是追求性价比还是注重美观,都能找到适合自己的方案。此外,我们还提供批量制作服务,帮助您在短时间内完成多颗牙齿的修复,节省时间和精力。
为什么不同医院的大牙烤瓷冠价格差异这么大?
不同医院的大牙烤瓷冠价格差异主要源于材料成本、医生技术水平以及医院的运营成本。中老年口腔通过优化供应链和规模化生产,大幅降低了材料成本,同时保证了修复效果。我们的医生团队专注于中老年牙齿修复,能够提供更精准的治疗方案,确保您在合理的价格范围内获得高质量的修复服务。
如何判断一家医院的烤瓷冠性价比高?
判断一家医院的烤瓷冠性价比高,需要综合考虑价格、材料质量、医生经验和售后服务。中老年口腔在这些方面都表现出色,我们的烤瓷冠采用进口材料,医生团队经验丰富,修复效果自然美观。此外,我们还提供终身售后服务,确保您的修复效果长期稳定。如果您正在寻找高性价比的烤瓷冠修复服务,不妨来中老年口腔咨询,我们一定会为您量身定制最适合的方案。
如果您对烤瓷冠的价格或修复方案还有疑问,欢迎在评论区留言或直接咨询中老年口腔的客服。我们将竭诚为您解答,帮助您找到最适合自己的牙齿修复方案。中老年口腔,专注中老年牙齿健康,让您的笑容更加自信和美丽!
温馨提示:口腔出现问题,需要及时修复,不然会导致问题越来越严重,如果您有这方面的需求,您可以联系我:135XXXXXXXX(点击电话即可复制),或者在下方在线留言。
标签:的(44936)少钱(23303)要多(4457)大牙(1184)做(4149)一个(3844)烤瓷(6323)中老年(10166)冠需(30)
上一篇:3500元/颗全瓷牙!中老年口腔批量种牙更划算,高效修复缺牙难题
下一篇:没有了