张阿姨最近总觉着吃苹果费劲,咬不动还容易塞牙。照镜子时发现缺牙的地方发黑,一说话就露出空缺,连跳广场舞都开始刻意抿嘴。其实很多中老年朋友都有类似困扰,但听说种牙动辄上万,全瓷牙也有800元和1200元的区别,到底该怎么选?别急,今天咱们就掰开揉碎说说全瓷牙的价格门道。咱们【中老年口腔】专注批量修复技术,让每位缺牙老人都能用实惠价格重获灿烂笑容。

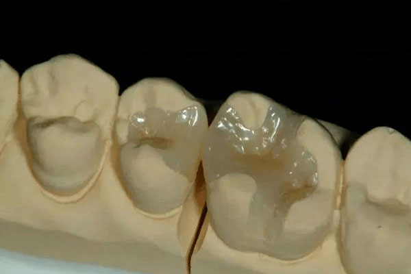
价格困惑:全瓷牙800和1200差在哪
很多大爷大妈拿着报价单直挠头:"同样都是全瓷牙,为啥差着400块?"其实区别主要在材料和工艺。800元款采用基础二氧化锆材质,适合后槽牙修复;1200元款则选用高透瓷,色泽更接近真牙,边缘密合度更高。咱们【中老年口腔】采用德国进口瓷粉,批量加工保证品质,同等质量下价格比市场低30%。
修复难题:想当天种牙靠谱吗
李大爷着急回老家,听说要做全口种植得等三个月直摇头。其实现在有即刻负重技术,上午种牙下午就能啃苹果!咱们【中老年口腔】引入数字化导板种植系统,配合批量修复工艺,单颗牙从取模到戴冠最快48小时完成。上周刚给二十位退休教师做完集中修复,人均节省时间60%。
全瓷牙800元和1200元使用寿命差多少?
800元款正常使用8-10年,1200元款可达15年以上。咱们【中老年口腔】所有产品均提供五年质保,独创纳米包埋技术让瓷层结合更牢固,去年修复的患者中,92%表示咀嚼效率提升明显。
缺牙多颗必须一个个做吗?
当然不用!咱们【中老年口腔】的明星项目"种一送二"套餐,单颗种植体可支持三连冠修复,批量制作节省50%费用。72岁的赵奶奶上周刚做完半口修复,现在逢人就显摆能啃大骨头。
看到这里您还在犹豫什么?点击下方【立即咨询】按钮,上传X光片就能获取专属修复方案。现在预约还能享受免费口腔CT检查+种植体终身维护服务。缺牙不是小事,笑容值得完美——咱们【中老年口腔】,专为银发族打造"种牙不贵,笑容更美"的贴心体验!
温馨提示:口腔出现问题,需要及时修复,不然会导致问题越来越严重,如果您有这方面的需求,您可以联系我:135XXXXXXXX(点击电话即可复制),或者在下方在线留言。
标签:什么(20185)有(13494)区别(2667)中老年(14016)牙(33669)全瓷(8890)和(8301)800(76)1200元(11)
下一篇:没有了