在中老年群体中,牙齿缺失是一个普遍且令人困扰的问题。它不仅影响日常饮食和发音,还可能导致面部凹陷,影响整体形象。而树脂排水沟安装作为一种高效的解决方案,近年来备受关注。它不仅能够快速恢复牙齿功能,还能提供自然美观的外观,让中老年人重拾自信笑容。如果你正在为牙齿缺失问题烦恼,不妨深入了解树脂排水沟安装的优势和适用场景,或许这就是你一直在寻找的解决方案。

牙齿缺失带来的困扰,树脂排水沟安装如何解决
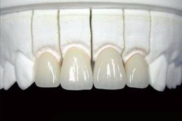
牙齿缺失后,咀嚼功能会受到严重影响,尤其是对于中老年人来说,食物的消化吸收也会因此受到影响。此外,牙齿缺失还可能导致发音不清,影响日常交流。而树脂排水沟安装通过在缺失牙区域安装树脂材料,能够快速恢复牙齿的形态和功能。相比传统的种植牙,树脂排水沟安装更加便捷,无需复杂的手术过程,适合对疼痛敏感或时间紧张的中老年人。
树脂排水沟安装的优势,为什么选择中老年口腔
中老年口腔专注于为中老年缺牙患者提供高效、舒适的解决方案。树脂排水沟安装作为我们的特色产品之一,具有以下优势:首先,安装过程简单快捷,无需拔牙或植骨,减少了患者的痛苦和恢复时间;其次,树脂材料具有良好的耐磨性和美观性,能够与天然牙齿完美融合;最后,我们的专业团队会根据患者的具体情况,量身定制安装方案,确保最佳效果。选择中老年口腔,让您的牙齿问题迎刃而解。
树脂排水沟安装的过程复杂吗?
树脂排水沟安装的过程并不复杂。首先,医生会对患者的口腔情况进行全面检查,确定适合安装的位置。然后,通过简单的打磨和固定,树脂材料会被安装到缺失牙区域。整个过程通常只需1-2小时,患者无需长时间等待,即可恢复牙齿功能。
树脂排水沟的使用寿命有多长?
树脂排水沟的使用寿命通常在5-10年左右,具体取决于患者的使用习惯和口腔护理情况。中老年口腔采用的树脂材料具有较高的耐磨性和稳定性,能够满足日常咀嚼需求。定期复诊和维护可以进一步延长使用寿命,确保长期效果。
如果您正在为牙齿缺失问题烦恼,不妨考虑树脂排水沟安装。中老年口腔凭借专业的技术和贴心的服务,已经成为众多中老年患者的首选品牌。快来咨询我们,了解更多关于树脂排水沟安装的详细信息,让您的生活更加轻松愉快!
温馨提示:口腔出现问题,需要及时修复,不然会导致问题越来越严重,如果您有这方面的需求,您可以联系我:135XXXXXXXX(点击电话即可复制),或者在下方在线留言。
标签:的(45866)口腔(19680)高效(1000)树脂(4690)安装(804)排水沟(274)中老年(17106)技巧(115)
下一篇:没有了