相比那些因牙齿缺失而自卑的口腔患者而言,镶牙相信是一种重拾自信的方法。通过镶牙,他们可以再次具备完整的牙齿,展现自信的笑容,重拾生活的乐趣。那么年轻人种植牙好还是镶牙好些?接下来就带各位了解一下

种植牙和传统镶牙最大的区别是什么
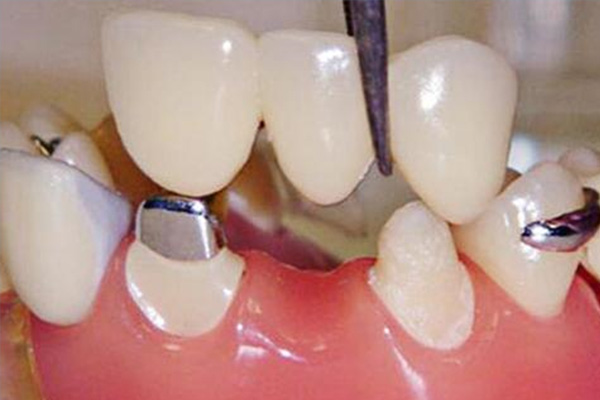
镶牙和种植牙在材料、技术、价格等方面存在差异。
1.材料
镶牙是使用天然牙的邻牙作为基牙,通过固定或可摘的方式进行修复,而种植牙是将人工牙根植入缺失牙的牙槽骨中,再在其上安装义齿。
2.技术
镶牙需要对邻牙进行磨切,以制作固位体和连接体,而种植牙则需要在缺牙区进行手术,植入人工牙根,并进行后期的修复。
3.价格
镶牙的价格相对较低,通常在几千元到万元之间,而种植牙的价格较高,可能需要数万元甚至更多。
患者在选择镶牙或种植牙时,应考虑自身的口腔健康状况、经济承受能力以及对美观和功能的需求。
什么是钴铬烤瓷牙和纯钛烤瓷牙?
钴铬烤瓷牙命名的方法主要是根据制作烤瓷牙的金属材料的不同来命名的。烤瓷牙是叫金属熔融烤瓷牙,如果我们在选择制作烤瓷牙的金属上,选择钴铬合金做烤瓷牙的内冠,再加上外面上瓷,制作出来的牙冠就叫钴铬合金烤瓷牙。如果我们选择的这个内冠的金属是纯钛材料的金属,在纯钛材料内冠上面,附着烤瓷,然后烧结出来的制作烤瓷牙叫做纯钛烤瓷牙。主要区别在于就是制作烤瓷牙的金属材料不同而分别的给它命名。钴铬合金烤瓷牙,我们在临床上是比较常用的一种,是属于(普通)金属烤瓷牙,纯钛烤瓷牙我们在临床上用的并不是特别普及,为什么呢?就是因为纯钛金属和这个表面的外面这层烤瓷的叫金瓷结合,它是存在问题的。目前在世界范围内都是一个比较难的难题。那么纯钛金属和表面这层瓷层的这个金瓷结合,结合的力度比较差,它在我们戴到口腔,接受这种咀嚼压力的过程中,表面这层瓷很容易崩瓷,很容易脱落,会影响到它的使用效果。所以有纯钛烤瓷,我们实际上用得并不太普遍。
高血糖的病人能种植牙齿镶牙嘛高血糖的
镶牙和种植牙在材料、技术、价格等方面存在差异。
1.材料
镶牙是使用天然牙的邻牙作为基牙,通过固定或可摘的方式进行修复,而种植牙是将人工牙根植入缺失牙的牙槽骨中,再在其上安装义齿。
2.技术
镶牙需要对邻牙进行磨切,以制作固位体和连接体,而种植牙则需要在缺牙区进行手术,植入人工牙根,并进行后期的修复。
3.价格
镶牙的价格相对较低,通常在几千元到万元之间,而种植牙的价格较高,可能需要数万元甚至更多。
患者在选择镶牙或种植牙时,应考虑自身的口腔健康状况、经济承受能力以及对美观和功能的需求。
烤瓷牙疼如何治疗
烤瓷牙疼可以药物治疗。出现了这种情况后,可以通过止痛的药物改善,如布洛芬缓释胶囊、元胡止痛片等。这类止痛药物能够很好的改善牙疼的现象,而且不会对牙龈造成太大的影响。但是要遵医嘱用药。在烤瓷牙期间,一定要注意饮食的清淡,避免吃过多坚硬的食物,如核桃,以免对牙齿神经造成二次伤害。
镶牙和种植牙的区别是什么
镶牙和种植牙在材料、技术、价格等方面存在差异。
1.材料
镶牙是使用天然牙的邻牙作为基牙,通过固定或可摘的方式进行修复,而种植牙是将人工牙根植入缺失牙的牙槽骨中,再在其上安装义齿。
2.技术
镶牙需要对邻牙进行磨切,以制作固位体和连接体,而种植牙则需要在缺牙区进行手术,植入人工牙根,并进行后期的修复。
3.价格
镶牙的价格相对较低,通常在几千元到万元之间,而种植牙的价格较高,可能需要数万元甚至更多。
患者在选择镶牙或种植牙时,应考虑自身的口腔健康状况、经济承受能力以及对美观和功能的需求。
不镶牙会导致牙槽骨萎缩,增加日后镶牙的难度和费用。镶牙是一种预防性解决措施。通过及时镶牙,我们可以防止牙齿缺失会使的邻牙移位、咬合关系扰乱等问题进一步恶化。这不仅可以减少更加复杂的口腔解决,还可以下降未来口腔问题的风险。有关推荐:镶牙与种牙哪个比较好些
看完上文,想必各位都对年轻人种植牙好还是镶牙好些有了一定的了解,维护口腔健康是预防镶牙的要点所在。保持良好的饮食习惯,降低频繁饮用酸性饮料,以免伤害牙齿表面。使用含氟牙膏,增强牙齿的抵抗力。而且要留意口腔的清洁,不只是刷牙,还包括使用漱口水。有关镶牙问题,请点击下方在线客服咨询。
温馨提示:口腔出现问题,需要及时修复,不然会导致问题越来越严重,如果您有这方面的需求,您可以联系我:135XXXXXXXX(点击电话即可复制),或者在下方在线留言。
标签:还是(3310)呢(12993)种植(4652)好些(789)视频(6055)牙好(570)镶牙(5462)年轻人(226)