伴随着科技的进步,镶牙技术也在不断发展。从传统的金属填充到今天的陶瓷和树脂材质,镶牙的选择变得更加多样化,满足了不相同顾客的需求。那么深圳镶牙技术哪家医院好些?接下来小编就带大家一同去了解一下

种植牙和传统镶牙技术的区别
您好,从您给出的描述来分析,判断是白癜风存在的可能,平常白癜风主要由白斑呈现,但是白斑的种类在医学上也有很多种,而常见的是白癜风白斑,但是针对白癜风诱发因素比较复杂多变,最少是一种或多种引发,所以需要尽早及时做个详细的分析检查,来证明具体的病因和病症,再做规范性诊疗。祝早日康复。
烤瓷牙会改变牙齿颜色吗
烤瓷牙是会改变牙齿颜色的。烤瓷牙会使牙齿的边缘慢慢发黑,这主要是由于烤瓷牙内部的金属材料造成的。烤瓷牙内部常用的金属材料是镍铬合金,镍铬合金在常规条件下是一种比较安全的医用材料,但是当镍铬合金长期放置在口腔中时,口腔中的唾液会对镍铬合金造成影响,使镍铬合金发生腐蚀、变色,并促进内部的金属离子析出,因此会在牙齿的边缘部位出现发黑的情况。由于烤瓷牙引起的牙齿变色会影响牙齿的美观,现在临床上多采用全瓷牙来替代烤瓷牙。
西安那家医院镶牙技术好
您好,从您给出的描述来分析,判断是白癜风存在的可能,平常白癜风主要由白斑呈现,但是白斑的种类在医学上也有很多种,而常见的是白癜风白斑,但是针对白癜风诱发因素比较复杂多变,最少是一种或多种引发,所以需要尽早及时做个详细的分析检查,来证明具体的病因和病症,再做规范性诊疗。祝早日康复。
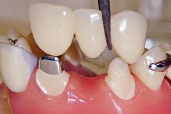
烤瓷牙松动怎么处理
烤瓷牙松动应该及早到医院进行详细检查,诊断是烤瓷牙本身松动还是内部基牙松动。
第一、如果是烤瓷牙出现松动,通常把烤瓷牙内面材料祛除干净,把牙齿重新粘上。
第二、烤瓷牙松动是由于基牙得牙周病,如果是三度松动以上通常考虑拔除;如果是二度以下松动,考虑进行保守治疗,通过牙周病系统治疗后,烤瓷牙会恢复正常。
深圳哪家医院治疗白癜风技术好些?
您好,从您给出的描述来分析,判断是白癜风存在的可能,平常白癜风主要由白斑呈现,但是白斑的种类在医学上也有很多种,而常见的是白癜风白斑,但是针对白癜风诱发因素比较复杂多变,最少是一种或多种引发,所以需要尽早及时做个详细的分析检查,来证明具体的病因和病症,再做规范性诊疗。祝早日康复。
缺失牙齿还会影响颌脸部发育。尤其是在小孩和青少年时期,牙齿缺失可能影响颌脸部的正常发育,导致脸部畸形。伴随着年龄的增长,人体的吸收能力会减弱,骨质也就会慢慢流失。镶牙有利于刺激牙槽骨的生长,保持骨结构的完整。您可能还想了解:最后面的大牙拔掉了还需要镶牙吗
浏览本文,想必各位都对深圳镶牙技术哪家医院好些有了一定的了解,此外,我们还需要注意饮食习惯的调整。避免过多摄入高糖食物和酸性饮料,这些食物和饮料会加速牙齿的腐蚀,增加镶牙的风险。有关镶牙问题,请打开下方在线客服咨询。
温馨提示:口腔出现问题,需要及时修复,不然会导致问题越来越严重,如果您有这方面的需求,您可以联系我:135XXXXXXXX(点击电话即可复制),或者在下方在线留言。
标签:镶牙(5705)哪个(3205)医院(5986)最好(3492)哪家(833)深圳(206)技术(1417)好些(793)伴(2566)