牙齿缺少不仅会影响美观,还会影响咀嚼能力和口腔健康。镶牙是一种进一步的解决办法,可以帮助各位恢复牙齿的能力和美观。那么活动义齿和镶牙哪个好?接下来中老年口腔的小编就带大家一同去了解一下

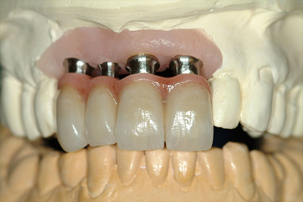
镶牙活动义齿
一般来说,这种情况不用过度的担心,可以适当的整,一个生长出来之后再考虑,现在避免吃一些刺激性的食物。
做一个烤瓷牙要多少钱
烤瓷牙是对于牙体缺损的一种重要修复方法,在临床上有多种烤瓷牙材料可以选择,价格也各不相同。对于金属烤瓷牙而言,普通的镍铬合金、钴铬合金烤瓷牙价格比较便宜,在1000元以内。银钯合金、金合金烤瓷牙价格相对贵一些,在2000元左右。更高级的全瓷牙内部不含有金属,价格会更贵,国产的二氧化锆全瓷牙一般是在3000元左右,进口的二氧化锆全瓷牙在5000元左右。选择不同的烤瓷牙对远期的效果也有不同的影响,金属容易引起牙龈变色,时间长了有可能会对身体有不好的影响,目前临床上建议经济条件允许最好选择全瓷牙。
镶牙活动义齿
一般来说,这种情况不用过度的担心,可以适当的整,一个生长出来之后再考虑,现在避免吃一些刺激性的食物。
一般烤瓷牙价格
一般烤瓷牙价格?看你到什么资质的医院进行治疗,还有用什么样的材料,决定了烤瓷牙的价格。
第一种情况是金属烤瓷牙,如果是普通的金属烤瓷牙是250块钱一颗;如果是钴铬合金烤瓷牙是600多块钱一颗;如果是纯钛烤瓷牙1500块钱一颗。
第二,全瓷牙,如果是一氧化锆全瓷牙是1750块钱一颗;如果是二氧化锆全瓷牙是2200块钱一颗;如果是瑞典全瓷牙是3200块钱一颗。
所以你做烤瓷牙之前要到相关的医院进行咨询,医生会告诉你用什么样的材料进行镶牙,还有价格是多少。
矛盾于是否镶牙,是否装活动义齿?
一般来说,这种情况不用过度的担心,可以适当的整,一个生长出来之后再考虑,现在避免吃一些刺激性的食物。
不镶牙会影响生活品质,使人没办法体验美食,影响交际活动。相比那些因疾病或遗传根源会使牙齿缺少的顾客,镶牙可以提供一种进一步的补救措施。它不仅能够恢复口腔能力,还能够减轻顾客的心理压力,增加生活品质。猜你喜欢:最后一颗牙拔了是种植牙好还是镶牙好
浏览完本文内容,想必大家都对活动义齿和镶牙哪个好有了一定的了解,儿童在成长流程中尤其要注意预防方法,因为他们的乳牙和恒牙基本上都在这种阶段发育。家长应教育孩子正确的刷牙方式和饮食健康的关键性。有关镶牙问题,请打开下方在线客服了解。
温馨提示:口腔出现问题,需要及时修复,不然会导致问题越来越严重,如果您有这方面的需求,您可以联系我:135XXXXXXXX(点击电话即可复制),或者在下方在线留言。
标签:牙齿(62210)哪个(3114)好(8476)和(7902)活动(2716)义齿(6660)好些(789)镶牙(5462)缺少(191)