镶牙是一种普遍的口腔修复技术,它可以帮助口腔患者恢复牙齿的功能和美观。随着科技的不断发展,镶牙的技术也在不断更新和完善。那么牙周炎拔完牙要镶牙吗?接下来中老年口腔的小编就带各位一起去了解一下

拔完牙做根管治疗后镶牙
牙周炎患者应在医生指导下定期维护口腔卫生,以减少疾病进展风险。
牙周炎是由牙菌斑生物膜引起的牙龈组织和支持牙齿结构的破坏,主要症状包括牙龈红肿、出血、口臭等。若不及时治疗,可能会导致牙齿松动甚至脱落。定期维护口腔卫生有助于控制感染,防止病情恶化。
如果患者的经济条件允许且希望恢复咀嚼功能,则建议在炎症得到控制后进行修复。但需考虑患者的全身健康状况,避免因修复过程中的局部刺激而引起感染扩散或其他并发症。
针对牙周炎的治疗和管理需要个体化方案制定,并应结合患者的整体健康状况评估。此外,定期复查以及良好的口腔卫生习惯是确保治疗效果的关键。
烤瓷牙或贴面有什么危害
烤瓷牙和贴面均需进行牙齿制备。烤瓷牙为金属烤瓷牙,内含金属可刺激牙龈,引起牙周组织、牙龈、牙槽骨吸收,且磨牙本身可损伤牙体组织。
此外,若磨牙过程中不注意降温,可导致牙髓充血,或磨牙过深出现牙髓炎等,此时需要进行治疗。目前贴面修复前门牙在颜色与形态的美观度上具有一定的优势,临床形状有超薄型或厚型,需根据患者选择磨损正常牙齿组织,对牙齿具有一定的危害。
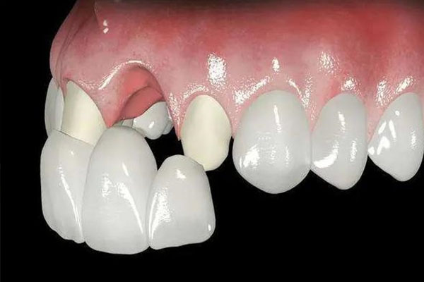
牙周炎拔完牙要镶牙吗
牙周炎患者应在医生指导下定期维护口腔卫生,以减少疾病进展风险。
牙周炎是由牙菌斑生物膜引起的牙龈组织和支持牙齿结构的破坏,主要症状包括牙龈红肿、出血、口臭等。若不及时治疗,可能会导致牙齿松动甚至脱落。定期维护口腔卫生有助于控制感染,防止病情恶化。
如果患者的经济条件允许且希望恢复咀嚼功能,则建议在炎症得到控制后进行修复。但需考虑患者的全身健康状况,避免因修复过程中的局部刺激而引起感染扩散或其他并发症。
针对牙周炎的治疗和管理需要个体化方案制定,并应结合患者的整体健康状况评估。此外,定期复查以及良好的口腔卫生习惯是确保治疗效果的关键。
钴铬合金烤瓷牙可以用多少年
钴铬合金烤瓷牙通常可以使用10年到15年的左右,少部分人群可以使用长达20年左右。影响患者使用钴铬合金烤瓷牙时间长短的因素有很多,既有患者自身因素,也有医疗技术水平的因素进行影响。如果患者在日常生活中可以做到合理的用牙习惯,保证假牙的护理工作,通常可以使钴铬合金烤瓷牙的寿命有所延长。另外如果医生的医疗技术相对比较好,也会大幅度提高患者使用合金烤瓷牙的使用寿命。
牙周炎拔完牙要镶牙吗
牙周炎患者应在医生指导下定期维护口腔卫生,以减少疾病进展风险。
牙周炎是由牙菌斑生物膜引起的牙龈组织和支持牙齿结构的破坏,主要症状包括牙龈红肿、出血、口臭等。若不及时治疗,可能会导致牙齿松动甚至脱落。定期维护口腔卫生有助于控制感染,防止病情恶化。
如果患者的经济条件允许且希望恢复咀嚼功能,则建议在炎症得到控制后进行修复。但需考虑患者的全身健康状况,避免因修复过程中的局部刺激而引起感染扩散或其他并发症。
针对牙周炎的治疗和管理需要个体化方案制定,并应结合患者的整体健康状况评估。此外,定期复查以及良好的口腔卫生习惯是确保治疗效果的关键。
另外,不镶牙还会对邻近的健康牙齿引起负面影响。当一个或多个牙齿丢失后,周围的牙齿会倾向于向缺失区域倾斜或移动,这种不正常的移位可能会造成牙齿排列错乱,甚至导致咬合问题。镶牙还可以提升口腔患者的生活质量。牙齿缺失会对口腔患者的生活质量造成影响,而镶牙可以进一步地提升口腔患者的生活质量。猜你喜欢:有牙根镶牙好还是没牙根镶牙好
阅读完上文,想必各位都对牙周炎拔完牙要镶牙吗有了一定的了解,使用适合的口腔护理产品有助于预防镶牙。选择具有抗菌、防蛀等功效的牙膏、漱口水等产品,可以更完美地保护牙齿健康,降低镶牙几率。有关镶牙问题,请访问下方在线客服了解。
温馨提示:口腔出现问题,需要及时修复,不然会导致问题越来越严重,如果您有这方面的需求,您可以联系我:135XXXXXXXX(点击电话即可复制),或者在下方在线留言。
标签:是(18149)牙周炎(4525)牙(32526)吗(28887)镶牙(5705)拔完(319)要(3563)图片(12719)