镶牙技术的变化为牙齿缺少患者带来了更多选择。从传统的固定修复到现代的种牙技术,镶牙方式不断创新,为患者提供了更加称心、美观的解决办法。这个技术的变化使得镶牙流程更加精准、高效,患者能够感受到更完美的修复效果。那么牙根没了镶牙多少钱?接下来小编就带各位一块去了解一下

牙根都没了,是种植牙好还是镶牙做冠桥好啊
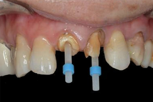
牙根没了不能直接镶牙。
牙根是固定假牙的支架,提供了咀嚼力量的支持和分散。当牙根缺失时,假牙没有可靠的固位基础,可能会导致不稳定、易松动或脱落等问题。因此,在这种情况下,需要先通过其他治疗方法稳定周围牙齿和软硬组织,待条件适宜后再考虑镶牙。
如果患者口腔卫生状况不佳,存在龋齿、牙周病等疾病,可能会影响镶牙的效果和稳定性。此时,应先治疗口腔内的病变,确保良好的口腔健康状态再进行镶牙。
在考虑镶牙前,建议患者咨询专业口腔医生,进行全面的口腔检查和评估,以确定最佳的治疗方案。同时,注意保持良好的口腔卫生习惯,定期进行口腔清洁和保健,有助于维护口腔健康。
烤瓷牙寿命
烤瓷牙是对牙体发生缺损的一种重要的修复方法,烤瓷牙使用的寿命一般是在8-10年左右,但是具体问题,具体分析。烤瓷牙使用的寿命跟许多因素都是有关系的,比如烤瓷牙本身的质量、制作水平,以及佩戴烤瓷牙之后患者应用的情况,是否足够爱惜等等都有关系。如果烤瓷牙制作比较精密,材料比较好,佩戴之后患者特别爱惜,不应用烤瓷牙咀嚼坚硬食物,术后应用20年,甚至一辈子也是可能的。但是如果烤瓷牙质量比较差,比较便宜,同时在佩戴烤瓷牙之后,患者经常吃坚硬的食物,有可能使用寿命就会比较短,可能3-5年之内就会发生破坏。
牙根没了怎么镶牙
牙根没了不能直接镶牙。
牙根是固定假牙的支架,提供了咀嚼力量的支持和分散。当牙根缺失时,假牙没有可靠的固位基础,可能会导致不稳定、易松动或脱落等问题。因此,在这种情况下,需要先通过其他治疗方法稳定周围牙齿和软硬组织,待条件适宜后再考虑镶牙。
如果患者口腔卫生状况不佳,存在龋齿、牙周病等疾病,可能会影响镶牙的效果和稳定性。此时,应先治疗口腔内的病变,确保良好的口腔健康状态再进行镶牙。
在考虑镶牙前,建议患者咨询专业口腔医生,进行全面的口腔检查和评估,以确定最佳的治疗方案。同时,注意保持良好的口腔卫生习惯,定期进行口腔清洁和保健,有助于维护口腔健康。
烤瓷牙和金属牙的区别
烤瓷牙和金属牙的区别:
第一、烤瓷牙是由烤瓷铸成的,所以光泽度和颜色比较好,和牙齿相近,比较美观。金属牙通常是由金属铸成的,颜色比较黑,影响美观。
第二、烤瓷牙通常价格比金属牙贵,如果全瓷牙价格更加昂贵。
第三、烤瓷牙通常用于前牙,金属牙通常用于后牙。镶牙要及早到医院检查,在医生指导下选择牙冠材料。
牙根没了能镶牙吗
牙根没了不能直接镶牙。
牙根是固定假牙的支架,提供了咀嚼力量的支持和分散。当牙根缺失时,假牙没有可靠的固位基础,可能会导致不稳定、易松动或脱落等问题。因此,在这种情况下,需要先通过其他治疗方法稳定周围牙齿和软硬组织,待条件适宜后再考虑镶牙。
如果患者口腔卫生状况不佳,存在龋齿、牙周病等疾病,可能会影响镶牙的效果和稳定性。此时,应先治疗口腔内的病变,确保良好的口腔健康状态再进行镶牙。
在考虑镶牙前,建议患者咨询专业口腔医生,进行全面的口腔检查和评估,以确定最佳的治疗方案。同时,注意保持良好的口腔卫生习惯,定期进行口腔清洁和保健,有助于维护口腔健康。
不镶牙会影响口腔的整体健康,增加全身性疾病的发生可能性。镶牙还有助于维护口腔健康。牙齿缺失可能造成邻牙歪斜、移位,以致引发牙周病等口腔问题。镶牙可以填补牙齿空缺,防止邻牙发生不良变化,维护口腔健康。有关推荐:拔牙镶牙需要多久时间完成
浏览完本文内容,想必大家都对牙根没了镶牙多少钱有了一定的了解,口腔保健知识的普及对于预防镶牙至关关键。了解牙齿的结构、能力和口腔问题的成因,有助于我们更完美地保护牙齿,预防镶牙的发生。有关镶牙问题,请进入下方在线客服了解。
温馨提示:口腔出现问题,需要及时修复,不然会导致问题越来越严重,如果您有这方面的需求,您可以联系我:135XXXXXXXX(点击电话即可复制),或者在下方在线留言。
标签:的(44291)少钱(22853)啊(7117)镶牙(5705)多(14868)技术(1417)变(448)牙根(1312)没了(130)