尽管镶牙可以解决许多牙齿问题,但不是每个人都适合这种医治方法。因此,在选择镶牙前,了解自己的口腔健康状态至关重要。那么种植牙与镶牙的区别有哪些?下面小编就带大家了解一下

种植牙和传统镶牙最大的区别是什么
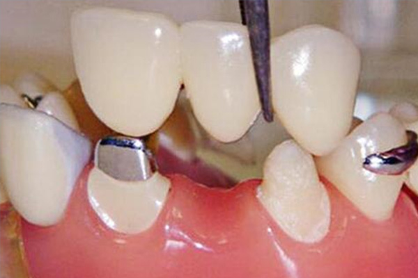
镶牙和种植牙在材料、技术、价格等方面存在差异。
1.材料
镶牙是使用天然牙的邻牙作为基牙,通过固定或可摘的方式进行修复,而种植牙是将人工牙根植入缺失牙的牙槽骨中,再在其上安装义齿。
2.技术
镶牙需要对邻牙进行磨切,以制作固位体和连接体,而种植牙则需要在缺牙区进行手术,植入人工牙根,并进行后期的修复。
3.价格
镶牙的价格相对较低,通常在几千元到万元之间,而种植牙的价格较高,可能需要数万元甚至更多。
患者在选择镶牙或种植牙时,应考虑自身的口腔健康状况、经济承受能力以及对美观和功能的需求。
有烤瓷牙能做磁共振吗
烤瓷牙存在,主要会影响到头部磁共振的检查,有可能会导致头部磁共振检查里出现伪影,影响医生进行诊断、鉴别。
其他部位的磁共振正常可以做,一般不会有太大的影响。但如果是口腔内烤瓷牙数量较多,还是建议患者及时进行拆除、更换,避免因为较大数量的金属,影响到其他部位磁共振的检查。
正常情况下,患者在进行修复治疗时最好是选择全瓷牙进行修复,全瓷牙不含金属,后期对磁共振没有任何的影响。
全瓷牙因为不含金属,它的生物相容性比较好,没有金属的析出,不会对口腔的黏膜有刺激作用。因为烤瓷冠需要在口腔内长久存在,如果金属类材料本身含有有害物质,对于身体的影响比较大。
种植牙坏了还能镶牙吗
镶牙和种植牙在材料、技术、价格等方面存在差异。
1.材料
镶牙是使用天然牙的邻牙作为基牙,通过固定或可摘的方式进行修复,而种植牙是将人工牙根植入缺失牙的牙槽骨中,再在其上安装义齿。
2.技术
镶牙需要对邻牙进行磨切,以制作固位体和连接体,而种植牙则需要在缺牙区进行手术,植入人工牙根,并进行后期的修复。
3.价格
镶牙的价格相对较低,通常在几千元到万元之间,而种植牙的价格较高,可能需要数万元甚至更多。
患者在选择镶牙或种植牙时,应考虑自身的口腔健康状况、经济承受能力以及对美观和功能的需求。
烤瓷牙会影响味觉吗
戴上烤瓷牙对味觉是不会有影响的。因为味觉是分布在舌头上,和是否戴有烤瓷牙没有太大的关系。刚开始戴烤瓷牙只是会有一种不舒服的感觉,有可能会在短期内出现发音不准、咀嚼不自然的情况,或者是控制不当而导致出现的磨伤牙床或者吞咽困难等情况,有些不适会影响口腔味觉的感知,从而让人误以为烤瓷牙影响味觉,但是一般来说烤瓷牙是不会影响味觉的。
镶牙和种植牙的区别是什么
镶牙和种植牙在材料、技术、价格等方面存在差异。
1.材料
镶牙是使用天然牙的邻牙作为基牙,通过固定或可摘的方式进行修复,而种植牙是将人工牙根植入缺失牙的牙槽骨中,再在其上安装义齿。
2.技术
镶牙需要对邻牙进行磨切,以制作固位体和连接体,而种植牙则需要在缺牙区进行手术,植入人工牙根,并进行后期的修复。
3.价格
镶牙的价格相对较低,通常在几千元到万元之间,而种植牙的价格较高,可能需要数万元甚至更多。
患者在选择镶牙或种植牙时,应考虑自身的口腔健康状况、经济承受能力以及对美观和功能的需求。
长时间不镶牙会会使邻牙歪斜、移位,对颌牙延长,破坏咬合关系。提高咀嚼效率,使食物更容易被消化吸收,减轻胃肠负担。
通过阅读以上内容,想必大家都对种植牙与镶牙的区别有哪些有了一定的了解,牙齿的保健和护理是预防镶牙的长时间任务。除去日常刷牙、使用牙线等清洁措施外,还应每段时间就进行洗牙、抛光等专业护理,保持牙齿的清洁和健康状态。有关镶牙问题,请打开下方在线客服询问。
温馨提示:口腔出现问题,需要及时修复,不然会导致问题越来越严重,如果您有这方面的需求,您可以联系我:135XXXXXXXX(点击电话即可复制),或者在下方在线留言。
标签:牙(32031)镶牙(5482)的(43729)少钱(22430)与(1730)有(12823)哪些(5736)种植(4669)牙多(1367)区别(2524)
下一篇:没有了