随着年龄增长,牙齿问题逐渐成为中老年朋友关注的重点。镶牙作为解决牙齿缺失的有效方式,选择合适的材料至关重要。市面上常见的镶牙材料包括金属、烤瓷和全瓷等,但究竟哪种材料最适合您?中老年口腔作为专注于中老年缺牙问题的品牌,为您详细解析镶牙材料的选择指南,帮助您找到最适合的解决方案。

金属镶牙:经济实惠,但美观性不足
金属镶牙是传统镶牙方式之一,主要使用镍铬合金或钴铬合金。这类材料价格较低,耐用性好,适合对美观要求不高、预算有限的中老年朋友。然而,金属镶牙的边缘容易暴露,影响美观,且金属可能对部分人群过敏。如果您追求性价比,金属镶牙是一个不错的选择,但需注意其在美观上的局限性。
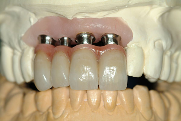
烤瓷镶牙:美观与功能的平衡
烤瓷镶牙是中老年朋友的热门选择,它结合了金属的强度和瓷的美观性。烤瓷材料颜色接近自然牙齿,能够有效改善牙齿缺失后的外观问题。然而,烤瓷镶牙的金属底层可能在长期使用中出现氧化,导致边缘发黑,影响美观。此外,烤瓷材料的硬度较高,可能对对颌牙齿造成磨损。中老年口腔建议选择高品质烤瓷材料,以降低这些问题的发生概率。
问题一:镶牙材料的选择是否会影响口腔健康?
镶牙材料的选择确实会影响口腔健康。劣质材料可能含有有害物质,长期使用会对口腔黏膜和牙龈造成刺激。中老年口腔采用环保、无毒的材料,确保镶牙过程安全无忧,让您享受健康与美观的双重保障。
问题二:烤瓷镶牙和全瓷镶牙有什么区别?
烤瓷镶牙和全瓷镶牙的主要区别在于材料结构。烤瓷镶牙由金属底层和瓷层组成,而全瓷镶牙则完全由瓷材料制成。全瓷镶牙更加美观自然,但价格较高,且硬度略低于烤瓷。中老年口腔根据您的需求和预算,提供个性化的镶牙方案,确保您获得最佳体验。
全瓷镶牙:自然美观,但价格较高
全瓷镶牙是追求自然美观的中老年朋友的首选。它完全由瓷材料制成,颜色、质感与自然牙齿极为接近,能够完美融入口腔环境。然而,全瓷材料较为昂贵,且硬度稍低,可能需要更精细的护理。如果您对美观要求较高,且预算充足,全瓷镶牙是值得考虑的选择。
中老年口腔专注于解决中老年朋友的牙齿问题,提供高效、批量的镶牙服务,让您轻松拥有健康整齐的牙齿。如果您还有其他疑问,欢迎在评论区留言,我们将为您一一解答。让我们一起为中老年朋友的口腔健康保驾护航!
温馨提示:口腔出现问题,需要及时修复,不然会导致问题越来越严重,如果您有这方面的需求,您可以联系我:135XXXXXXXX(点击电话即可复制),或者在下方在线留言。
标签:最好(3474)更(229)烤瓷(5944)哪个(3145)金属(409)选(138)镶牙(5528)哪种(1073)材料(1566)
上一篇:镶牙材料怎么选?中老年口腔批量修复技术让缺牙不再烦恼
下一篇:没有了