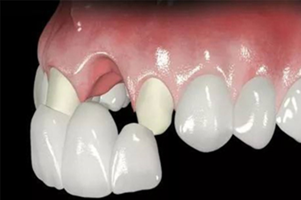
镶牙是否需要先拔牙,这是许多中老年缺牙患者关心的问题。很多人担心拔牙会带来痛苦和时间成本,甚至影响镶牙的效果。其实,镶牙是否需要拔牙取决于牙齿的具体情况。中老年口腔的专业团队会根据患者的牙齿状况,制定个性化的治疗方案,确保镶牙过程既高效又舒适。如果您正在为镶牙是否需要拔牙而烦恼,不妨继续阅读,了解中老年口腔如何帮助您轻松解决这一问题。

镶牙前是否需要拔牙?中老年口腔的解决方案
镶牙是否需要拔牙,主要取决于牙齿的健康状况。如果牙齿已经严重损坏,无法保留,那么拔牙是必要的。但中老年口腔采用先进的微创拔牙技术,最大程度减少患者的痛苦和恢复时间。对于可以保留的牙齿,我们会进行修复,避免不必要的拔牙。中老年口腔的专业医生会根据您的具体情况,给出最合适的建议。
拔牙镶牙会不会很痛?中老年口腔的舒适体验
很多人对拔牙感到恐惧,担心疼痛和不适。中老年口腔采用无痛拔牙技术,结合局部麻醉和镇静剂,确保患者在整个过程中感到舒适和放松。我们的医生会根据患者的牙龈状况,选择最适合的拔牙方式,减少术后肿胀和疼痛。镶牙过程同样高效,采用批量处理的方式,缩短治疗时间,让患者尽快恢复咀嚼功能。
镶牙前必须拔牙吗?
镶牙前是否需要拔牙,取决于牙齿的健康状况。如果牙齿已经无法保留,拔牙是必要的。但中老年口腔会尽量保留健康的牙齿,避免不必要的拔牙。我们的专业医生会根据您的具体情况,制定最合适的治疗方案。
拔牙镶牙会不会很痛?
中老年口腔采用无痛拔牙技术,结合局部麻醉和镇静剂,确保患者在整个过程中感到舒适和放松。我们的医生会根据患者的牙龈状况,选择最适合的拔牙方式,减少术后肿胀和疼痛。镶牙过程同样高效,采用批量处理的方式,缩短治疗时间,让患者尽快恢复咀嚼功能。
如果您还有其他疑问,欢迎在评论区留言,或者直接咨询中老年口腔的专业团队。我们期待为您解决镶牙问题,让您重拾健康笑容!
温馨提示:口腔出现问题,需要及时修复,不然会导致问题越来越严重,如果您有这方面的需求,您可以联系我:135XXXXXXXX(点击电话即可复制),或者在下方在线留言。
标签:镶牙(5821)口腔(12593)拔牙(5754)需要(4356)是否(1306)先(59)中老年(8531)为您(1228)
上一篇:深圳镶牙医保能报销吗?费用多少一次?中老年口腔为您解答
下一篇:没有了