牙齿缺失是中老年人常见的问题,不仅影响咀嚼功能,还可能影响发音和面部美观。面对牙齿缺失,许多人会纠结于种植牙和镶牙的选择。种植牙和镶牙有什么区别?哪种方式更适合中老年人?今天,我们就来详细解析这两种修复方式的差异及其各自的好处,帮助您做出明智的选择。

种植牙和镶牙的区别
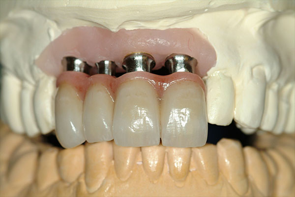
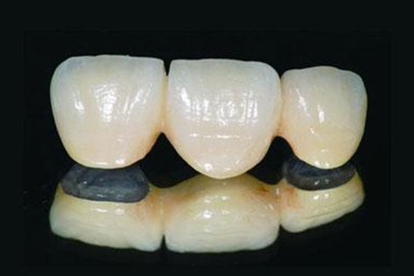
种植牙是一种通过手术将人工牙根植入牙槽骨中的修复方式,它能够提供接近天然牙的咬合力和稳定性。镶牙则是通过将假牙固定在邻近的健康牙齿上,来恢复缺失牙齿的功能和外观。种植牙不需要依赖邻牙,而镶牙则需要对邻牙进行一定的磨削处理。
种植牙和镶牙的好处
种植牙的最大优势在于其稳固性和功能性。由于种植牙直接植入牙槽骨,它能够提供强大的咬合力,让您在吃硬食物时毫无压力。此外,种植牙还能有效防止牙槽骨萎缩,保持面部的自然形态。镶牙的好处则在于其费用相对较低,修复过程较快,适合那些暂时不想进行手术的患者。
种植牙和镶牙哪个更适合中老年人?
对于中老年人来说,种植牙通常是一个更好的选择。随着年龄的增长,牙槽骨可能会逐渐萎缩,而种植牙能够有效延缓这一过程。此外,种植牙不需要磨削邻牙,对口腔健康的影响较小。如果您希望获得更长久、更自然的修复效果,种植牙是您的不二之选。
种植牙和镶牙的价格差别大吗?
种植牙的费用通常高于镶牙,因为种植牙需要进行手术和植入人工牙根。然而,从长期来看,种植牙的性价比更高,因为它使用寿命长,且不需要频繁更换。镶牙的费用较低,但可能需要定期维护或更换,尤其是在牙槽骨发生变化的情况下。
如果您正在为牙齿缺失问题烦恼,不妨考虑中老年口腔的专业种植牙服务。我们专注于为中老年缺牙患者提供高效、舒适的修复方案,让您的笑容更加自信。欢迎在评论区留言,分享您的体验或疑问,我们将竭诚为您解答!
温馨提示:口腔出现问题,需要及时修复,不然会导致问题越来越严重,如果您有这方面的需求,您可以联系我:135XXXXXXXX(点击电话即可复制),或者在下方在线留言。
标签:牙(33057)镶牙(5873)牙齿(64444)的(44846)口腔(13392)修复(3666)缺牙(691)中老年(9500)种植(4793)
上一篇:邻牙补过也能轻松镶牙 中老年口腔批量修复让缺牙不再难
下一篇:没有了