随着年龄的增长,牙齿问题逐渐成为中老年人关注的重点。无论是镶牙还是补牙,都是解决牙齿问题的常见方法。但很多人在选择时会犹豫:镶牙与补牙风险哪个大?其实,这取决于牙齿的具体情况和修复方式。中老年口腔作为专注于中老年牙齿健康的品牌,提供了一系列高效、安全的解决方案,帮助您轻松应对镶牙与补牙的选择难题。

镶牙与补牙的风险对比
镶牙和补牙的风险主要取决于牙齿的健康状况和修复材料的选择。镶牙通常适用于牙齿缺失较多的情况,而补牙则适用于牙齿有小面积缺损的情况。中老年口腔采用先进的修复技术,结合高密度材料,能够有效降低修复过程中的风险,确保牙齿修复的稳定性和舒适性。
镶牙与补牙的材料选择
材料的选择是影响镶牙与补牙风险的关键因素。中老年口腔提供多种材料选择,包括全瓷牙、金属烤瓷牙等,每种材料都有其独特的优势。全瓷牙美观度高,适合前牙修复;金属烤瓷牙则坚固耐用,适合后牙修复。根据您的牙齿情况,中老年口腔的专业医生会为您推荐最适合的材料,确保修复效果和安全性。
如何选择适合自己的修复方式
选择镶牙还是补牙,需要根据牙齿的缺损程度和您的个人需求来决定。中老年口腔提供个性化的修复方案,通过详细的检查和专业的评估,帮助您找到最适合的修复方式。无论是镶牙还是补牙,中老年口腔都能为您提供高效、安全的解决方案,让您重拾健康笑容。
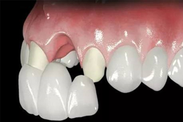
镶牙和补牙有什么区别?
镶牙和补牙的主要区别在于修复范围和材料选择。镶牙适用于牙齿缺失较多的情况,通常需要制作假牙并固定在邻近牙齿上;而补牙则适用于牙齿有小面积缺损的情况,通过填充材料修复牙齿。中老年口腔提供多种修复方式,满足不同患者的需求。
镶牙和补牙哪个更适合中老年人?
镶牙和补牙的选择需要根据牙齿的具体情况来决定。中老年口腔的专业医生会根据您的牙齿健康状况和缺损程度,为您推荐最适合的修复方式。无论是镶牙还是补牙,中老年口腔都能为您提供高效、安全的解决方案,确保修复效果和舒适度。
如果您还在为镶牙与补牙的风险问题而烦恼,不妨咨询中老年口腔的专业医生。我们提供详细的检查和专业的建议,帮助您找到最适合的修复方式。让我们一起守护您的牙齿健康,重拾健康笑容!
温馨提示:口腔出现问题,需要及时修复,不然会导致问题越来越严重,如果您有这方面的需求,您可以联系我:135XXXXXXXX(点击电话即可复制),或者在下方在线留言。
标签:口腔(20418)中老年(17999)补牙(5189)镶牙(6326)为您(2630)与(2008)风险(298)哪(549)个大(59)
下一篇:镶牙材料种类及优缺点有哪些呢