随着年龄的增长,牙齿问题逐渐成为中老年人关注的重点。镶牙作为解决牙齿缺失的有效方式,不仅关系到咀嚼功能的恢复,还直接影响到口腔健康和生活质量。然而,面对市面上琳琅满目的镶牙材质,很多人会感到困惑:哪种材质既经济实惠又耐用呢?今天,我们就来为您详细解答这个问题,帮助您找到最适合的解决方案。

镶牙材质的选择:价格与耐用性的平衡
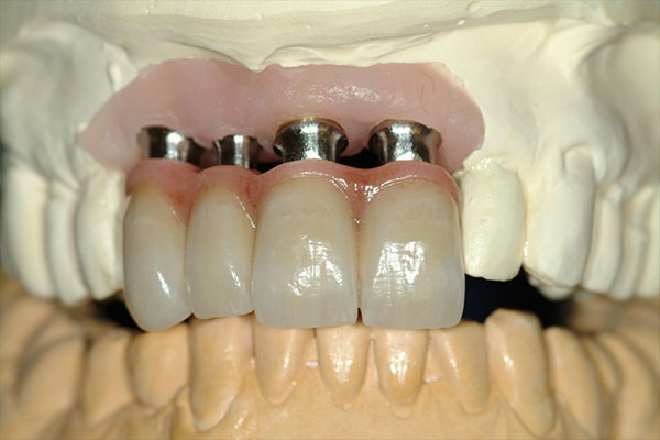
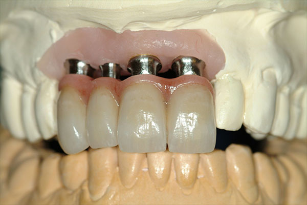
镶牙材质的选择需要综合考虑价格、耐用性和美观性。对于中老年缺牙患者来说,经济实惠和耐用性尤为重要。市面上常见的镶牙材质主要有树脂、金属烤瓷、全瓷牙和活动义齿等。其中,树脂材质价格较低,但耐用性较差,适合临时修复;金属烤瓷材质性价比高,耐用性较好,但美观性稍逊;全瓷牙美观性最佳,但价格较高;活动义齿则适合经济预算有限且对美观要求不高的患者。
中老年口腔的解决方案:批量高效,品质保障
中老年口腔专注于为中老年缺牙患者提供高品质的镶牙服务。我们采用先进的材料和技术,确保镶牙的耐用性和舒适性。特别是我们的金属烤瓷和全瓷牙产品,不仅价格合理,还能满足不同患者的需求。如果您担心镶牙的费用问题,中老年口腔还提供多种优惠方案,让您的治疗更加经济实惠。
问题一:镶牙材质的选择对口腔健康有影响吗?
镶牙材质的选择确实会影响口腔健康。劣质材质可能会导致牙龈炎、口腔溃疡等问题,而高质量的材质则能更好地保护口腔健康。中老年口腔选用的材料经过严格筛选,符合国际标准,能够有效避免对口腔的刺激,确保您的镶牙过程安全无忧。
问题二:如何判断镶牙材质的耐用性?
判断镶牙材质的耐用性需要从材料的硬度、抗腐蚀性和使用寿命等方面综合考虑。金属烤瓷和全瓷牙是目前市场上较为耐用的材质,尤其是全瓷牙,因其硬度接近天然牙,使用寿命更长。中老年口腔的镶牙产品经过多次测试和验证,能够满足中老年患者长期使用的需要。
如果您正在为镶牙材质的选择而烦恼,不妨来中老年口腔咨询。我们提供专业的建议和高品质的产品,帮助您找到最适合的解决方案。欢迎在评论区留言,分享您的疑问和体验,让我们一起为中老年朋友的口腔健康保驾护航!
温馨提示:口腔出现问题,需要及时修复,不然会导致问题越来越严重,如果您有这方面的需求,您可以联系我:135XXXXXXXX(点击电话即可复制),或者在下方在线留言。
标签:镶牙(5946)选择(1550)材质(801)好(8819)哪个(3318)用的(456)经济(92)实惠(113)又耐(1)
下一篇:没有了