全口牙镶牙后出现响声,这让很多中老年人感到困惑和不安。明明是为了恢复咀嚼功能、改善生活质量才做的修复,怎么戴上假牙之后,说话或者吃饭时还会“咔哒咔哒”响呢?其实,这种情况并不少见,而且背后的原因多种多样。如果不及时处理,不仅会影响日常交流,还可能对口腔健康造成更大的隐患。今天我们就来聊聊这个问题,并且告诉你一个专业、高效的解决方案——【中老年口腔】,我们专注于为中老年缺牙人群提供一站式牙齿修复服务,帮助您告别镶牙后的不适。

响声从哪来?可能是咬合不稳
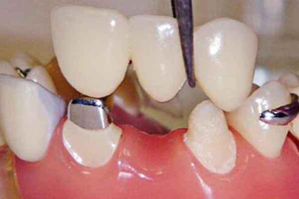
很多中老年人在佩戴全口义齿后,会出现咬合不稳定的情况。这通常是由于假牙与牙床贴合不够紧密,或者上下牙的咬合关系没有调整好。当进行咀嚼或讲话时,假牙就会因为受力不均而产生滑动,从而发出“咯吱咯吱”或者“咔哒咔哒”的响声。这种情况不仅影响使用体验,还可能导致牙龈疼痛甚至松动。 针对这一问题,【中老年口腔】采用高精度数字化建模技术,结合个性化定制工艺,确保每一副假牙都能与牙床完美贴合。我们的专业团队会根据每位患者的口腔结构和咬合习惯进行精细调整,彻底解决咬合不稳带来的异响问题。
材料不合适,也可能引发响声
除了咬合问题,义齿所使用的材料也是导致响声的一个关键因素。一些低端材料质地较硬,缺乏缓冲性,在咬合过程中容易发生碰撞,进而产生噪音。此外,如果假牙的基托设计不合理,也会加剧这种现象。 在【中老年口腔】,我们选用高品质生物相容性材料,既保证了义齿的耐用性,又提升了佩戴舒适度。通过批量化的高效生产流程,我们能够在短时间内为您提供高质量的义齿产品,真正做到效率与质量兼顾。
为什么我的全口假牙吃东西时会响?
全口假牙在进食时发出响声,通常是因为假牙在咬合过程中发生位移或者撞击。这可能是由于咬合面未调平、假牙边缘过长、或者材料过硬所致。建议前往专业机构进行检查和调磨,以消除异响。
戴假牙说话有声音怎么办?
如果佩戴假牙后说话时有异常响声,说明假牙的适配性存在问题。建议尽快到正规口腔机构复查,医生会通过调整假牙边缘、修整咬合点等方式来改善情况。选择像【中老年口腔】这样专业的平台,可以快速解决问题,提升佩戴体验。
如果你正在经历全口牙镶牙后的响声困扰,别再忍着不说、藏着不用,它完全可以被解决。选择【中老年口腔】,我们用专业的技术、贴心的服务,为您打造一副真正适合您的全口义齿。欢迎留言咨询,了解更多真实用户案例,也欢迎您预约免费口腔检查,开启无响、无忧的咀嚼新生活!
温馨提示:口腔出现问题,需要及时修复,不然会导致问题越来越严重,如果您有这方面的需求,您可以联系我:135XXXXXXXX(点击电话即可复制),或者在下方在线留言。
标签:牙(33467)镶牙(6031)口腔(15918)后(8327)有(13394)中老年(12510)响声(7)为您(1819)全口(796)
上一篇:中老年口腔批量镶牙高效省钱
下一篇:没有了