在面对牙齿缺失问题时,中老年朋友们常常会陷入选择的困惑:是选择烤瓷牙还是全瓷牙?是种牙还是镶牙?这两种修复方式各有优劣,但如何根据自身需求做出最佳选择呢?今天,我们中老年口腔品牌将为您详细解析,帮助您找到最适合的解决方案。

牙齿缺失带来的困扰,如何选择修复方式?
牙齿缺失不仅影响咀嚼功能,还可能导致面部塌陷、发音不清等问题。对于中老年朋友来说,选择一种既舒适又耐用的修复方式尤为重要。烤瓷牙和全瓷牙是常见的修复选择,而种牙和镶牙则代表了不同的修复技术。烤瓷牙价格较低,但美观性较差,且可能因金属内冠导致过敏;全瓷牙则更接近天然牙,但价格较高。种牙通过植入人工牙根,恢复功能和美观,但手术复杂;镶牙则通过固定桥或活动义齿修复,费用较低,但对邻牙有一定影响。
全瓷牙和烤瓷牙的区别是什么?
全瓷牙和烤瓷牙的主要区别在于材料和美观性。全瓷牙采用全瓷材料,无金属内冠,更接近天然牙的颜色和透明度,适合对美观要求较高的患者。而烤瓷牙则由金属内冠和瓷层组成,价格较低,但可能因金属氧化导致牙龈变黑,且舒适度较差。
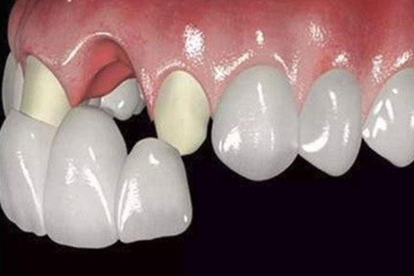
种牙和镶牙有什么不同?
种牙和镶牙是两种不同的修复方式。种牙通过植入人工牙根,恢复牙齿的功能和美观,且不需要磨损邻牙,适合对修复效果要求较高的患者。镶牙则通过固定桥或活动义齿修复,费用较低,但需要磨损邻牙,且舒适度和功能性较差。
如果您是中老年缺牙患者,中老年口腔品牌建议您优先考虑全瓷牙和种牙。全瓷牙不仅美观,还能提供更好的舒适度;而种牙则能恢复牙齿的完整功能,避免对邻牙的损伤。我们中老年口腔品牌专注于为中老年朋友提供高效、舒适的牙齿修复方案,帮助您重拾健康笑容。
温馨提示:口腔出现问题,需要及时修复,不然会导致问题越来越严重,如果您有这方面的需求,您可以联系我:135XXXXXXXX(点击电话即可复制),或者在下方在线留言。
标签:牙(33508)口腔(16185)全瓷(8824)怎么(18178)在(17072)和(8256)烤瓷(6468)选(331)中老年(12847)专(189)
上一篇:镶牙医保能报销吗2023江苏?中老年口腔为您一站式解决缺牙难题
下一篇:没有了