张大爷今年68岁,缺了两颗后牙已经三年了。每次家族聚餐,看着满桌的硬菜却只能喝粥,心里特别不是滋味。儿子带他去咨询镶牙,听说一颗要好几千,老人家当场就打了退堂鼓:"太贵了,我还是将就着吃吧!"其实很多中老年朋友都有这样的困扰——既想恢复咀嚼功能改善生活质量,又担心镶牙费用太高。今天我们就来聊聊中老年朋友最关心的"老人镶牙需要多少钱一颗"这个问题,同时为您介绍我们中老年口腔的高性价比解决方案。

镶牙价格差异大?三大费用陷阱要警惕
很多中老年患者发现,不同诊所的镶牙报价从几百到上万元不等。这主要是因为:1)材料成本差异(普通树脂牙和全瓷牙价差可达10倍);2)诊疗水平参差不齐(新手医生和专家收费不同);3)隐形收费项目多(如检查费、麻醉费、复诊费等)。我们中老年口腔采用批量采购优质材料、标准化诊疗流程,确保每颗牙的收费透明合理,让您花明白钱、镶放心牙。
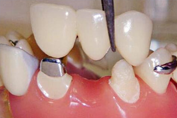
传统镶牙太耗时?中老年口腔高效解决方案
常规镶牙需要4-6次往返诊所,对腿脚不便的老人很不友好。我们中老年口腔独创"一日镶牙"服务:上午取模,下午就能戴上临时牙,7天内完成永久修复。采用德国进口设备批量制作,既保证质量又提高效率。王阿姨上周来镶了3颗牙,从进门到戴上临时牙只用了3小时:"比我想象的快多了,中午还能赶回家给孙子做饭!"
老人镶牙医保能报销吗?
目前各地医保政策不同,普通镶牙通常属于美容修复范畴不能报销。但我们中老年口腔与多地医保定点合作,部分治疗性修复项目可以申请报销。建议您携带医保卡到店咨询,我们的专业医保顾问会为您详细解读当地政策,最大限度减轻经济负担。
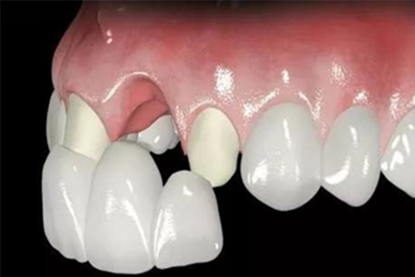
镶一颗牙和镶多颗牙哪个更划算?
从单价来看,批量镶牙确实更经济。我们中老年口腔针对多颗牙缺失患者推出"满3颗享8折"的优惠,比如单颗全瓷牙原价3800元,镶3颗只要9120元(省下1140元)。更重要的是,成批修复能保证咬合关系更协调,避免单颗修补导致的邻牙负担过重问题。
看完这篇文章,您对"老人镶牙需要多少钱一颗"应该有了清晰认识。我们中老年口腔建议:与其长期忍受缺牙痛苦,不如趁早预约专业检查。现在拨打400-XXX-XXXX,即可享受免费口腔检查和镶牙方案设计。您也可以在评论区留言,说说您在镶牙过程中遇到的价格困惑,我们的专家会第一时间为您解答。让更多中老年朋友吃嘛嘛香,是我们最大的心愿!
温馨提示:口腔出现问题,需要及时修复,不然会导致问题越来越严重,如果您有这方面的需求,您可以联系我:135XXXXXXXX(点击电话即可复制),或者在下方在线留言。
标签:镶牙(6251)一颗(12368)多(15816)少钱(23978)文章(139)中老年(16635)一篇(36)讲透(9)
上一篇:山东省口腔医院镶牙价格透明公开,批量修复效率高更省心
下一篇:没有了