尽管没有任何事物可协调复制自然牙齿的感觉,但现代的义齿技术现已十分领先,为用户提供了相当接近自然的体验和外表。那么义齿的定义和特点是什么?接下来小编就带您一块去了解一下

戴固定义齿出现牙龈炎怎么办
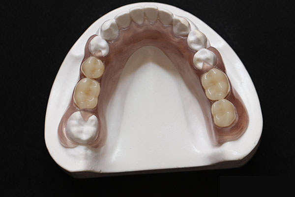
固定义齿修复是在缺失牙处直接粘接固定一种或多种人工牙冠以恢复咀嚼功能和美观的修复方式。
固定义齿修复是通过将人造牙齿与真牙连接在一起的方式,来替代缺失的牙齿。该技术利用假牙与周围真牙之间的黏结力,达到长期稳定的效果。固定义齿修复后可能出现不适感、食物嵌塞、龈缘炎等不适症状。
可通过临床检查、X线检查以及模型分析等方式对患者口腔进行全面评估。固定义齿修复通常包括基牙预备、取模、制作义齿支架、试戴调整和最终粘接等多个步骤。
在接受固定义齿修复时,应避免咬硬物,定期复查,保持良好的口腔卫生习惯,以确保修复效果和长期使用。
微创种植牙能够保持多久
微创种植牙的寿命,一般在10~20年之间,甚至更久。微创种植牙是通过微创手术的方法,将种植体植入到牙槽窝内,然后进行上面牙冠的修复。微创种植牙的保持时间,与个人维护有关。患者在进行种植牙之后,建议每天早晚坚持刷牙,定期使用牙线和漱口水清洁牙缝、牙齿,定期到口腔科复诊,查看种植牙情况,这些都是维护种植牙的关键。部分患者进行种植牙之后是可以终身使用,所以种植牙的寿命没有具体的数值,尽量减少牙龈、牙床的损耗,可以延长种植牙的寿命。
固定义齿和种植牙的区别
固定义齿修复是在缺失牙处直接粘接固定一种或多种人工牙冠以恢复咀嚼功能和美观的修复方式。
固定义齿修复是通过将人造牙齿与真牙连接在一起的方式,来替代缺失的牙齿。该技术利用假牙与周围真牙之间的黏结力,达到长期稳定的效果。固定义齿修复后可能出现不适感、食物嵌塞、龈缘炎等不适症状。
可通过临床检查、X线检查以及模型分析等方式对患者口腔进行全面评估。固定义齿修复通常包括基牙预备、取模、制作义齿支架、试戴调整和最终粘接等多个步骤。
在接受固定义齿修复时,应避免咬硬物,定期复查,保持良好的口腔卫生习惯,以确保修复效果和长期使用。
种植牙后多久可以刷牙
做种植牙后24小时之后就可以刷牙,但刚开始时要避免刷手术部位,以免影响伤口愈合。种植牙在目前比较流行,能够有效修复缺失的牙齿,比较美观,也很坚固耐用。但种植有创伤,需要一定的时间才能恢复,恢复期间一定要做好保养,术后24小时之内不能刷牙漱口,两小时之内不能吃东西,以免产生不良影响。
什么叫固定义齿修复
固定义齿修复是在缺失牙处直接粘接固定一种或多种人工牙冠以恢复咀嚼功能和美观的修复方式。
固定义齿修复是通过将人造牙齿与真牙连接在一起的方式,来替代缺失的牙齿。该技术利用假牙与周围真牙之间的黏结力,达到长期稳定的效果。固定义齿修复后可能出现不适感、食物嵌塞、龈缘炎等不适症状。
可通过临床检查、X线检查以及模型分析等方式对患者口腔进行全面评估。固定义齿修复通常包括基牙预备、取模、制作义齿支架、试戴调整和最终粘接等多个步骤。
在接受固定义齿修复时,应避免咬硬物,定期复查,保持良好的口腔卫生习惯,以确保修复效果和长期使用。
不戴假牙还将影响口腔的美观,特别是前牙缺失,会给人带来自卑感,影响社交活动,甚至影响工作和生活。健康的咀嚼相对于维护整个口腔的健康至关关键。缺失牙齿会导致剩余牙齿的移位,进而影响咀嚼关系,乃至可能导致颌面疼痛和颞下颌关节紊乱。使用义齿可以有效降低这方面问题,保护口腔健康。相关阅读:全瓷牙齿和烤瓷牙齿哪个好一点呢
阅读完上文,想必您都对义齿的定义和特点是什么有了一定的了解,预防牙齿脱落需要综合思考多种原因。除了以上提到的方法外,还应留意牙齿的生长发育、保健和修复等方面。惟有从多方面入手,才能有效预防牙齿脱落。更多义齿修复问题请进入下方在线咨询。
温馨提示:口腔出现问题,需要及时修复,不然会导致问题越来越严重,如果您有这方面的需求,您可以联系我:135XXXXXXXX(点击电话即可复制),或者在下方在线留言。
标签:的(43573)呢(12993)尽管(2348)是什么(9586)没有(323)义齿(6660)特点(281)定(23)义和(23)