选择适当的义齿对口腔患者而言至关关键,由于这不仅关系到日常饮食和交流无围墙,更影响到长时间的口腔健康和整体幸福感。那么义齿的材质?下面中老年口腔的小编就带大家一起去了解一下

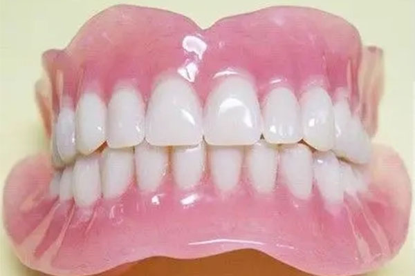
老年人满口义齿用什么材质好
天疱疮不传染,因为天疱疮是没有病原体的。天疱疮是由于自身机体免疫紊乱,因为自身机体免疫低下所以出现上述症状。因为此类疾病并没有病原体,所以是不会导致传染的。
种植牙是怎么回事
种植牙为牙齿三大修复方式之一,其它两种分别为活动牙、固定牙。种植牙由人工种植体和上部结构组成,即人工牙根和人工牙冠。人工牙根主要材料为纯钛,形状为牙根状,也有柱状、锥状、叶状等,不同形状对后期种植成功率影响不同。人工牙冠与普通烤瓷牙和全瓷牙相同,可选择不同材料。植入过程为局部麻醉下将种植体植入牙根部位,3-4个月后进行上部牙冠修复。建议患者修复后定期复诊,以提高种植成功率。
全口义齿材质有哪些种
天疱疮不传染,因为天疱疮是没有病原体的。天疱疮是由于自身机体免疫紊乱,因为自身机体免疫低下所以出现上述症状。因为此类疾病并没有病原体,所以是不会导致传染的。
烤瓷牙进口和国产的区别
烤瓷牙进口、国产区别,主要有三点:
第一、进口烤瓷牙对光的通透性比较好,立体感比较强,和真牙颜色比较相像。
第二、进口烤瓷牙硬度比较高,受外力作用不容易发生崩裂。
第三、进口烤瓷牙修复后不容易刺激牙龈引起牙龈炎、牙龈萎缩影响美观,但是进口烤瓷牙一般价格比较昂贵。
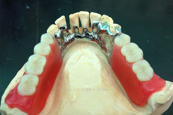
目前最好的活动义齿是什么材质
天疱疮不传染,因为天疱疮是没有病原体的。天疱疮是由于自身机体免疫紊乱,因为自身机体免疫低下所以出现上述症状。因为此类疾病并没有病原体,所以是不会导致传染的。
不戴假牙很有可能影响个人的心理状态。牙齿缺失会造成个人对自己的外貌感到不满,形成自卑、焦虑等负面情绪。这种心理状态可能会影响到个人的交际、工作和平常生活。在一点特殊情况下,如牙齿受到严重伤害无法修复时,义齿几乎是唯一的选择。它不仅能够恢复咀嚼功能,还能保护剩余的健康牙齿不受额外的压力。您可能还想了解:吸附式义齿优缺点揭秘:中老年口腔批量修复技术让缺牙不再影响吃饭说话
通过上文,想必大家都对义齿的材质有了一定的了解,相对于老人而言,由于岁数增加使得的牙槽骨密度减少是一个挑战。补充钙和维生素D,以及实行适当的体育锻炼,可以帮助维护骨骼健康,从而支持牙齿。有关义齿修复问题,请打开下方在线客服了解。
温馨提示:口腔出现问题,需要及时修复,不然会导致问题越来越严重,如果您有这方面的需求,您可以联系我:135XXXXXXXX(点击电话即可复制),或者在下方在线留言。
标签:的(44291)有(13048)几种(640)义齿(6878)选择(1488)材质(744)对(2290)适当(34)