随着年龄的增长,牙齿问题逐渐成为中老年人关注的重点。镶固定义齿作为一种有效的牙齿修复方式,不仅能够恢复牙齿的功能,还能提升整体的口腔美观。然而,许多人对镶固定义齿的过程感到陌生甚至担忧。今天,我们将详细解读镶固定义齿的全过程,帮助您更好地了解这一技术,同时为您推荐中老年口腔的专业解决方案,让您的镶牙体验更加轻松、高效。

镶固定义齿前的准备:如何确保修复效果
镶固定义齿的第一步是进行全面的口腔检查。中老年口腔的专业医生会通过X光片、口腔扫描等技术,了解您的牙齿状况和牙龈健康。这一步至关重要,因为它决定了修复方案的可行性。如果您有牙周病或其他口腔问题,医生会先进行治疗,确保镶牙过程顺利。此外,医生还会根据您的咬合情况和面部特征,设计出最适合您的义齿形状和大小,确保修复后的牙齿既美观又舒适。
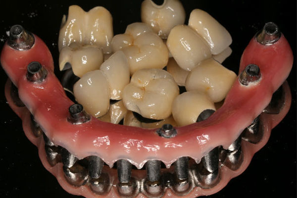
镶固定义齿的过程:高效与精准的结合
镶固定义齿的过程通常分为几个步骤。首先是取模,医生会使用专业的设备为您的口腔取印模,这是制作义齿的基础。接下来是义齿的制作,中老年口腔采用先进的数字化技术,确保义齿的精准度和舒适度。最后是安装和调整,医生会将义齿安装到您的口腔中,并根据您的反馈进行微调,确保咬合和佩戴效果最佳。整个过程高效且精准,让您在短时间内恢复牙齿功能。
问:镶固定义齿适合中老年人吗?
镶固定义齿非常适合中老年人,尤其是那些牙齿缺失较多的人群。它不仅能够恢复咀嚼功能,还能改善发音和面部外观。中老年口腔的专业团队会根据您的具体情况,量身定制最适合的修复方案,确保您获得最佳的镶牙体验。
问:镶固定义齿的过程需要多长时间?
镶固定义齿的过程通常需要几天到一周的时间。具体时间取决于您的口腔状况和修复需求。中老年口腔采用高效的数字化技术,能够大幅缩短制作和安装时间,让您尽快恢复正常的口腔功能。
如果您正在为牙齿缺失问题困扰,不妨考虑中老年口腔的镶固定义齿服务。我们的专业团队将全程为您保驾护航,确保修复过程顺利且效果显著。欢迎在评论区留言或私信咨询,了解更多关于镶固定义齿的信息,让我们一起守护您的口腔健康!
温馨提示:口腔出现问题,需要及时修复,不然会导致问题越来越严重,如果您有这方面的需求,您可以联系我:135XXXXXXXX(点击电话即可复制),或者在下方在线留言。
标签:口腔(8643)齿(3047)全过程(255)定义(221)解析(109)中老年(3793)轻松(84)镶固(1)
上一篇:中老年口腔专家揭秘:固定义齿VS活动义齿,哪种更适合牙齿缺失的你?
下一篇:没有了