牙齿缺失是中老年人常见的问题,不仅影响咀嚼功能,还可能影响发音和面部美观。如果您正在为缺牙问题烦恼,那么活动义齿可能是一个值得考虑的解决方案。活动义齿是一种可摘戴的假牙,能够帮助您恢复牙齿功能和笑容自信。但您是否好奇过活动义齿到底是什么样子的?它是否适合您的需求?今天,我们就来详细解答这些问题,带您了解活动义齿的特点以及中老年口腔品牌如何帮助您轻松解决缺牙困扰。
?
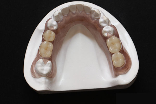
活动义齿的外观:自然美观,舒适佩戴
活动义齿的外观设计非常注重自然和美观。它通常由金属支架和树脂牙面组成,树脂牙面的颜色和形状可以与您的天然牙齿高度匹配,确保佩戴后几乎看不出与真牙的区别。中老年口腔品牌在设计活动义齿时,特别考虑到中老年人的口腔结构特点,采用高精度定制技术,让义齿更加贴合您的牙龈和口腔,佩戴舒适无异物感。
活动义齿的使用场景:解决缺牙带来的困扰
对于中老年人来说,缺牙不仅影响饮食,还可能导致发音不清和面部凹陷。活动义齿能够有效解决这些问题。例如,如果您因为缺牙无法咀嚼硬质食物,活动义齿可以帮助您恢复正常的咀嚼功能,让饮食更加丰富多样。中老年口腔品牌还提供多种类型的活动义齿,包括单颗、多颗和全口义齿,满足不同患者的需求。
活动义齿的使用寿命有多长?
活动义齿的使用寿命通常在5到8年左右,具体取决于您的使用习惯和口腔护理情况。中老年口腔品牌采用高品质材料和精湛工艺,确保义齿的耐用性和稳定性。定期检查和维护可以延长义齿的使用寿命,让您的笑容更加长久。
活动义齿的价格贵吗?
活动义齿的价格因材料和设计复杂度而有所不同。中老年口腔品牌提供多种价位的产品,满足不同预算的需求。相比固定修复,活动义齿的价格更加亲民,同时修复效率更高,适合需要快速恢复牙齿功能的患者。
如果您正在为缺牙问题困扰,不妨考虑中老年口腔品牌的活动义齿。我们专注于为中老年缺牙患者提供高效、舒适的解决方案,让您的生活更加轻松自在。欢迎留言或咨询,了解更多关于活动义齿的信息,让我们一起守护您的健康笑容!
温馨提示:口腔出现问题,需要及时修复,不然会导致问题越来越严重,如果您有这方面的需求,您可以联系我:135XXXXXXXX(点击电话即可复制),或者在下方在线留言。
标签:活动(2788)义齿(6722)口腔(8666)是什么(9652)样子(364)中老年(3819)为您(544)
上一篇:缺牙不用愁!吸附性全口义齿批量修复,中老年口腔让吃饭说话更轻松
下一篇:没有了