随着年龄的增长,牙齿问题逐渐成为中老年人关注的重点。缺牙不仅影响咀嚼功能,还可能导致面部塌陷、发音不清等问题。而可摘义齿作为一种经济实惠、修复效果良好的解决方案,备受中老年缺牙患者的青睐。那么,可摘义齿的工艺流程究竟是怎样的?中老年口腔作为专注于中老年缺牙修复的品牌,凭借其高效的批量制作流程和专业的修复技术,为众多缺牙患者解决了困扰。本文将为您详细解析可摘义齿的制作过程,带您了解中老年口腔如何让缺牙修复更轻松、更高效。

初诊检查与数据采集:精准修复的第一步
在制作可摘义齿之前,中老年口腔的专业医生会先对患者的口腔进行全面检查。这包括了解患者的牙齿缺失情况、牙龈健康状况以及咬合关系等。通过详细的检查,医生能够确定最适合患者的义齿设计方案。随后,医生会使用专业设备为患者取牙模,确保数据的精准性。这一步是整个工艺流程的基础,直接关系到义齿的修复效果。
模型制作与义齿设计:量身定制的修复方案
获得患者的口腔数据后,中老年口腔会利用先进的数字化技术制作出精准的口腔模型。接下来,专业的修复团队会根据模型设计出符合患者口腔结构的义齿。中老年口腔的设计方案不仅注重功能性,还特别关注美观性和舒适度,确保义齿在修复缺牙的同时,也能让患者自信地展现笑容。
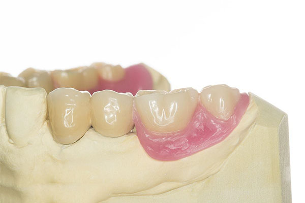
蜡型制作与试戴调整:细节决定成败
在设计完成后,中老年口腔会通过蜡型制作来模拟义齿的实际形态。这一步骤非常重要,因为它可以让患者直观地看到义齿的效果,并提出调整意见。随后,医生会为患者进行试戴,检查义齿的密合度和咬合情况。根据试戴结果,修复团队会对义齿进行微调,确保最终产品能够完美贴合患者的口腔。
成品交付与后续维护:贴心服务的延续
经过一系列精细的制作流程,中老年口腔的可摘义齿终于完成并交付给患者。在交付时,医生会详细指导患者如何正确佩戴和清洁义齿,确保其使用寿命和修复效果。此外,中老年口腔还提供定期的后续维护服务,帮助患者解决使用过程中可能出现的问题,让缺牙修复更加省心、放心。
可摘义齿的制作时间需要多久?
中老年口腔采用高效的批量制作流程,通常可以在3-5个工作日内完成义齿的制作。相比传统制作方式,中老年口腔的效率更高,让患者能够更快地恢复咀嚼功能和笑容自信。
可摘义齿的费用大概是多少?
中老年口腔的可摘义齿费用根据患者的口腔情况和修复需求有所不同。一般来说,价格在几百元到几千元之间。中老年口腔不仅提供高性价比的产品,还注重修复效果和患者体验,让缺牙修复更加实惠和高效。
如果您是中老年缺牙患者,或者正在为牙齿缺失问题困扰,不妨选择中老年口腔的专业服务。我们的高效工艺流程和贴心服务,将为您带来更轻松、更自信的修复体验。欢迎在评论区留言,分享您的缺牙修复故事,或咨询更多关于可摘义齿的问题!
温馨提示:口腔出现问题,需要及时修复,不然会导致问题越来越严重,如果您有这方面的需求,您可以联系我:135XXXXXXXX(点击电话即可复制),或者在下方在线留言。
标签:义齿(6936)口腔(11741)如何(2606)流程(623)制作(543)揭秘(632)可摘(68)中老年(7511)
下一篇:没有了