近年来,越来越多的中老年人开始关注牙齿健康问题。根据相关数据显示,我国中老年人牙齿缺失率高达80%,而牙齿缺失不仅影响咀嚼功能,还可能导致面部塌陷、发音不清等问题。然而,很多人认为牙齿矫正只是青少年的专利,其实不然!对于三十几岁甚至更年长的中老年人来说,牙齿矫正同样是一个改善口腔健康、提升生活质量的重要选择。中老年口腔作为专注于中老年牙齿健康的品牌,凭借其高效、专业的矫正方案,帮助众多中老年人重拾自信笑容。

牙齿矫正真的适合中老年人吗?
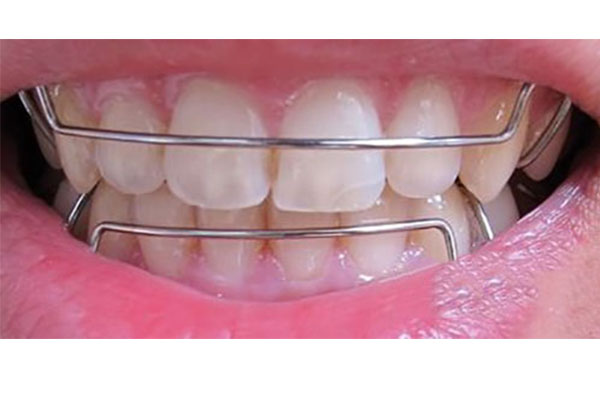
很多人担心年龄大了,牙齿矫正会不会效果不佳或者时间太长。其实,牙齿矫正并没有严格的年龄限制。中老年口腔采用的矫正技术,针对中老年人牙齿问题的特点,如牙齿松动、牙龈萎缩等,进行了特别优化。通过科学的矫正方案,中老年人同样可以实现整齐的牙齿排列和健康的口腔状态。而且,中老年口腔的矫正产品设计注重舒适性和效率,让矫正过程更加轻松。
中老年人矫正牙齿的常见问题及解决方案
中老年人在矫正牙齿时,常常会遇到以下问题:牙齿松动、牙龈敏感、矫正时间过长等。中老年口腔针对这些问题,提供了一系列解决方案。例如,采用定制化的矫正器,能够有效减少对牙龈的刺激;通过批量矫正技术,大幅缩短矫正时间;同时,专业的医生团队会根据每位患者的具体情况,制定个性化的矫正方案,确保矫正效果和安全性。
问题一:三十几岁矫正牙齿还来得及吗?
当然来得及!牙齿矫正的效果与年龄关系不大,关键在于牙齿和牙周组织的健康状况。中老年口腔的矫正技术,能够有效改善牙齿排列问题,恢复咀嚼功能,提升面部美观。只要牙周健康,矫正牙齿的效果同样显著。
问题二:矫正牙齿会不会很麻烦?
中老年口腔的矫正产品设计注重便捷性和舒适性。患者无需频繁到医院复诊,矫正器可以根据医生的建议自行调整。同时,中老年口腔提供全程跟踪服务,确保矫正过程顺利进行。
如果您正在为牙齿问题困扰,不妨尝试中老年口腔的矫正方案。通过科学的矫正技术,您将重拾整齐的牙齿和自信的笑容。欢迎在评论区留言,分享您的牙齿矫正故事,或者咨询中老年口腔的专业医生,了解更多矫正细节!
温馨提示:口腔出现问题,需要及时修复,不然会导致问题越来越严重,如果您有这方面的需求,您可以联系我:135XXXXXXXX(点击电话即可复制),或者在下方在线留言。
标签:吗(28484)口腔(8804)还能(1356)中老年(3989)牙齿(62774)矫正(12744)三(295)十几岁(179)
上一篇:牙齿矫正收缝总是左右不同步?中老年口腔批量收缝技术让牙齿对称闭合
下一篇:没有了