在实行牙齿美白以前,了解自己的牙齿是否适合这一程序是十分重要的。一些情况下,如牙齿存在缺陷或牙周病,可能需要先实行诊治才可以实行美白。那么如何把牙齿美白?下面中老年口腔的小编就带大家一同去了解一下

牙齿美白凝胶有效果吗
牙齿美白后牙齿酸痛可以应用脱敏牙膏、激光脱敏治疗、超声波洁牙、龈下刮治、龈瓣翻瓣术等方法来缓解。如果牙齿敏感症状持续不缓解或伴有其他不适,建议及时就医以获得专业治疗。
1.应用脱敏牙膏
应用脱敏牙膏可以减少牙齿敏感性,缓解牙齿酸痛。患者在刷牙时可将适量脱敏牙膏涂抹于患处,并轻柔地按摩。此方法适合因牙齿表面损伤导致的轻微疼痛症状。
2.激光脱敏治疗
激光脱敏治疗通过特定波长的激光照射受损区域来封闭神经通道,从而减轻或消除牙齿酸痛。治疗过程通常在门诊完成。该方法适用于因冷热刺激引起的一过性牙齿敏感。
3.超声波洁牙
超声波洁牙利用高频振动清除牙菌斑及软垢,改善口腔卫生状况,缓解牙齿不适。治疗时间依个体差异而定。针对存在大量牙结石引起的长期、持续性牙齿敏感有效。
4.龈下刮治
龈下刮治是去除位于牙龈下方深层菌斑和结石的一种深度清洁技术,能减少细菌产酸量,缓解由深龋等原因造成的牙齿酸痛。刮治可能需要分几次进行。此方法适合有深龋或其他原因导致的慢性牙齿敏感者。
5.龈瓣翻瓣术
龈瓣翻瓣术是一种手术方式,通过翻开覆盖在牙根上的软组织,暴露并处理感染或敏感的牙周组织,以达到治疗目的。手术时间根据具体情况而异。对于严重的牙周病或伴有牙龈退缩等引起的顽固性牙齿酸痛效果较好。
在使用任何牙齿美白产品前,应确保牙齿健康,无龋齿等问题。如牙齿酸痛持续不缓解,应及时就医,以便进行适当的诊断和治疗。
前牙贴面要磨损牙齿吗
前牙贴面分两种,一种是树脂贴面,一种是瓷贴面。树脂贴面是可以不进行牙面的磨损和预备,树脂贴面是通过最微创的方法,在牙齿表面修复缺损或轻度四环素牙、氟斑牙等,通过树脂贴面来恢复牙齿的外形和颜色;前牙瓷贴面是需要进行少量的牙齿磨除,需要磨除牙釉质的厚度,大约为0.3-0.5mm。预备过程是停留在牙釉质表层,磨除量非常小,患者在就诊过程中也不会有不适感。前牙瓷贴面牙面磨除0.3-0.5mm后,医生会制作临时修复贴面进行对牙面的保护,患者回家之后不会感到有任何不适,同时也可以达到一定美观恢复效果。
用食用盐刷牙可以美白牙齿吗
牙齿美白后牙齿酸痛可以应用脱敏牙膏、激光脱敏治疗、超声波洁牙、龈下刮治、龈瓣翻瓣术等方法来缓解。如果牙齿敏感症状持续不缓解或伴有其他不适,建议及时就医以获得专业治疗。
1.应用脱敏牙膏
应用脱敏牙膏可以减少牙齿敏感性,缓解牙齿酸痛。患者在刷牙时可将适量脱敏牙膏涂抹于患处,并轻柔地按摩。此方法适合因牙齿表面损伤导致的轻微疼痛症状。
2.激光脱敏治疗
激光脱敏治疗通过特定波长的激光照射受损区域来封闭神经通道,从而减轻或消除牙齿酸痛。治疗过程通常在门诊完成。该方法适用于因冷热刺激引起的一过性牙齿敏感。
3.超声波洁牙
超声波洁牙利用高频振动清除牙菌斑及软垢,改善口腔卫生状况,缓解牙齿不适。治疗时间依个体差异而定。针对存在大量牙结石引起的长期、持续性牙齿敏感有效。
4.龈下刮治
龈下刮治是去除位于牙龈下方深层菌斑和结石的一种深度清洁技术,能减少细菌产酸量,缓解由深龋等原因造成的牙齿酸痛。刮治可能需要分几次进行。此方法适合有深龋或其他原因导致的慢性牙齿敏感者。
5.龈瓣翻瓣术
龈瓣翻瓣术是一种手术方式,通过翻开覆盖在牙根上的软组织,暴露并处理感染或敏感的牙周组织,以达到治疗目的。手术时间根据具体情况而异。对于严重的牙周病或伴有牙龈退缩等引起的顽固性牙齿酸痛效果较好。
在使用任何牙齿美白产品前,应确保牙齿健康,无龋齿等问题。如牙齿酸痛持续不缓解,应及时就医,以便进行适当的诊断和治疗。
儿童牙龈发黑怎么回事
通常的情况下就是人们的牙齿是白色,牙龈是红色,也就是我们所说的红白美学。但是很多人也会出现一些牙龈的发黑,也有一些儿童的牙龈也会出现这种情况。大部分的牙龈发黑是由于色素沉着造成的,也就是说有时过多的使用一些带有食物色素的食物,比如喝碳酸饮料可乐之类的过多。当然这种情况我们不需要治疗,要注意口腔卫生的清洁,同时要养成勤刷牙多漱口的好习惯。还有一种情况就是有可能是有牙齿的龋坏造成的,这样的话又要想治疗,我们就得去专门去儿牙医生那里去进行治疗。同时还有最后一种特殊的情况,就是有一些儿童会有一些叫重金属中毒,它引起一个叫牙龈的色素沉着,这个必须得要去专业医生就诊。最后为了牙齿的健康,我们就是少服用一些带有色素类的食物,然后多吃一些瓜果蔬菜,对牙齿还是有很多益处的。
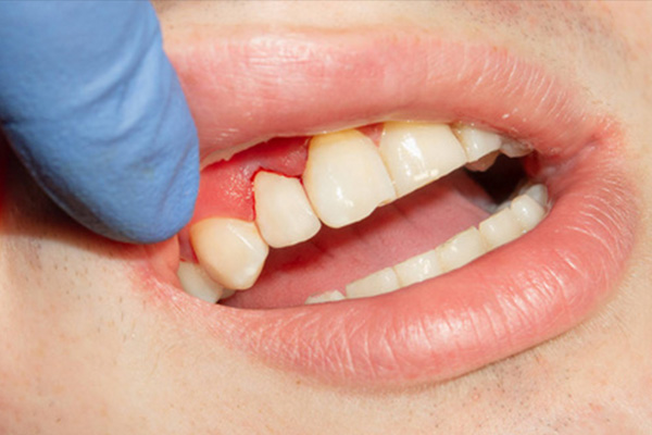
牙齿美白后牙齿酸痛怎么办
牙齿美白后牙齿酸痛可以应用脱敏牙膏、激光脱敏治疗、超声波洁牙、龈下刮治、龈瓣翻瓣术等方法来缓解。如果牙齿敏感症状持续不缓解或伴有其他不适,建议及时就医以获得专业治疗。
1.应用脱敏牙膏
应用脱敏牙膏可以减少牙齿敏感性,缓解牙齿酸痛。患者在刷牙时可将适量脱敏牙膏涂抹于患处,并轻柔地按摩。此方法适合因牙齿表面损伤导致的轻微疼痛症状。
2.激光脱敏治疗
激光脱敏治疗通过特定波长的激光照射受损区域来封闭神经通道,从而减轻或消除牙齿酸痛。治疗过程通常在门诊完成。该方法适用于因冷热刺激引起的一过性牙齿敏感。
3.超声波洁牙
超声波洁牙利用高频振动清除牙菌斑及软垢,改善口腔卫生状况,缓解牙齿不适。治疗时间依个体差异而定。针对存在大量牙结石引起的长期、持续性牙齿敏感有效。
4.龈下刮治
龈下刮治是去除位于牙龈下方深层菌斑和结石的一种深度清洁技术,能减少细菌产酸量,缓解由深龋等原因造成的牙齿酸痛。刮治可能需要分几次进行。此方法适合有深龋或其他原因导致的慢性牙齿敏感者。
5.龈瓣翻瓣术
龈瓣翻瓣术是一种手术方式,通过翻开覆盖在牙根上的软组织,暴露并处理感染或敏感的牙周组织,以达到治疗目的。手术时间根据具体情况而异。对于严重的牙周病或伴有牙龈退缩等引起的顽固性牙齿酸痛效果较好。
在使用任何牙齿美白产品前,应确保牙齿健康,无龋齿等问题。如牙齿酸痛持续不缓解,应及时就医,以便进行适当的诊断和治疗。
牙齿色泽不好有很大的可能影响口腔健康。牙齿表面的牙菌斑和色素沉积不只是影响美观,有很大的可能成为细菌滋生的温床,增加口腔问题的风险。牙齿美白也是个人自我提升的一种方式。通过美白牙齿,可以让自己在形象上更加完美,展现出更加积极、自信的一面。这种自我提升不仅能够增强个人的自信心和自尊心,还能够激发个人在生活和工作中的潜力。相关推荐:小苏打美白牙齿的正确方式是什么意思
阅读完上文,想必您都对如何把牙齿美白有了一定的了解,市面上有许很多家用牙齿美白产品,如美白牙膏、美白贴片等,它们通常含有轻度漂白剂,可以在家中便捷地实行牙齿美白。更多牙齿美白问题请咨询下方在线客服。
温馨提示:口腔出现问题,需要及时修复,不然会导致问题越来越严重,如果您有这方面的需求,您可以联系我:135XXXXXXXX(点击电话即可复制),或者在下方在线留言。
标签:牙齿(62210)在(16707)如何(2329)实行(329)把(195)美白(5117)去掉(404)