牙齿缺失是一种普遍的口腔问题,可能由多种因素引起,包含龋病、外伤、磨损或长时间咀嚼压力等。这种状态不仅影响患者的外表和自信心,有很大的可能对其咬合实力和语言功能形成负面影响。那么门牙缺损一小块不处理可以么?接下来小编就带大家一起去了解一下

门牙牙齿缺损一小块怎么修复
门牙牙齿缺损一小块,可以通过饮食调理、药物治疗、激光治疗、修复治疗等方式进行处理,以免加重病情。
牙体缺损过多怎么补
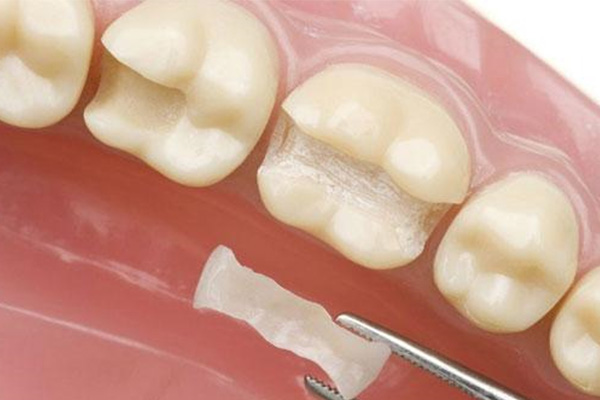
如果牙体缺损比较少则可以直接进行充填,即补牙。如果牙体缺损比较多,通过补牙的方式,固位和稳定性可能不好,牙体缺损比较多时可以进行修复治疗,修复时可以做嵌体修复,也可以进行全冠修复,目前全冠修复有烤瓷冠、全瓷冠,牙冠大部分缺损的患者,可以进行桩核修复,对于前牙如果缺损比较大,可以进行贴面修复,前牙贴面修复缺损的效果比较好,比较美观,而且坚固耐用,因此,如果牙体缺损的面积比较大,可以通过这几种方式进行修复。
门牙缺损一小块怎么修复
门牙牙齿缺损一小块,可以通过饮食调理、药物治疗、激光治疗、修复治疗等方式进行处理,以免加重病情。
年轻恒牙釉质裂纹和冠折如何治疗
釉质裂纹主要是釉质在受到重力作用下,出现裂痕。仅仅是釉质裂纹,没有组织缺损,如果影响美观,担心有色素沉着,可以对其进行涂抹药物,封闭裂纹。如果没影响可以观察,不一定非要进行釉质裂纹治疗。如果釉质折断以后,根据情况,如果折断面比较粗糙,会对软组织损伤,可进行调磨,如果已经影响美观,可进行树脂修复。如果没有影响美观,也不刺激软组织,可以采取观察。
门牙牙齿缺损一小块怎么修复
门牙牙齿缺损一小块,可以通过饮食调理、药物治疗、激光治疗、修复治疗等方式进行处理,以免加重病情。
牙齿缺损还会影响口腔的咀嚼关系。牙齿缺损会导致咀嚼不正,使得上下牙齿不能正常接触,进而影响口腔的舒服度和功能。牙齿缺失修复也是对口腔美学的一种追求。在现代社会,人们越来越注重个人形象和美观度。一口平整、美观的牙齿无疑是对个人形象的一种提升。通过修复缺失的牙齿,可以让人具备更加协调的笑容,展现个人的魅力和风采。有关阅读:牙齿缺损修补技术修复多少钱
浏览本文,想必各位都对门牙缺损一小块不处理可以么有了一定的了解,牙齿外伤是造成牙齿缺损的常见原因。在平时生活中,应注意防止摔倒、碰撞等可能造成牙齿受伤的情况。而且,参加运动时,应佩戴合适的护具,以减少牙齿受伤的可能。更多牙齿缺损修复问题请了解下方在线咨询。
温馨提示:口腔出现问题,需要及时修复,不然会导致问题越来越严重,如果您有这方面的需求,您可以联系我:135XXXXXXXX(点击电话即可复制),或者在下方在线留言。
标签:不(4410)一(2119)可以(8253)牙齿(62210)么(515)门牙(1922)处理(1122)小块(578)缺损(3948)