牙齿脱落再植,是许多中老年朋友关注的问题。随着年龄增长,牙齿问题逐渐增多,尤其是牙齿脱落,不仅影响咀嚼功能,还可能导致面部塌陷,影响美观和自信心。那么,牙齿脱落再植后多久能恢复到正常状态呢?这个问题的答案因人而异,但通过科学的治疗和专业的护理,中老年朋友完全可以重拾一口健康好牙。中老年口腔作为专注于中老年牙齿问题的品牌,提供高效、安全的再植解决方案,帮助您快速恢复牙齿功能,享受美味生活。

牙齿脱落再植的常见问题与解决方案
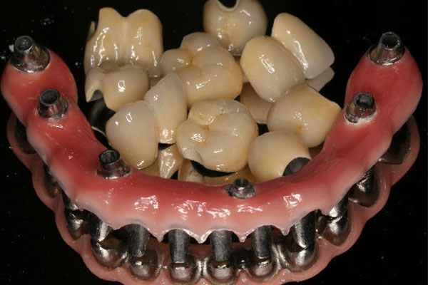
牙齿脱落再植手术后,恢复时间主要取决于种植体与牙槽骨的结合情况。一般来说,种植牙需要3-6个月的愈合期,但中老年口腔采用的先进种植技术,可以将恢复时间缩短至2-3个月。此外,中老年口腔注重术后护理,提供个性化的恢复方案,确保您的牙齿尽快恢复到正常状态。
为什么选择中老年口腔?
中老年口腔专注于中老年群体的牙齿问题,拥有丰富的临床经验和专业的医疗团队。我们的种植牙技术不仅高效,还能根据您的牙槽骨情况量身定制,确保手术的成功率和舒适度。无论是单颗种植还是多颗种植,中老年口腔都能为您提供最佳的解决方案,让您重获健康牙齿。
牙齿脱落再植后多久能恢复咀嚼功能?
牙齿脱落再植后,恢复咀嚼功能的时间因人而异。通常情况下,种植牙需要3-6个月的愈合期,但中老年口腔采用的快速种植技术,可以让您在2-3个月内恢复咀嚼功能。术后我们会提供详细的护理指导,帮助您更快恢复。
中老年口腔的种植牙有哪些优势?
中老年口腔的种植牙技术具有以下优势:首先,我们的种植体采用国际先进材料,确保与牙槽骨的良好结合;其次,手术过程微创,恢复时间短,适合中老年朋友的身体状况;最后,我们提供终身售后服务,确保您的种植牙长期稳定。
如果您正在为牙齿脱落问题烦恼,不妨咨询中老年口腔的专业医生,了解更多关于牙齿脱落再植的详细信息。让我们一起,帮助您重获健康牙齿,享受美味生活!
温馨提示:口腔出现问题,需要及时修复,不然会导致问题越来越严重,如果您有这方面的需求,您可以联系我:135XXXXXXXX(点击电话即可复制),或者在下方在线留言。
标签:口腔(15813)能(4863)恢复(2037)中老年(12385)多久(7269)牙齿(65192)脱落(2611)再植(5)
下一篇:没有了