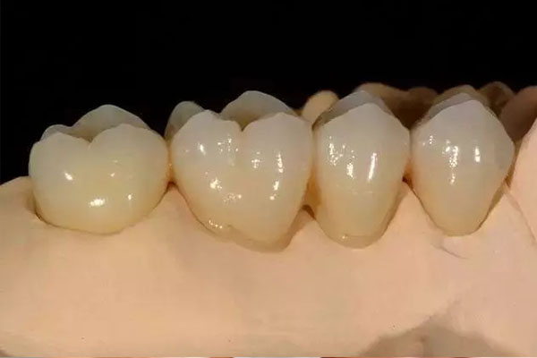
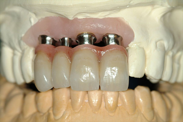
接着,口腔医生会实行精确的口腔印模,以获取顾客口腔结构的数据,为定制化的牙冠制造提供准确的参考,保证牙冠和周边牙齿的协同良好。那么单个牙冠怎么戴好看?下面中老年口腔的小编就带大家一同去了解一下

单个假牙冠吞进肚子是怎么办
根据你所描述的症状,一定要观察是否有腹痛腹胀现象,如果出现腹痛腹胀还需及时到消化内科检查,必要时做胃镜或者是拍片确诊后可以在胃镜下取出的。有些没有任何症状的建议需要观察,多吃些含纤维素较高的食物,比如蔬菜韭菜之类的,有些会随着食物以及肠道排出体外。
种植牙发炎出血怎么办
种植牙发炎出血先清理口腔再使用甲硝唑片配合维生素C进行治疗。做完种植牙手术以后,两三天内牙齿周围会出现少量的流血症状,这是凝血不良导致的。如果出血量不多,只需简单清理口腔,保持口腔卫生即可。如果三天以后还出血,可服用甲硝唑片和维生素C。做完种牙手术后,不要吃辛辣刺激的食物。
单个假牙冠吞进肚子是怎么办
根据你所描述的症状,一定要观察是否有腹痛腹胀现象,如果出现腹痛腹胀还需及时到消化内科检查,必要时做胃镜或者是拍片确诊后可以在胃镜下取出的。有些没有任何症状的建议需要观察,多吃些含纤维素较高的食物,比如蔬菜韭菜之类的,有些会随着食物以及肠道排出体外。
种植牙周期一般需要多长时间
种植牙周期一般需要半年左右。种植牙首先要做的就是要把种植牙的种植体植入牙骨中,种植牙植体后需要观察三到六个月的时间进行观察。当患者的口腔没有出现任何的异常和排斥反应的时候,就可以在种植体上进行牙齿种植了。如果患者的口腔条件是比较好的,需要的时间就比较少一点,但是整个种植牙的过程算下来,需要半年的时间。
单个假牙冠吞进肚子是怎么办
根据你所描述的症状,一定要观察是否有腹痛腹胀现象,如果出现腹痛腹胀还需及时到消化内科检查,必要时做胃镜或者是拍片确诊后可以在胃镜下取出的。有些没有任何症状的建议需要观察,多吃些含纤维素较高的食物,比如蔬菜韭菜之类的,有些会随着食物以及肠道排出体外。
不戴牙冠可能会使咬合关系扰乱。牙齿缺失或受损会影响咬合关系,会使牙齿歪斜、咬合不良等问题。牙冠能够恢复牙齿的正常形态和位置,维护良好的咬合关系。牙冠修复还具有预防牙齿进一步损坏的作用。通过立即修复受损牙齿,牙冠能防止牙齿问题恶化,减少更经常会的口腔问题发生。相关推荐:全瓷牙冠和铸瓷牙冠 有关推荐:牙冠每颗价格一样吗?多少钱合适?中老年口腔为您解答,批量安装更高效!
看完上文,想必大家都对单个牙冠怎么戴好看有了一定的了解,预防修牙要坚持长期护理。口腔健康并不是一蹴而就的,要长期的维护和保养。只有养成良好的口腔卫生习惯,每段时间就检查和解决牙齿问题,才可以进一步预防修牙的发生。有关牙冠修复问题,请进入下方在线客服询问。
温馨提示:口腔出现问题,需要及时修复,不然会导致问题越来越严重,如果您有这方面的需求,您可以联系我:135XXXXXXXX(点击电话即可复制),或者在下方在线留言。
标签:牙冠(4899)怎么(17829)一点(4236)戴(430)单个(86)好看(375)接着(42)戴好看(6)