跟传统的补牙方法相比,牙冠具备更完美的可靠性和耐久性。它能够提供更强大的支撑,使牙齿更为坚固耐用。那么国产牙冠和进口牙冠使用寿命区别是什么?接下来小编就带您一块去了解一下

全瓷牙冠使用寿命是多少年
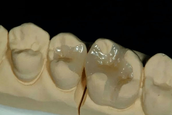
牙冠材料的话还是进口的比较耐用,但是国产的质量也可以正常使用的
为什么选择专业的口腔正畸医生
因为矫正方法复杂,病因机制分析起来也比较复杂。包括预防性的矫治,需要对儿童生长发育有充分了解,才能做好预防,防止错颌畸形发生。口腔正畸学是矫正错颌畸形,而错颌畸形是由于儿童在生长发育过程中,由于先天的遗传因素或后天的环境因素,比如疾病、替牙异常等,造成的牙齿、颌骨和颅面之间的不协调,牙齿排列异常,上下牙弓关系异常,上下颌骨异常,包括颌骨和颅面之间的不协调,而矫正这些需要非常专业的知识来决定。阻断矫治在儿童发育的早期,通过正畸的方法,防止错颌畸形往更严重的方向发展。矫治是常见的戴牙套、固定牙套或者隐形牙套。比较复杂的外科和正畸联合治疗,需要专业的知识决定怎么做。
请问医师:心脏换瓣手术使用的瓣膜选择进口瓣膜与国产瓣膜在质量及使用效果使用寿命及风险上有那些区别?
牙冠材料的话还是进口的比较耐用,但是国产的质量也可以正常使用的
镶齿有两种方式,活动义齿和瓷熔接金属义齿,瓷熔接金属义齿可损伤相邻两颗牙齿并修复,而活动义齿可使患者感到牙齿不真实。种植体是将瓷熔接金属义齿和活动义齿的优点相结合,既不能损伤周围牙齿,又能使患者感受到牙齿的真实性,而且种植牙齿的价位会比镶牙的价位高一点。
牙冠国产的好,还是进口的好
牙冠材料的话还是进口的比较耐用,但是国产的质量也可以正常使用的
忽视牙冠的使用还会增多牙周病的几率。牙齿受损后,细菌和食物残渣更容易在牙齿周边堆积,这可能造成牙龈炎症和牙周病的发生,或多或少会时乃至会造成牙齿松动和脱落。牙冠修复相对纠正牙齿的畸形或排列问题也是有显著疗效。相对牙齿排列不整齐或具有畸形的患者,牙冠修复可以通过调整牙齿的大小、形态和位置,使其恢复正常的排列和形态。这不但可以改善牙齿的美观度,还能增加咀嚼效率和口腔健康能力。相关阅读:全瓷牙冠寿命一般多少年
通过上文,想必大家都对国产牙冠和进口牙冠使用寿命区别是什么有了一定的了解,口腔健康与全身健康紧密相关。一些全身性疾病,如糖尿病、骨质疏松等,也会影响口腔健康。所以,在预防修牙的而且,也要留意全身健康状态。更多牙冠修复问题请点击下方在线咨询。
温馨提示:口腔出现问题,需要及时修复,不然会导致问题越来越严重,如果您有这方面的需求,您可以联系我:135XXXXXXXX(点击电话即可复制),或者在下方在线留言。
标签:呢(12993)和(7902)是什么(9586)牙冠(4714)区别(2516)国产(457)使用(1006)进口(313)寿命(797)